Sindrome da anticorpi antifosfolipidi: primaria o secondaria a lupus eritematoso sistemico? Descrizione di un caso clinico con avitaminosi D in donna in premenopausa con pseudo-Cushing
Mauro Turrin 1, Sergio Martinelli 1
1 U.O.C. di Medicina Interna, Azienda ULSS 17, Regione del Veneto, Ospedale di Monselice (Padova)
Abstract
Low vitamin D levels have been described in obese individuals and in some autoimmune diseases, such as Systemic Lupus Erythematosus (SLE) and primary antiphospholipid syndrome (pAPS). In particular, more than 50% of premenopausal women with pAPS have hypovitaminosis D. In this issue we report a case of an obese, premenopausal, and hypertensive woman with pseudo-Cushing syndrome, affected by deep venous thrombosis associated with pulmonary embolism after rib fracture who presented hypovitaminosis D. 7 years before, diagnosis of pAPS had been made after the detection of thrombocytopenia (present at a young age) and arterial ischemia of a lower limb. For seven years she was treated with acetylsalicylic acid without complications. We found positive anti-dsDNA antibodies, a triple antiphospholipid antibodies (aPL) positivity and levels of vitamin D < 4 µg/l. The case report arises some questions: is vitamin D deficiency due to obesity or APS? Is the positivity of anti-dsDNA indicative of progression to SLE? Is preventive therapy with hydroxychloroquine indicated? Does the high-risk aPL profile justify a high-intensity and life-long anticoagulation regimen?
Keywords: Antiphospholipid syndrome; Venous thromboembolism; Thrombocytopenia; Oral anticoagulation; Vitamin D; Systemic Lupus Erythematosus; Obesity; Autoantibodies; Autoimmunity
Antiphospholipid Syndrome: primary or secondary to Systemic Lupus Erythematosus? Description of a clinical case of avitaminosis D in premenopausal woman with pseudo-Cushing syndrome
CMI 2014; 8(2): 51-59
http://dx.doi.org/10.7175/cmi.v8i2.912
Caso clinico
Disclosure
Gli Autori dichiarano di non avere conflitti di interesse di natura finanziaria in merito ai temi trattati nel presente articolo
Perché descriviamo questo caso
Le polipatologie, condizioni sempre più diffuse nella popolazione non solo geriatrica, rappresentano una sfida per il clinico, che deve valutare attentamente molti parametri e ponderare con attenzione le terapie da prescrivere. Si discute qui di una paziente con obesità, ipertensione, sindrome di pseudo-Cushing e ipovitaminosi D che si presenta in ospedale per trombosi venosa profonda ed embolia polmonare
Introduzione
Bassi livelli di vitamina D sono stati descritti nei soggetti obesi e in alcune malattie autoimmuni (sclerosi multipla, artrite reumatoide, sclerodermia, lupus eritematoso sistemico – LES, connettivite indifferenziata – UCTD, tireopatie autoimmuni, diabete mellito di tipo 1, miopatie infiammatorie idiopatiche).
In particolare nel LES è stata dimostrata un’associazione tra bassi livelli di vitamina D e attività di malattia [1,2]. Anche i portatori asintomatici di positività di anticorpi anti-nucleo (ANA) presentano valori ridotti di vitamina D [3].
Un deficit di vitamina D è altresì comune nella sindrome da anticorpi antifosfolipidi primaria (pAPS) [4,5].
Tra le donne in premenopausa con pAPS più del 50% dei casi presenta ipovitaminosi D [5-7]: livelli < 15 ng/ml risultano significativamente associati agli eventi trombotici [8].
Caso clinico
Una donna di 45 anni viene ricoverata a novembre 2012 per trombosi venosa profonda (TVP) a carico dell’asse femoro-popliteo destro complicata da embolia polmonare.
L’anamnesi rivela che il padre è deceduto a 70 anni per infarto miocardico acuto (IMA). La madre di 68 anni, invece, è normopeso e affetta da ipertensione arteriosa, prolasso mitralico, ipercolesterolemia, colelitiasi, ipertiroidismo e ha subìto l’exeresi di un melanoma alla gamba destra. Il fratello è in buona salute.
La storia clinica della paziente rivela il suo passato da fumatrice fino all’età di 29 anni, il mestiere di operaia metalmeccanica e l’assenza di allergie. Ha avuto un parto pretermine per utero bicorne e, durante la gravidanza, all’età di 27 anni, era stata riscontrata piastrinopenia (valori compresi tra 48.000 e 57.000 unità/µl).
