Abdominal neoplasia with sarcomatoid features as the presenting illness of a patient with a newly diagnosed HIV infection and no AIDS-related disorders. Case report, clinical and diagnostic features, and literature discussion
Roberto Manfredi 1, Sergio Sabbatani 1, Eleonora Magistrelli 1, Maria Lucia Tardio 2
1 Department of Medical and Surgical Sciences, “Alma Mater Studiorum” University of Bologna, S. Orsola-Malpighi Hospital, Bologna, Italy
2 Department of Specialistic, Experimental, and Diagnostic Medicine, “Alma Mater Studiorum” University of Bologna, S. Orsola-Malpighi Hospital, Bologna, Italy
Abstract
We aim to describe a patient with an already advanced HIV infection disclosed for the first time during a complex diagnostic workup, which detected a gross abdominal mass attributable to a poorly differentiated mesenchymal cancer with sarcomatoid features which rapidly led our patient to death, in absence of other potential HIV-associated opportunistic diseases. Although extremely rare and rapidly lethal, our case report underscores the need of all caregivers who follow HIV-infected patients also in the cART era to maintain an elevated attention toward infrequent, unexpected, and clinically atypical solid tumors, in order to ensure a timely diagnosis and management when possible.
Keywords: Rare solid tumors; Sarcomatoid features; Newly diagnosed HIV infection; Case report; Differential diagnosis
Tumore addominale con caratteristiche sarcomatoidi come esordio di malattia in un paziente con nuova diagnosi di infezione da HIV e nessun disturbo correlato all’AIDS. Caso clinico, caratteristiche cliniche e diagnostiche e discussione della letteratura
CMI 2014; 8(4): 115-120
http://dx.doi.org/10.7175/cmi.v8i4.961
Case report
Disclosure
The authors declare they have no competing financial interests
Why we describe this case
This case underlines the importance of a careful monitoring of HIV patients, because, even in the cART era, they may present with rare and rapidly lethal solid tumors
Introduction
Even at the time of extensive availability of fully effective combination antiretroviral therapies (cART), missed or delayed diagnosis of HIV infection or full-blown AIDS remains proportionally frequent, as well as HIV disease presentations with multiple, concurrent opportunistic diseases [1-5], including both AIDS-defining and non-AIDS-defining disorders, which often make more and more difficult a prompt recognition and management by complicating the differential diagnostic workup.
In particular, due to the dysregulation of cancer controlling immune-mediated mechanisms persisting in HIV-infected subjects also despite a completely controlled HIV replication achieved by cART, both AIDS-related and AIDS-unrelated neoplasms remain frequent during recent years, as also noticed in the recent experience of our reference centre [1,6], in both adults and children. Despite the virological and immunological effectiveness of cART, malignancies on the whole continue to involve patients living with HIV due to their increased life expectancy, the continued exposure to many factors supporting cancer development, including environmental and life style co-factors, as well as several co-infections often accompanying HIV infection itself (i.e. HBV, HCV, HPV, HSV, HHV-8, and EBV infections, among others), and a persisting immune system functional imbalance favoring the onset of tumors, in comparison with an epidemiologically matched sample of general population, which is not harboring HIV infection [2-5,7].
In particular, malignancies which are frequent in the general population often present with a clinical pathomorphism in our patient population, as in a case of atypical prostate cancer [8], and in some anecdotal presentations of Merkel cell carcinoma [9], and bladder and gastric cancer, respectively [10,11]. Very frequent associations with opportunistic and non-opportunistic disorders complicate even considerably the differential diagnostic pathway in multiple described case reports [1,2,6,7,12], in particular two cases of nasopharyngeal and rhinopharyngeal carcinoma [12].
Aim of our report is to describe a patient with an already advanced HIV infection disclosed for the first time during a complex diagnostic workup, which finally pointed out a gross abdominal mass attributable to a poorly differentiated neoplasia with sarcomatoid features which rapidly led our patient to death, in absence of other potential HIV-associated opportunistic infections and diseases.
