Atipico esordio di linfoma non-Hodgkin: descrizione di un caso clinico
Fabiola Mastropietro 1, Alessandra Piccini 1, Giulia Lucignani 2, Alfonso Rubino 1, Giancarlo Fiermonte 1
1 Dipartimento di Scienze e Biotecnologie Medico-Chirurgiche, Università La Sapienza, Roma
2 Dipartimento di Scienze Radiologiche, Oncologiche e Anatomo-Patologiche, Università La Sapienza, Roma
Abstract
Lymphomas infrequently cause peripheral nerve complications. These syndromes mostly occur by direct compression or infiltration of nerves (neurolymphomatosis), but may also be due to a remote effect as paraneoplastic syndromes, neurotoxic complications of chemotherapy, antibody-mediated or autoimmune mechanisms.
We report the case of a 60-year-old woman who presented with a complex peripheral nervous system involvement as initial manifestation of Non-Hodgkin Lymphoma (NHL). This case sheds light on “protean” mechanism of peripheral nerve complications during the course of NHL and related diagnostic dilemma.
Keywords: Neurolymphomatosis; Paraneoplastic syndrome; Non-Hodgkin Lymphoma
Atypical presentation of Non-Hodgkin Lymphoma (NHL): a case report
CMI 2014; 8(4): 103-107
http://dx.doi.org/10.7175/cmi.v8i4.942
Caso clinico
Disclosure
Gli Autori dichiarano di non avere conflitti di interesse di natura finanziaria in merito ai temi trattati nel presente articolo
Perché descriviamo questo caso
Il caso è esplicativo del “proteiforme” interessamento del sistema nervoso periferico in corso di linfoma non-Hodgkin. L’eterogeneità dei processi fisiopatologici alla base di tale coinvolgimento comporta evidenti difficoltà per un corretto inquadramento clinico, da cui potrebbero derivare potenziali ritardi diagnostici
Introduzione
Le disfunzioni del sistema nervoso periferico (SNP) associate a patologie neoplastiche riconoscono meccanismi fisiopatologici estremamente eterogenei, rendendo particolarmente impegnativo un corretto inquadramento clinico-diagnostico. I processi mediante i quali una neoplasia è in grado di determinare un danno a carico del SNP possono essere ricondotti sia a una diretta infiltrazione della cellule tumorali (primaria o metastatica) sia a una sofferenza secondaria al trattamento (infezioni di patogeni conseguenza della immunodepressione, danni metabolici talvolta con latenza di diversi mesi dall’inizio della terapia). Inoltre, la capacità delle cellule neoplastiche di compromettere i naturali processi omeostatici dei diversi sistemi può determinare l’insorgenza di complesse sintomatologie inquadrate nel termine di “sindromi paraneoplastiche”. Le sindromi neurologiche paraneoplastiche sono tendenzialmente da ricondurre alla possibilità da parte delle cellule tumorali di presentare un certo grado di mimetismo molecolare con le strutture del sistema nervoso; tale condizione può determinare una risposta immunitaria anticorpo-mediata con conseguente compromissione del sistema nervoso a differenti livelli (motoneuroni del corno ventrale del midollo spinale, gangli sensoriali, radici e plessi nervosi, nervi cranici e periferici, giunzione neuromuscolare) [1]. Pertanto, lo specifico processo fisiopatologico così come la precisa distribuzione del danno neuroperiferico possono presentare consistenti difficoltà interpretative; è determinante, in tal senso, la natura primitiva del processo eteroplasico. Presentiamo il caso di una paziente in cui una complessa sintomatologia neurologica ha preceduto la diagnosi di linfoma non-Hodgkin (NHL).