A 31 anni era stata ricoverata per pancitopenia in corso di virosi: era stata confermata la piastrinopenia con anticorpi antipiastrine negativi (pesava 60 kg).
A 38 anni aveva subìto un’isterectomia laparotomica per fibromatosi uterina, alla quale era seguita la comparsa di ipertensione arteriosa; era stata pertanto posta in terapia con ramipril, furosemide e lercanidipina. Successivamente la paziente, che era alta 164 cm, era andata incontro a progressivo aumento ponderale, sino a 108 kg.
A 38 anni aveva eseguito dei controlli immunologici per la persistenza di piastrinopenia: l’antitrombina III era risultata al 130%, la velocità di eritrosedimentazione (VES) nella prima ora era stata di 48 mm, la proteina C reattiva (PCR) e il fattore reumatoide erano risultati normali, gli ANA rilevati con immunofluorescenza indiretta erano stati 1:160 con pattern omogeneo, gli anti-dsDNA (anti-double strand DNA) e gli anti-ENA (anti-Extractable Nuclear Antigens) erano risultati negativi, C3 e C4 normali, tempo di tromboplastina parziale (PTT) = 44 sec (vn 28-40 sec) con PTT ratio = 1,30 (vn 0,80-1,20).
Nel 2005 era stata ricoverata per ischemia critica a un arto inferiore e un’angiografia aveva dimostrato l’assenza di circolo arterioso a livello delle arterie tibiali anteriori e pedidia; era stata riscontrata anemia microcitica sideropenica (Hb = 9, MCV = 63, ferritina = 3 ng/ml) con assetto emoglobinico normale e confermata la piastrinopenia, oltre alla lieve alterazione degli indici di epatocitolisi e colestasi (glutammato-piruvato transaminasi – GPT = 83, fosfatasi alcalina – ALP = 131), PTT = 44 sec (vn 28-40 sec), PTT ratio = 1,30 (vn 0,80-1,20). Era stata dimessa con acido acetilsalicilico (ASA) 100 mg uid. Dopo qualche mese il Doppler aveva dimostrato la normalizzazione del flusso arterioso.
Nel luglio 2006 si era sottoposta agli accertamenti ematologici per studio della trombofilia. I risultati sono mostrati nella Tabella I.
|
Parametro |
Valore |
Valori normali |
|
PTT (ratio) |
1,27 |
0,8-1,2 |
|
Kaolin Clotting Time (ratio) |
1,42 |
0,8-1,2 |
|
Kaolin Clotting Time p.c. (ratio) |
1,02 |
0,8-1,2 |
|
dRVVT screening (ratio) |
1,38 |
0,8-1,25 |
|
dRVVT confirm |
2,0 |
0,8-1,25 |
|
LAC test (ratio) |
1,77 |
0,8-1,2 |
|
LAC confirm |
positivo |
|
|
Ac. anticardiolipina IgG (GPL) |
75 |
0-13 |
|
PLT (unità/µl) |
92.000-110.000 |
150.000-450.000 |
|
ANA (IFI)* |
1:160 |
< 1:40 |
Tabella I. Test di laboratorio effettuati nel luglio 2006
ANA = anticorpi anti-nucleo; dRVVT = dilute Russell’s Viper Venom Time; IFI = immunofluorescenza indiretta; LAC = lupus anticoagulant; p.c. = paziente controllo; PLT = piastrine; PTT = tempo di tromboplastina parziale
* Il pattern degli ANA è risultato omogeneo
Inoltre l’omocisteina era risultata normale, gli anti-dsDNA (IFI) negativi, gli anti-ENA negativi. Erano risultati nella norma i valori del fattore reumatoide, del complemento, gli anticorpi tiroidei, l’aptoglobina e il test di Coombs diretto.
I test ripetuti a novembre del 2006 avevano mostrato i risultati indicati nella Tabella II.
|
Parametro |
Valore |
Valori normali |
|
dRVVT screening (ratio) |
1,47 |
0,8-1,25 |
|
dRVVT confirm |
1,04 |
0,8-1,25 |
|
LAC test (ratio) |
2,0 |
0,8-1,2 |
|
LAC confirm |
positivo |
|
|
Anticorpi anticardiolipina IgG (GPL) |
80 |
0-13 |
Tabella II. Test di laboratorio effettuati a novembre 2006
dRVVT = dilute Russell’s Viper Venom Time; LAC = lupus anticoagulant
I LAC (lupus anticoagulant) si erano dunque riconfermati positivi.