Case report
A 36-year-old homosexual man with a medical history including only surgery for a pilonidal cyst 6 year before, and serological anti-HBV markers demonstrating a prior hepatitis B infection, during the last 6 months suffered from increasing anorexia and weight loss, followed by an irregular, mild fever not responsive to empiric broad-spectrum antibiotic treatments. When hospitalized in a General Hospital of our metropolitan area, the early instrumental examinations disclosed a parenchymal thickening of the lower left pulmonary lobe associated with a bilateral pleural effusion. Other imaging studies showed an enlarged spleen volume, diffuse lymphadenopathies along the main abdominal vessels, and a moderate peritoneal effusion, while no relevant abnormalities were detected with regard to liver and biliary tract. Posed on an empirical therapy with piperacillin-tazobactam, the patient was referred to our inpatient centre.
Upon admission, the laboratory examinations showed a marked leukopenia (total white blood cells = 1,570/µl), anemia (due to an hemoglobin level = 8.9 g/dl), low serum iron levels (26 µg/dl) with elevated serum ferritin (1,456 ng/ml), and especially a very advanced T-cell immunodeficiency, as sustained by a total CD4+ count of only 19 cells/µl (3% of overall T cell subset). All other blood laboratory examinations and urinalysis tested within normal limits, save an increased C-reactive protein (PCR) value (4.07 mg/dl).
Microbiological studies pointed out an elevated HIV viremia (112,181 HIV-RNA copies/ml of a wild-type HIV-1 virus), in absence of other active infections, which were carefully ruled out. In particular, repeated blood cultures for bacteria, fungi, and mycobacteria tested negative, as well as serum Parvovirus B19, Cytomegalovirus, and Epstein-Barr virus DNA search (only isolated anti-EBV IgG antibodies were present). Leishmania and Toxoplasma gondii serologies proved negative, as well as Clostridium difficile and Cryptosporidium search in the stools, stool cultures for other bacterial pathogens, urine antigens of Streptococcus pneumoniae and Legionella spp., and serum cryptococcal antigenemia and culture. With regard to major hepatitis viruses, HCV serology proved negative, while positive anti-HBs and anti-HBc antibodies represented the expected remnant of the previous documented HBV infection, in absence of dosable HBsAg serum levels. Ultrasonographic examination of the neck disclosed multiple, further lymphadenopathies of reactive origin.
During our hospitalization, the empiric antibiotic therapy was initially simplified with ceftriaxone plus clarithromycin, and the day after admission a potent antiretroviral combination therapy was immediately introduced (emtricitabine-tenofovir, plus darunavir 1200 mg/day plus ritonavir 200 mg/day), which proved well tolerated by our patient. After a 9-day hospitalization characterized by substantially stable general conditions and isolated mild fever and diarrhea (probably attributable to the recently discovered HIV infection and the severe underlying immunodeficiency), our patient was discharged, with treatment implemented with a chemoprophylaxis against Pneumocystis jiroveci and Toxoplasma gondii (performed with atovaquone), fungi (with fluconazole), and atypical mycobacteria (with clarithromycin, maintained after the previous, empiric administration for the presumed respiratory infection).
Because of the re-appearance of irregular fever and an increased, bilateral pleural effusion, our patient was hospitalized again after a couple of weeks. An ultrasonography-guided thoracentesis of around 1000 ml of fluid neither allowed a diagnosis (all microbiological, mycobacterial, and neoplastic cell searches tested negative), nor a stabilization of the massive effusion, and was associated with increasing dyspnea, respiratory insufficiency, chest pain, diffuse peripheral edema, persisting anemia (requiring red blood cell transfusion), a worsening cachexia, and a rapid deterioration of general clinical conditions. As a consequence, our patient was moved to the Pulmonary Division, in order to try a surgical approach to the prominent pleural effusion.