Caso clinico
Anamnesi
Una paziente di 60 anni giungeva alla nostra osservazione per un disturbo della deambulazione caratterizzato da ingravescente ipostenia a carico degli arti inferiori a cui si associavano disestesie urenti ai 4 arti. L’esordio della sintomatologia risaliva ad alcuni mesi prima, per l’insorgenza di un deficit della dorsiflessione a carico del piede sinistro. Il disturbo stenico interessava rapidamente anche l’arto controlaterale, associandosi a sintomatologia algica nei medesimi distretti. A circa un mese dall’insorgenza dei sintomi, la paziente veniva ricoverata presso un altro presidio ospedaliero, dove, effettuati gli accertamenti del caso (valutazione elettroneurografica/elettromiografia, risonanza magnetica lombosacrale, tomografia computerizzata addome inferiore) veniva posta indicazione a intervento neurochirurgico decompressivo L4-L5, senza evidenza agli esami strumentali di alcuna lesione infiltrativa, potenzialmente bioptizzabile. L’intervento chirurgico, seguito da un ciclo di riabilitazione neuromotoria, determinava un transitorio beneficio della sintomatologia. Tuttavia, all’iniziale fase di recupero postoperatorio faceva seguito una recrudescenza della sintomatologia motoria con particolare aggravamento del deficit di forza, questa volta a carico anche dei segmenti prossimali. Per tale ragione la paziente decideva di rivolgersi presso la nostra struttura per gli accertamenti e le cure del caso.
Esame obiettivo ed esami strumentali
L’esame obiettivo neurologico all’ingresso mostrava un’andatura possibile solo con supporto bilaterale. La paziente presentava inoltre lieve atrofia associata a ipotonia nei distretti distali degli arti inferiori e un marcato deficit di forza negli arti inferiori (con forza residua di grado 0/5 alla flesso-estensione del piede sinistro e all’estensione dorsale del piede destro, 2/5 alla flessione plantare del piede destro, 3/5 alla flessione della coscia sul bacino a sinistra e 4/5 a destra). Vi era inoltre una marcata ipoestesia associata a disestesie urenti nella distribuzione dermatomerica L5-S1-S2 bilateralmente e un’ipoestesia distale con parestesie a tipo formicolio all’estremità degli arti superiori. I riflessi osteotendinei risultavano aboliti agli arti inferiori e ridotti (distalmente > prossimalmente) agli arti superiori. Durante la degenza presso la nostra unità la paziente veniva sottoposta a un esame elettroneurografico/elettromiografico che documentava l’assenza di risposte sensitive agli arti inferiori, l’inevocabilità di potenziali motori a carico dei nervi peroneo comune di sinistra e tibiale bilateralmente, depressione dell’ampiezza dei potenziali d’azione motoria con riduzione delle velocità di conduzione del nervo peroneo comune di destra. Veniva inoltre documentata una riduzione simmetrica dei potenziali sensitivi esplorati agli arti superiori (nervo ulnare). L’esame ad ago mostrava diffusi segni di sofferenza neurogena cronica con elementi di denervazione in atto a carico dei segmenti degli arti inferiori. Le indagini neurofisiologiche venivano integrate con potenziali evocati laser, che documentavano la non riproducibilità delle risposte corticali per stimolazione sia degli arti inferiori sia superiori. Gli esami ematochimici (routine con screening autoanticorpale e ricerca di anticorpi onconeurali) e l’esame liquorale che non evidenziava una cellularità aumentata, né atipie cellulari, risultavano negativi eccetto che per un minimo aumento dell’anti-cardiolipina IgM (33,62 MPL/ml) e dell’anti-ß2 GPI (glicosilfosfatidilinositolo) IgM (23:48 UA/ml). Si decideva pertanto di effettuare un’ulteriore valutazione di neuroimaging, documentando, mediante RM del tratto lombosacrale, la presenza di un tessuto di alterato segnale diffusamente localizzato a livello della regione sacrococcigea più evidente nelle regioni anteriori e che si estendeva ai tessuti paravertebrali e contiguo con lo spazio retrorettale (Figura 1).

Figura 1. Risonanza magnetica del tratto lombosacrale. A: sequenze STIR. B: T1 sagittale precontrasto. C: T1 sagittale postcontrasto. È evidente un’estesa alterazione morfostrutturale con presenza di tessuto di alterato segnale, maggiormente evidente nelle sequenze STIR, che presenta irregolare e disomogeneo potenziamento nelle sequenze T1 pesate dopo somministrazione ev di gadolinio, diffusamente localizzato a livello della regione sacro-coccigea con prevalente evidenza a destra e con estrinsecazione anteriore, a livello dei tessuti molli paravertebrali, in contiguità con lo spazio adiposo retrorettale

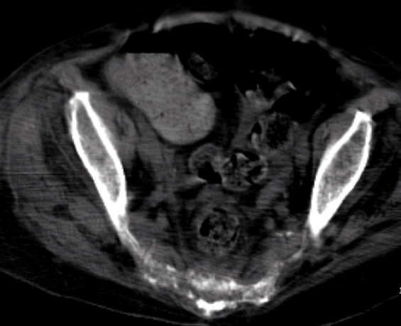
Figura 2. TC senza mezzo di contrasto che mostra l’infiltrazione del sacro
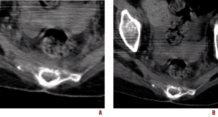
Si rendeva pertanto necessario proseguire l’iter diagnostico presso ambiente specialistico internistico-ematologico. Le Figure 1-4 mostrano le immagini della regione sacrale e del mesoretto ottenute mediante RM e TC.