A 42 anni era stato diagnosticato ipertiroidismo subclinico per il riscontro di TSH (ormone tireostimolante) compreso tra 0,06 e 0,05 µU/ml (vn 0,35-5,5) con normalità di T4f (1,04 ng/dl – vn 0,72-1,70 ng/dl), anticorpi antiTG e antiTPO negativi. La colesterolemia totale era risultata essere 234 mg/dl e il colesterolo HDL 47 mg/dl.
Nel giugno 2012 era stata riscontrata dermatite da contatto con aspetto orticarioide ed era stata trattata con terapia cortisonica.
Da qualche anno presentava roncopatia con probabili apnee notturne.
Si è quindi proceduto all’esecuzione dell’anamnesi patologica prossima.
Ad agosto 2012 era stata sottoposta a terapia cortisonica ev per dermatite (non meglio precisata) al tronco e agli arti.
A ottobre si presenta in Pronto Soccorso per una colica renale destra con vomito; all’ecografia vengono riscontrati: fegato ingrandito steatosico, lieve dilatazione uretero-pielica a destra, millimetrica formazione litiasica ureterale distale. Viene trattata con ciprofloxacina, antispastici, ansiolitici e ketoprofene.
Due settimane prima dell’attuale ricovero aveva riportato un trauma all’emitorace con frattura di una costa. In questo periodo era rimasta immobilizzata in poltrona: era comparso un progressivo edema alla gamba destra e lamentava dolore toracico che comportava una ridotta escursione respiratoria e presentava dispnea al minimo sforzo (assumeva paracetamolo per os).
Un’ecografia-Doppler venosa dell’arto inferiore destro rileva materiale trombotico endoluminale nell’asse femoro-popliteo (Figura 1).
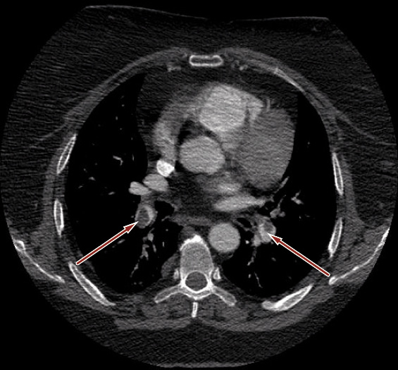
L’angio-Tc polmonare dimostra multipli difetti di riempimento endoluminale di tipo trombotico nel ramo sinistro dell’arteria polmonare e nelle diramazioni segmentarie e subsegmentarie bilateralmente, qualche area di consolidamento parenchimale alle basi a sede subpleurica, esilissimo versamento pleurico a destra (Figura 2).

Figura 1. Ecografia-Doppler venosa arto inferiore destra (cross safeno-femorale destra)

Figura 2. AngioTc polmonare
A dicembre del 2012 vengono nuovamente eseguiti degli esami di laboratorio (Tabella III), che confermano la positività ad alto titolo degli anti-cardiolipina IgG e IgM e anti-β2-GPI IgG (125,4 SGU: vn < 20 SGU – Enzyme ImmunoAssay). Gli anticorpi anti-ENA risultano invece negativi.
Il fattore reumatoide, gli anticorpi anticitrullina, il complemento (frazione C3c = 1,39 g/l; C4 = 0,24 g/l), gli anticorpi anti-microsomiali del fegato e del rene (LKM) e gli anticorpi anti-mitocondri (AMA) risultano normali.