A left trans-thoracic parietal pleural biopsy (with positioning a of trans-thoracic drainage), allowed to detect a first-degree empyema, in absence of isolated microorganisms at microscopy, culture, and molecular testing. Due to the concurrent, elevated fever, and increased serum ESR (erythrocyte sedimentation rate) and serum C-reactive protein levels, an empiric antibiotic therapy with piperacillin-tazobactam was introduced, associated to an empiric treatment against atypical mycobacteria, all showing no significant effects against irregular fever and the rapidly deteriorating general status. Quantiferon test proved negative. Subsequently, an elevated plasma HHV-8 viremia (64,000 viral copies/ml), required a treatment with full-dose intravenous acyclovir. A bone marrow and a liver biopsy were also performed, which allowed to exclude hematological malignancies and eventual, other opportunistic infections and disease localizations. A positron-emission tomography (PET) showed multiple hypercaptation sites at both lungs and pleura, a right axillary adenopathy, and a diffuse but non-specific abdominal hypercaptation.

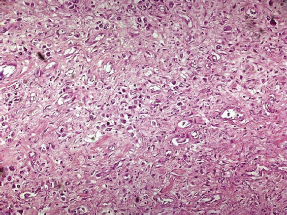
Figure 1. Microscopic examination of the abdominal mass: histology highlights a poorly differentiated neoplasia with sarcomatoid features. Further characterization of the neoplasm was not technically feasible
A further worsening of respiratory and general conditions occurred in the next few days, with appearance of obnubilation, letargy, blurred vision, hypotension, abdominal distension, tendency to intestinal sub-occlusion, and a persisting, diffuse edema. All these complications rapidly led to death despite an intensive supportive care performed in an intensive care unit of our hospital, the adjunct of meropenem and linezolid (among antimicrobial agents), and the prosecution of antiretroviral therapy and that of the empiric anti-mycobacterial treament.
The necropsy assessment showed the following macroscopic findings: a moderate edema at lower limbs, an abundant pleural effusion, a mild pericardic effusion, and a diffuse abdominal effusion (characterized by a clear, yellowish fluid). The respiratory tract showed an hyperemic and edematous laryngeal-tracheal-bronchial mucosa. Both lungs had a diffuse, increased consistency, a red-greysh color, and contained a frankly increased amount of foamy fluid. When examining the abdominal tract, the attention was immediately drawn on a voluminous grey-yellowish mass of myxoid appearance, which incorporated the intestinal loops and the entire colonic tract, with an extensive and infiltrating behavior. The liver showed a significantly increased size. The remaining major abdominal organs (including pancreas, kidneys, adrenal glands, and spleen) did not show relevant abnormalities, as well as all the main deep lymph node stations.
At microscopic examination, the abdominal mass was constituted by a poorly differentiated neoplasia with sarcomatoid features (Figure 1).
A further typization with all the available histopathological technique was not feasible at our centre, thus confirming the extremely non-differentiated features of this neoplasm.
The concurrent, massive, irregular lobular necrosis of the liver was referrable to a terminal, vascular compression due to the above-mentioned intrabdominal mass, which rapidly enlarged during the last days of life of our patient.
Discussion
When approaching the differential diagnosis of rapidly growing abdominal masses in HIV-infected patients, tuberculosis and atypical mycobacteriosis in their broad spectrum of possible presentations remain the most frequent etiologies, starting from the pre-cART era until now [2,13]. But this diagnosis is neither obvious nor rapid; in our recent experience, an expansive abdominal mass leading to intestinal obstruction required a very cumbersome and prolonged workup in order to exclude all possible infectious and neoplastic ethiologies, and was finally diagnosed and specifically treated with a 5-month delay after its clinical appearance, since only a positive culture for Mycobacterium avium-intracellulare became positive from a biopsy specimen, when all other clinical, microbiological, molecular biology, imaging, and histopathologic studies did not allow a disease identification in the meantime.
To add complication, a deep HIV-related immunodeficiency may led to the first recognition of opportunistic infestations, including that due to a newly recognized cestode, which was initially responsible for a rapidly enlarging abdominal mass in a 1996 report [14]. On the other hand, the cART-related immune reconstitution syndrome has been also described as the supporting cause of a pseudo-tumoral abdominal mesenteric granulomatous mass, caused by an underlying mycobacterial infection plus inflammation and edema [15].
When focusing our attention on malignancies, AIDS-related ones remain frequent occurrences also in the cART era, with Kaposi’s sarcoma as the leading cancer with mesenchymal origin [3-5,16-18]. However, among HIV-infected children, Kaposi’s sarcoma and non-Hodgkin’s lymphoma declined in their frequency during the cART era in a more significant way, compared with the same AIDS-associated malignancies observed in adults.