I dati nel loro complesso erano compatibili con la diagnosi di linfoma non-Hodgkin. La paziente, instaurato il trattamento chemioterapico, decedeva a poche settimane dalla diagnosi per l’insorgenza di complicanze respiratorie (polmonite da aspergillosi). La rapida evolutività del quadro clinico non ha permesso un’accurata stadiazione e gli ulteriori approfondimenti clinico-diagnostici che il caso avrebbe meritato.

Figura 3. RM assiale T1 precontrasto (A) e RM assiale T1 postcontrasto (B) che mostrano l’invasione del mesoretto

Figura 4. A e B. TC senza mezzo di contrasto che pongono in evidenza l’invasione del mesoretto
Discussione
Il caso in esame evidenzia le “proteiformi” manifestazioni neurologiche in corso di NHL a cui concorrono diversi meccanismi fisiopatologici [2]. Infatti, se possiamo attribuire sintomi clinici degli arti inferiori a una plessopatia bilaterale causata da un diretto danno infiltrante, la sofferenza del sistema nervoso periferico agli arti superiori rimane di non unica interpretazione. Di fatto, in presenza di un quadro clinico caratterizzato da un progressivo deficit motorio associato a una importante sintomatologia sensitiva con caratteristiche tipicamente neuropatiche, deve essere escluso un possibile interessamento delle strutture del SNP da parte di un processo di tipo infiltrativo. Inoltre, l’assenza di potenziali sensitivi agli arti inferiori all’esame elettroneurografico rappresentava un ulteriore indice di possibile sofferenza postgangliare. La condizione pertanto configurerebbe il quadro di neurolinfomatosi, intesa come la diretta infiltrazione di cellule eteroplasiche della linea ematica, caratterizzate da spiccato neurotrofismo, nelle strutture nervose. Sebbene la precisa incidenza del disturbo non sia stata ancora caratterizzata, si stima che circa lo 0,2% dei pazienti con NHL ne possa essere affetto. La sintomatologia, estremamente eterogenea, sarebbe dipendente dalla struttura nervosa interessata. Tipicamente si osserva nelle forme disseminate di patologia, sebbene vengano riportati casi aneddotici in cui la neurolinfomatosi rappresenta il sintomo d’esordio della neoplasia.
Più impegnativo risulta il corretto inquadramento per i sintomi manifestati dalla paziente agli arti superiori. La simmetria delle manifestazioni cliniche, la natura prevalentemente sensitiva e l’interessamento delle fibre di piccolo calibro (assenza di potenziali corticali registrabili dopo stimolo laser) potrebbero deporre per un quadro di polineuropatia sensitiva [3,4]. Tuttavia le neuropatie associate a NHL presentano più frequentemente caratteristiche similari a quelle osservabili nelle neuropatie di natura demielinizzante/infiammatoria (con riduzione delle velocità di conduzione) [5,6], con una minore probabilità di presentare le caratteristiche di una neuropatia assonale sensitiva o una neuronopatia (danno a carico del ganglio sensitivo) [5,6]. L’alternativa di una più estesa diffusione del processo neoplastico (esordio di un coinvolgimento del processo neurolinfomatosico al plesso brachiale [7] o una multineuropatia), scarsamente rilevabile mediante le indagini strumentali effettuate, è un meccanismo fisiopatologico ragionevolmente ipotizzabile. La rapida precipitazione del quadro clinico generale con exitus non ha permesso valutazioni neurofisiologiche longitudinali o l’approfondimento mediante più indicate metodiche di imaging (la PET-TC sembrerebbe l’indagine più sensibile nell’individuare un’eventuale neurolinfomatosi) rendendo improbabile un definitivo inquadramento della sintomatologia.