|
Parametro |
Valore |
Valori normali |
|
Conta piastrinica (unità/µl) |
85.000-52.000 |
150.000-400.000 |
|
Anticorpi anti-cardiolipina IgG (GPL)^ |
123 |
< 15 |
|
Anticorpi anti-cardiolipina IgM (MPL)^ |
20,96 |
< 12,5 |
|
Anticorpi anti-β2-GPI IgG (SGU)^ |
125,4 |
< 20 |
|
Anticorpi anti-β2-GPI IgM (SMU)^ |
16,8 |
< 20 |
|
ANA* |
1:320 |
< 1:40 |
|
anti-dsDNA |
1:40 |
< 1:10 su Crithidia luciliae |
|
D-dimero (µg/ml) |
2.605 |
0-200 |
|
PCR (mg/l) |
39,9 |
< 5 |
|
ALP (U/l) |
173 |
30-120 |
|
GGT (U/l) |
294 |
< 38 |
|
LDH (U/l) |
553 |
< 480 |
|
Colesterolemia totale (mg/dl) |
302 |
< 200 |
|
Colesterolo HDL (mg/dl) |
42 |
> 66 |
|
Trigliceridi (mg/dl) |
468 |
< 150 |
|
Glicemia (mg/dl) |
103 |
< 100 |
|
Uricemia (mg/dl) |
8,6 |
< 6,0 |
|
Ferritina (µg/l) |
156 |
10-291 |
|
CA 125 (KU/l) |
52 |
< 31 |
|
CA 19-9 (KU/l) |
42-34 |
< 31 |
|
TSH (mUI/l) |
0,014 |
0,200-4,00 |
|
Vitamina D 25(OH)§ |
< 10 nmol/l (< 4 µg/l) |
Carenza: < 20 nmol/l (v. Tabella IV) |
|
Calcemia (mg/dl) |
9,2 |
8,8-10,6 |
|
Fosforemia (mmol/l) |
1,04 |
0,81-1,45 |
|
PTH intatto (ng/l) |
164 |
9,0-55,0 |
|
FSH (U/l) |
7,6 |
In menopausa > 23 |
|
LH (U/l) |
2,70 |
In menopausa 15,9-54,0 |
|
Cortisolemia serale (nmol/l) |
664,6 |
85-460 |
|
Cortisoluria (nmol/die) |
1.404 |
58-807 |
|
ACTH (ng/l) |
76 |
10-50 |
Tabella III. Test di laboratorio effettuati a dicembre 2012
ACTH = ormone adrenocorticotropo; ALP = fosfatasi alcalina; ANA = anticorpi anti-nucleo; anti-β2-GPI = anticorpi anti-β2-glicoproteina I; FSH = ormone follicolo-stimolante; GGT = γ-glutamil transferasi; LDH = lattato deidrogenasi; LH = ormone luteinizzante; PCR = proteina C reattiva; PTH = paratormone; TSH = ormone tireostimolante
^ Misurati mediante Quanta Lite®, INOVA Diagnostic Inc, San Diego, CA, USA
* Il pattern degli ANA risulta omogeneo, v. Figura 3
§ Misurata mediante LIAISON® CliA, DiaSorin, Saluggia, Italia
|
Definizione |
ng/ml |
nmol/l |
|
Carenza (deficit marcato) |
< 20 |
< 50 |
|
Insufficienza (deficit sfumato, meno grave) |
20-30 |
50-75 |
|
Concentrazioni ottimali |
30-45 |
75-100 |
|
Eccesso |
> 100 |
> 250 |
|
Intossicazione |
> 150 |
> 375 |
Tabella IV. Interpretazione dei livelli ematici di 25(OH) vitamina D [9]

Figura 3. Immunofluorescenza indiretta (IFI) su Hep-2 per gli anticorpi ANA, con riscontro di pattern omogeneo
L’esame delle urine rivela la presenza di leucociti e batteri, l’urinocoltura risulta positiva per Enterobacter aerogenes e la paziente viene pertanto sottoposta a terapia orale con ciprofloxacina.
Viene inoltre riscontrato un lieve aumento di CA125 e di CA19-9, mentre CEA e CA15-3 risultano normali. Il TSH risulta più basso della norma, mentre T3f e T4f risultano normali e gli anticorpi antitiroide negativi.
I valori di FSH e LH rientrano nella norma.
Per il riscontro di aumento della cortisolemia serale, della cortisoluria e dell’ACTH viene eseguito il test al desametasone (1 mg di Decadron®) con riscontro di riduzione della cortisolemia mattutina (test di Nugent negativo).
La Tc addome dimostra la presenza di una lieve splenomegalia (diametro bipolare di circa 15 cm), di calcificazioni nel surrene destro, una minuta formazione cistica al rene destro ed esiti di isterectomia. Rileva inoltra una formazione ipodensa di 13 mm in sede annessiale destra da verosimile follicolo, non vengono viste linfoadenomegalie e viene infine notata la presenza di trombosi della vena femorale comune di destra.
L’ECG rivela ritmo sinusale, battito di 74/min e tracciato nei limiti. L’esame del fundus oculi fa rilevare la presenza di retinopatia ipertensiva di 1° grado.
La scintigrafia renale sequenziale risulta poco significativa.