In a recent review of case reports of sarcomas other than Kaposi’s sarcoma in the immunocompromised host (as a whole), Bhatia and coworkers identified 176 non-Kaposi’s sarcomas, 75 of them occurring in people with AIDS [18]. Leiomyosarcomas were the most frequently reported sarcomas according to histopathological assessments (101 cases), followed by angiosarcomas (23 episodes), and fibrohystiocytic tumors (17 cases). As already observed since the pre-cART era [19], and during the cART era too [3,5,17-20], smooth cell muscle neoplasms like leiomyosarcomas linked with immunodeficiency and a concurrent Epstein-Barr (EBV) infection, and often interested unusual body sites [19-21]; leiomyomas were also reported with increased frequency among HIV-infected patients, once again in conjunction with EBV infection [20]. Only one case of liposarcoma of the mediastinum has been reported in the international literature: in the year 1988 a 27-year-old man with a newly diagnosed HIV infection, who still had preserved peripheral T-cell subsets (with an absolute CD4+ count of 660 cells/µl) [22]. Histopathologic studies performed on the unresectable chest mass demonstrated a well differentiated liposarcoma of the de-differentiated subtype [22]. The Authors underlined the unusual localization and the young age at presentation of this liposarcoma, which were deemed to be supported by the concurrent HIV disease [22]. Finally, only sparse cases of undifferentiated sarcomas have been anecdotally reported concurrently with HIV infection, as the patient described by Kotrashetti and coworkers in 2012 [23], who suffered from an intraosseous maxillary fibrosarcoma.
At our knowledge, such a poorly differentiated, gross and rapidly progressive sarcomatoid abdominal mass has not been reported in patients with HIV and AIDS, especially in patients who were still unaware of their underlying retroviral infection.
Although extremely rare and clinically untreatable, our case report underlines the need of health care personnel who follow HIV-infected patients also in the cART era, to maintain an elevated attention level toward infrequent, unexpected, and clinically atypical solid tumors, in order to ensure a timely diagnosis, and make possible a more detailed workup, and management when possible.
Key points
References
1. Manfredi R, Calza L, Chiodo F. Three to seven concurrent AIDS-defining disorders at first hospitalization of AIDS presenters as an unexpected emerging feature during the era of highly active antiretroviral therapy. AIDS 2002; 16: 2356-8; http://dx.doi.org/10.1097/00002030-200211220-00025
2. EACS, European AIDS Clinical Society. Guidelines version 7.1 November 2014. Available at http://www.eacsociety.org/Portals/0/GUIDELINES/English%20PDF%20-%20Version%207.1.pdf (last accessed December 2014)
3. Pantanowitz L, Schlecht HP, Dezube BJ. The growing problem of non-AIDS-defining malignancies in HIV. Curr Opin Oncol 2006; 18: 469-78; http://dx.doi.org/10.1097/01.cco.0000239886.13537.ed
4. Petoumenos K, Kumarasamy N, Kerr SJ, et al. Cancers in the TREAT Asia HIV observational database (TAHOD): a retrospective analysis of risk factors. J Int AIDS Soc 2010; 13: 51; http://dx.doi.org/10.1186/1758-2652-13-51
5. Shiels MS, Engels EA. Increased risk of histologically defined cancer subtypes in human immunodeficiency virus-infected individuals: clues for possible immunosuppression-related or infectious etiology. Cancer 2012; 118: 4869-76; http://dx.doi.org/10.1002/cncr.27454
6. Manfredi R, Calza L, Chiodo F. Emerging of dual AIDS associated neoplastic diseases in the era of highly active antiretroviral therapy. Sex Transm Infect 2003; 79: 345-6; http://dx.doi.org/10.1136/sti.79.4.345-a