Non esiste uno specifico trattamento delle manifestazioni neurologiche periferiche associate a NHL. Risultano piuttosto inconsistenti i dati in letteratura in merito ai regimi terapeutici da applicare in tali condizioni. Generalmente il trattamento è limitato alla terapia del processo neoplastico di base, limitando altre opzioni terapeutiche (radioterapia, somministrazioni chemioterapiche intratecali) a casi selezionati. Sono incompleti anche i dati in letteratura sull’utilizzo di terapia immunomodulante (immunoglobuline, plasmaferesi, corticosteroidi) nelle forme paraneoplastiche che riconoscerebbero un meccanismo su base disimmune [8]. I dati sul significato prognostico di un interessamento del SNP in corso di NHL sono ugualmente inadeguati, sebbene i casi di neurolinfomatosi sembrerebbero associarsi a una prognosi peggiore con una sopravvivenza mediana di circa 10 mesi.
Conclusioni
L’eterogeneità dei processi fisiopatologici alla base delle disfunzioni a carico del SNP in pazienti affetti da NHL comporta evidenti difficoltà per un corretto inquadramento clinico, in particolare se si considera che tali processi potrebbero teoricamente coesistere nel singolo individuo. Inoltre il caso in esame, per quanto tendenzialmente atipico come manifestazione d’esordio di una patologia linfoproliferativa, sottolinea la necessità di sospettare una sottostante lesione di natura neoplastica nei pazienti con manifestazioni a carico del SNP dalle caratteristiche atipiche. Un’attenta analisi di sintomi clinici potenzialmente riconducibili a un danno infiltrativo (in particolare quando è evidente una sintomatologia algica con spiccati aspetti “neuropatici” e caratteristica distribuzione) o il riconoscimento di manifestazioni cliniche ascrivibili a sindromi paraneoplastiche, corroborati da una mirata valutazione strumentale, potrebbero ottimizzare i processi diagnostici (unico aspetto con comprovato impatto prognostico). Sarebbe tra l’altro indicato che pazienti con definite sindromi neoplastiche venissero periodicamente valutati per un eventuale coinvolgimento del sistema nervoso; di fatto la corretta caratterizzazione di determinate manifestazioni cliniche in questa popolazione di pazienti diverrebbe cruciale nell’adeguata definizione dei processi fisiopatologici alla base di tali disfunzioni, contribuendo all’individuazione delle strategie terapeutiche più appropriate [9].
Bibliografia
1. Antoine JC, Camdessanché JP. Peripheral nervous system involvement in patients with cancer. Lancet Neurol 2007; 6: 75-86; http://dx.doi.org/10.1016/S1474-4422(06)70679-2
2. Kelly JJ, Karcher DS. Lymphoma and peripheral neuropathy: a clinical review. Muscle Nerve 2005; 31: 301-13; http://dx.doi.org/10.1002/mus.20163
3. Freeman R. Autonomic peripheral neuropathy. Lancet 2005; 365: 1259-70; http://dx.doi.org/10.1016/S0140-6736(05)74815-7
4. Koike H1, Watanabe H, Sobue G. The spectrum of immune-mediated autonomic neuropathies: insights from the clinicopathological features. J Neurol Neurosurg Psychiatry 2013; 84: 98-106; http://dx.doi.org/10.1136/jnnp-2012-302833
5. Tomita M, Koike H, Kawagashira Y, et al. Clinicopathological features of neuropathy associated with lymphoma. Brain 2013; 136(Pt 8): 2563-78; http://dx.doi.org/10.1093/brain/awt193
6. Briani C, Vitaliani R, Grisold W, et al; PNS Euronetwork. Spectrum of paraneoplastic disease associated with lymphoma. Neurology 2011; 76: 705-10; http://dx.doi.org/10.1212/WNL.0b013e31820d62eb
7. Choi YJ, Shin JA, Kim YH, et al. Neurolymphomatosis of brachial plexus in patients with Non-Hodgkin’s Lymphoma. Case Rep Oncol Med 2013; 2013: 492329. Epub 2013 Nov 12
8. Giometto B, Vitaliani R, Lindeck-Pozza E, et al. Treatment for paraneoplastic neuropathies. Cochrane Database Syst Rev 2012; 12: CD007625.
9. Viala K, Béhin A, Maisonobe T, et al. Neuropathy in lymphoma: a relationship between the pattern of neuropathy, type of lymphoma and prognosis? J Neurol Neurosurg Psychiatry 2008; 79: 778-82; http://dx.doi.org/10.1136/jnnp.2007.125930