L’ecografia tiroidea rivela la presenza di un’ecostruttura disomogenea per la presenza di piccole areole ipoecogene fra loro confluenti e minuscole formazioni cistiche. La scintigrafia tiroidea con 99mTc-pertecnetato fa osservare un’area ovalare di moderata ipocaptazione del tracciante a livello paraistimico destro (nodulo “freddo”). Il restante parenchima presenta fissazione regolare.
La biopsia ad ago sottile della tiroide mette in luce la presenza di materiale fibrinoematico comprendente elementi otricolari iperplastici commisti a macrofagi siderofagici; si diagnostica pertanto un gozzo colloido-cistico in regressione emorragica (livello di classificazione Tir 2 secondo il Consensus Citologico Italiano SIAPEC-IAP 2007).
L’esame mammografico mostra fibroadenomi multipli bilaterali.
Dall’ecografia pelvica transvaginale si può osservare che l’ovaio sinistro è regolare per volume e morfologia, mentre quello destro appare non ben visualizzato a causa delle anse intestinali dilatate; è tuttavia apparentemente regolare e non c’è versamento in cavità.
La visita dermatologica rileva che la cute è iperpigmentata nonostante la paziente sia sottoposta a una normale esposizione alla luce e non faccia uso di pomate o di creme solari; viene inoltre diagnosticata la presenza di tinea corporis al torace.
La paziente viene trattata da subito con fondaparinux (10 mg sc: peso corporeo 108 kg) associato a warfarin, ottenendo una scoagulazione efficace in sesta giornata. Si ottiene inoltre un calo ponderale di 7 kg in venti giorni.
Alla dimissione viene consigliata la seguente terapia: ramipril 10 mg: 1 c uid; amlodipina 10 mg: 1 c uid; furosemide 25 mg: 1 c bid; clonidina TTS ‘2’ 5 mg: 1 cerotto/settimana; allopurinolo 150 mg: uid; simvastatina 20 mg: 1 c uid; omega polienoici 1.000 mg: 1 c bid; colecalciferolo 100.000 UI/ml: 1 f im/mese; fluconazolo 100 mg: 1 c uid; warfarin (INR alla dimissione = 2,47).
I successivi controlli dell’INR risultano molto oscillanti.
Gli esami di laboratorio di controllo eseguiti nel maggio 2013 confermano la persistente positività del lupus anticoagulant e gli elevati valori di anticorpi antifosfolipidi (Tabella V).
Un controllo EcoDoppler a giugno 2013 dimostra la cross safeno-femorale destra pervia, trombosi parzialmente ricanalizzata della vena poplitea e della femorale superficiale fino al terzo superiore della coscia (Figura 4).
|
Parametro |
Valore |
Valori normali |
|
D-dimero (µg/ml) |
368 |
< 200 |
|
dRVVT screening (ratio) |
4,9 |
< 1,16 |
|
dRVVT mixing (ratio) |
2,5 |
< 1,16 |
|
dRVVT confirm (%) |
54 |
< 11 |
|
SCT screening (ratio) |
2,50 |
< 1,22 |
|
SCT mixing (ratio) |
1,6 |
< 1,22 |
|
SCT confirm (%) |
35 |
< 19 |
|
aCL IgG (GPL) |
120 |
< 10 |
|
aCL IgM (MPL) |
19 |
< 8 |
|
anti-β2-GPI IgG (SGU) |
54 |
< 13 |
|
anti-β2-GPI IgM (SMU) |
16 |
< 7 |
Tabella V. Test di laboratorio effettuati nel maggio 2013
aCL = anticorpi anti-cardiolipina; anti-β2-GPI = anticorpi anti-β2-glicoproteina I; dRVVT = dilute Russell’s Viper Venom Time; SCT = Silica Clotting Time

Figura 4. Ecografia-Doppler venosa dell’arto inferiore destro effettuata a giugno 2013 (vena poplitea destra)
Il Doppler carotideo risulta normale, in particolare IMT (Intima-Media Thickness) < 0,9 mm (Figura 5).
Gli esami di laboratorio di controllo effettuati a settembre 2013, quando il peso corporeo era di 113 kg e il Body Mass Index (BMI) di 43 kg/m2, fanno rilevare i valori riportati nella Tabella VI.

Figura 5. EcoDoppler carotideo: IMT < 0,9 mm.