7. Micheletti AR, Macedo AC, Silva GB, et al. Benign and malign neoplasias in 261 necropsies for HIV-positive patients in the period of 1989 to 2008. Rev Inst Med Trop Sao Paulo 2011; 53: 309-14
8. Manfredi R, Fulgaro C, Sabbatani S, et al. Disseminated, lethal prostate cancer during human immunodeficiency virus infection presenting with non-specific features. Open questions for urologists, oncologists, and infectious disease specialists. Cancer Detect Prev 2006; 30: 20-3; http://dx.doi.org/10.1016/j.cdp.2005.10.002
9. Sabbatani S, Fulgaro C, Latini G, et al. Associated actinomycosis and rhinopharyngeal adenocarcinoma during HIV infection: diagnostic and therapeutic issues. Infez Med 2008; 16: 164-72
10. Calza L, Beltrami C, Manfredi R, et al. Merkel cell carcinoma in a human immunodeficiency virus-infected patients. Br J Dermatol 2002; 146: 895-8; http://dx.doi.org/10.1046/j.1365-2133.2002.04646.x
11. Manfredi R, Sabbatani S, Calza L, et al. Bladder carcinoma and HIV infection during the highly active antiretroviral therapy era: a rare, but intriguing association. Two case reports and literature review. Scand J Infect Dis 2006; 38: 566-70; http://dx.doi.org/10.1080/00365540500434653
12. Manfredi R, Sabbatani S, Fasulo G. HIV-associated early gastric adenocarcinoma successfully cured with surgery, and followed over eight years. Int J STD AIDS 2007; 18: 501-4; http://dx.doi.org/10.1258/095646207781147364
13. Jaber B, Gleckman R. Tuberculous pancreatic abscess as an initial AIDS-defining disorder in a patient infected with the human immunodeficiency virus: case report and review. Clin Infect Dis 1995; 20: 890-4; http://dx.doi.org/10.1093/clinids/20.4.890
14. Santamaria-Fres M, Fajardo LF, Sogin ML, et al. Lethal infection by a previously unrecognised metazoan parasite. Lancet 1996; 347: 1797-801; http://dx.doi.org/10.1016/S0140-6736(96)91618-9
15. Fonquernie L, Meynard JL, Kirstetter M, et al. Pseudotumoral abdominal granuloma concomitant with immune reconstitution after antiretroviral treatment. Presse Med 2000; 29: 186-7
16. Mbulaiteye SM, Parkin DM, Rabkin CS. Epidemiology of AIDS-related malignancies – an international perspective. Hematol Oncol Clin North Am 2003; 17: 673-96; http://dx.doi.org/10.1016/S0889-8588(03)00048-0
17. Simard EP, Shiels MS, Bhatia K, et al. Long-term cancer risk among people diagnosed with AIDS during childhood. Cancer Epidemiol Biomarkers Prev 2012; 21: 148-54; http://dx.doi.org/10.1158/1055-9965.EPI-11-0823
18. Bhatia K, Shiels MS, Berg A, et al. Sarcomas other than Kaposi sarcoma occurring in immunodeficiency: interpretations from a systematic literature review. Curr Opin Oncol 2012; 24: 537-46; http://dx.doi.org/10.1097/CCO.0b013e328355e115
19. McClain KL, Leach CT, Jenson VV, et al. Association of Epstein-Barr virus with leiomyosarcomas in children with AIDS. N Engl J Med 1995; 332: 12-8; http://dx.doi.org/10.1056/NEJM199501053320103
20. Suankratay C, Shuangshoti S, Mutirangura A, et al. Epstein-Barr virus infection-associated smooth-muscle tumors in patients with AIDS. Clin Infect Dis 2005; 40: 1521-8; http://dx.doi.org/10.1086/429830
21. Centanni F, Chiodi E, Gattazzo D, et al. A subcoracoid leiomyoma in a patient with diagnosed AIDS. A case report and review of the literature. Radiol Med 2000; 99: 278-80
22. Grieger TA, Carl M, Liebert HP, et al. Mediastinal liposarcoma in a patient infected with the human immunodeficiency virus. Am J Med 1988; 84: 366; http://dx.doi.org/10.1016/0002-9343(88)90443-3
23. Kotrashetti VS, Kale AD, Hallikeremath SR, et al. Intraosseous fibrosarcoma of maxilla in an HIV patient. Arch Iran Med 2012; 15: 59-62