ACE = arteria carotide esterna; ACI = arteria carotide interna;
|
Parametro |
Valore |
Valori normali |
|
Calcemia (mg/dl) |
9,7 |
8,8-10,6 |
|
Vitamina D 25(OH)# |
54 nmol/l (21,6 µg/l) |
Insufficienza: 50-75(v. Tabella IV) |
|
PTH intatto (ng/l) |
132 |
9,0-55 |
|
TSH (mU/l) |
0,104 |
0,20-4,0 |
|
T4f (ng/l) |
11,08 |
8,3-15,3 |
|
anti-TPO (KU/l) |
42 |
< 60 |
|
TRAB (UI/l) |
1,4 |
0,0-0,9 |
Tabella VI. Test di laboratorio effettuati a settembre 2013
Anti-TPO = anti-tireoperossidasi; PTH = paratormone; TRAB = anticorpi anti-recettore del TSH; TSH = ormone tireostimolante
# Misurata mediante LIAISON® CliA, DiaSorin, Saluggia, Italia
Discussione
Abbiamo descritto il caso clinico complesso di una giovane donna in premenopausa, portatrice di patologia endocrino-metabolica (obesità con pseudo-Cushing, ipertensione arteriosa, epatosteatosi e nefrolitiasi, dislipidemia, iperuricemia, ipertiroidismo subclinico), colpita da trombosi venosa profonda a un arto inferiore con associata embolia polmonare dopo immobilizzazione a seguito di frattura costale.
Sette anni prima era stata formulata la diagnosi di sindrome da anticorpi antifosfolipidi “primaria” dopo il riscontro di piastrinopenia (presente già in giovane età) e la comparsa di ischemia arteriosa a un arto inferiore. Per 7 anni è stata trattata con ASA senza complicanze.
Abbiamo riscontrato un profilo di anticorpi antifosfolipidi (aPL) ad alto rischio trombotico (triplice positività: LAC + IgG anti-cardiolipina + anti-β2-glicoproteina I IgG), la persistenza di ANA positivi a titolo elevato con comparsa di anti-dsDNA e livelli di vitamina D molto bassi.
Questo caso clinico suggerisce la discussione delle seguenti questioni aperte.
Il marcato deficit di vitamina D è secondario all’obesità o alla sindrome da anticorpi antifosfolipidi “secondaria” (sAPS)?
È stata dimostrata un’associazione inversa tra livelli sierici di vitamina D e BMI superiore 30 a kg/m2: i soggetti obesi risultano pertanto ad alto rischio di carenza di vitamina D perché il grasso corporeo sequestra la vitamina liposolubile [10].
Il colecalciferolo (vitamina D3) viene sintetizzato prevalentemente dalla pelle esposta alla luce solare. Nella nostra paziente il primo dosaggio della vitamina D è stato effettuato in inverno. Dopo la terapia con colecalciferolo im, a primavera, i livelli, dosati nel medesimo laboratorio, sono aumentati pur restando nel range dell’insufficienza. È necessario pertanto rapportare i valori di vitamina D alla stagione e alla relativa esposizione solare. Nel caso in esame, data la tipologia di alimentazione seguita dalla paziente, è altamente improbabile che si tratti di deficit dietetico.
L’attuale riscontro di ANA ad alto titolo con positività dsDNA è indice di evoluzione verso un lupus manifesto?
La trombocitopenia, moderata o grave, risulta infatti più comune nei pazienti con sAPS e LES rispetto a quelli con sindrome “primaria” [11,12].
D’altra parte l’evoluzione verso il lupus manifesto nei portatori di pAPS è risultata determinata dalla familiarità per il lupus eritematoso sistemico, dalla presenza del fenomeno di Raynaud, dalla cefalea, dalla presenza di patologia psichiatrica, dallo sclerodermia, dall’anemia emolitica, e dalla riduzione di C3 e di C4. Oltre all’ipocomplementemia il riscontro di Coombs positivo è risultato il fattore statisticamente più importante [13,14].
Nel caso in esame la paziente non presenta i criteri principali per poter parlare di evoluzione verso il lupus eritematoso sistemico.
È indicato un trattamento preventivo con idrossiclorochina (HCQ) [15-19]?
Dati sperimentali hanno dimostrato che l’antimalarico HCQ riduce il legame degli aPL IgG-β2-GPI su doppi strati di fosfolipidi e protegge lo scudo anticoagulante dell’annessina 5 dall’attacco degli stessi comportando così un’aumentata attività anticoagulante [20,21].
Considerati i fattori di rischio cardiovascolare (ipertensione, obesità, dislipidemia, iperuricemia, steatosi epatica, avitaminosi D) e la triplice positività (profilo di alto rischio: LAC + aCL + anti-β2-GPI) è indicato un regime di anticoagulazione “spinto” con INR tra 3,1 e 4,5 [22,23]?
Un sicuro beneficio di questo approccio in prevenzione secondaria non è stato confermato dagli unici due trial effettuati [24,25]: un trattamento anticoagulante di alta intensità può essere comunque preso in considerazione in caso di recidiva tromboembolica durante la terapia anticoagulante orale convenzionale (INR 2,0-3,0) oppure una valida opzione risulta l’associazione a basse dosi di aspirina [23,26].
Per quanto tempo va protratta la terapia anticoagulante?
A lungo termine, probabilmente per sempre [22,23].
Nel caso in esame come può essere spiegata la lieve splenomegalia?
Benché non sia semplice fornire una spiegazione alla splenomegalia osservata, in letteratura è stato pubblicato uno studio clinico con bassa numerosità nel quale vengono descritti casi simili di sindrome APS primaria con riscontro di splenomegalia [27]: l’entità della splenomegalia risulta paragonabile a quella della nostra paziente, e sembra manifestarsi in particolare in soggetti che non presentano ipertensione portale né comorbilità.
Punti chiave
Bibliografia
1. Amital H, Szekanecz Z, Szucs G, et al. Serum concentrations of 25-OH vitamin D in patients with systemic lupus erythematosus (SLE) are inversely related to disease activity: is time to routinely supplement patients with SLE with vitamin D? Ann Rheum Dis 2010; 69: 1155-7; http://dx.doi.org/10.1136/ard.2009.120329
2. Mok CC, Birmingham DJ, Leung HW, et al. Vitamin D levels in Chinese patients with systemic lupus erythematosus: relationship with disease activity, vascular risk factors and atherosclerosis. Rheumatology 2012; 51: 644-52; http://dx.doi.org/10.1093/rheumatology/ker212
3. Ritterhouse LL, Crowe SR, Niewold TB, et al. Vitamin D deficiency is associated with an increased autoimmune response in healthy individuals and in patients with systemic lupus erythematosus. Ann Rheum Dis 2011; 70: 1569-74; http://dx.doi.org/10.1136/ard.2010.148494
4. Klack K, Carvalho JF. High frequency of vitamin D insufficiency in primary antiphospholipid syndrome. Joint Bone Spine 2010; 77: 489-90; http://dx.doi.org/10.1016/j.jbspin.2010.02.043
5. Piantoni S, Andreoli L, Allegri F, et al. Low levels of vitamin D are common in primary antiphospholipid syndrome with thrombotic disease. Reumatismo 2012; 64: 307-13; http://dx.doi.org/10.4081/reumatismo.2012.307
6. Paupitz JA, Freire de Carvalho J, Caparbo VF, et al. Primary antiphospholipid syndrome in premenopausal women: low vitamin D, hight fat mass and maintained bone mineral mass. Lupus 2010; 19: 1302-6; http://dx.doi.org/10.1177/0961203310372938
7. Andreoli L, Piantoni S, Dall’Ara F, et al. Vitamin D and antiphospholipid syndrome. Lupus 2012; 21: 736-40; http://dx.doi.org/10.1177/0961203312446386
8. Agmon-Levin N, Blank M, Zandman-Goddard G, et al. Vitamin D: an instrumental factor in the anti-phospholipid syndrome by inhibition of tissue factor expression. Ann Rheum Dis 2011; 70: 145-50; http://dx.doi.org/10.1136/ard.2010.134817
9. Adami S, Romagnoli E, Carnevale V, et al. Linee guida su prevenzione e trattamento dell’ipovitaminosi D con colecalciferolo Reumatismo 2011; 63: 129-47
10. Wortsman J, Matsuoka LY, Chen TC, et al. Decreased bioavailability of vitamin D in obesity. Am J Clin Nutr 2000; 72: 690-3
11. Cervera R, Piette JC, Font J, et al. Antiphospholipid syndrome: clinical and immunologic manifestations and patterns of disease expression in a cohort of 1,000 patients. Arthritis Rheum 2002; 46; 1019-27; http://dx.doi.org/10.1002/art.10187
12. Miyakis S, Lockshin MD, Atsumi T, et al. International consensus statement on an update of the classification for definite antiphospholipid syndrome (APS). J Thromb Haemost 2006; 4: 295-306; http://dx.doi.org/10.1111/j.1538-7836.2006.01753.x
13. Ramos-Casals M, Campoamor MT, Chamorro A, et al. Hypocomplementemia in systemic lupus erythematosus and primary antiphospholipid syndrome: prevalence and clinical significance in 667 patients. Lupus 2004; 13: 777-83; http://dx.doi.org/10.1191/0961203304lu1080oa
14. Gòmez-Puerta JA, Martìn H, Amigo MC, et al. Long-term follow-up in 128 patients with primary antiphospholipid syndrome: do they develop lupus? Medicine 2005; 84: 225-30; http://dx.doi.org/10.1097/01.md.0000172074.53583.ea
15. Jung H, Bobba R, Su J, et al. The protective effect of antimalarial drugs on thrombovascular events in systemic lupus erythematosus. Arthritis Rheum 2010; 62: 863-8; http://dx.doi.org/10.1002/art.27289
16. Costedoat-Chalumeau N, Leroux G, Piette JC, et al. Why all systemic lupus erythematosus patients should be given hydroxychloroquine treatment? Joint Bone Spine 2010; 77: 4-5; http://dx.doi.org/10.1016/j.jbspin.2009.09.007
17. Ruiz-Irastorza G, Ramos-Casals M, Brito-Zeron P, et al. Clinical efficacy and side effects of antimalarials in systemic lupus erythematosus: a systematic review. Ann Rheum Dis 2010; 69: 20-8; http://dx.doi.org/10.1136/ard.2008.101766
18. Akhavan PS, Su J, Lou W, et al. The early protective effect of hydroxychloroquine on the risk of cumulative damage in patients with systemic lupus erythematosus. J Rheumatol 2013; 40: 831-41; http://dx.doi.org/10.3899/jrheum.120572
19. Broder A, Putterman C. Hydroxychloroquine use is associated with lower odds of persistently positive antiphospholipid antibodies and/or lupus anticoagulant in systemic lupus erythematosus. J Rheumatol 2013; 40: 30-3; http://dx.doi.org/10.3899/jrheum.120157
20. Rand JH, Wu XX, Quinn AS, et al. Hydroxychloroquine directly reduces the binding of antiphospholipid antibody-β2-glycoprotein I complexes to phospholipid bilayers. Blood 2008; 112: 1687-95; http://dx.doi.org/10.1182/blood-2008-03-144204
21. Rand JH, Wu XX, Quinn AS, et al. Hydroxychloroquine protects the annexin A5 anticoagulant shield from disruption by antiphospholipid antibodies: evidence for a novel effect for an old antimalarian drug. Blood 2010; 115: 2292-9; http://dx.doi.org/10.1182/blood-2009-04-213520
22. Ruiz-Irastorza G, Cuadraro MJ, Ruiz-Arruza I, et al. Evidence-based recommendations for the prevention and long-term management of thrombosis in antiphospholipid antibody-positive patients: report of a task force at the 13th International Congress on antiphospholipid antibodies. Lupus 2011; 20: 206-18; http://dx.doi.org/10.1177/0961203310395803
23. Pengo V, Denas G, Banzato A, et al. Secondary prevention in thrombotic antiphospholipid syndrome. Lupus 2012; 21: 734-5; http://dx.doi.org/10.1177/0961203312444773
24. Crowter MA, Ginsberg JS, Julian J, et al. A comparison of two intensities of warfarin for the prevention of recurrent thrombosis in patients with the antiphospholipid antibody syndrome. N Engl J Med 2003; 349: 1133-8; http://dx.doi.org/10.1056/NEJMoa035241
25. Finazzi G, Marchioli R, Brancaccio V, et al. A randomized clinical trial of high-intensity vs. conventional antithrombotic therapy for the prevention of recurrent thrombosis in patients with the antiphospholipid syndrome (WAPS). J Thromb Haemost 2005; 3: 848-53; http://dx.doi.org/10.1111/j.1538-7836.2005.01340.x
26. Pengo V, Ruffatti A, Legnani C, et al. Clinical course of high-risk patients diagnosed with antiphospholipid syndrome. J Thromb Haemost 2010; 8: 237-42; http://dx.doi.org/10.1111/j.1538-7836.2009.03674.x
27. Cikrikcioglu MA, Hursitoglu M, Erkal H, et al. Splenomegaly in primary antiphospholipid syndrome without accompanying portal hypertension or comorbidity. Pathophysiol Haemost Thromb 2010; 37: 104-9