Cancro del pene: un caso clinico
Gregorio Sampalmieri 1, Antonello Moretti 1, Luca De Pascale 1, Matteo Sampalmieri 1
1 Polo ospedaliero S. Spirito, Villa Betania – Roma
Abstract
Penis cancer appears as a small lesion that extends gradually to affect the whole of the glans and the shaft of the penis. Its peak incidence is in men aged 40 to 70 years. The most frequent malignant penis tumour is squamous cell carcinoma, which occurrence is probably favoured by smegma accumulation, HPV16 and 18 infection, smoke, and balanitis xerotica obliterans. Here we discuss the case of a 74-year-old man with sovrapubic pain and swelling. Physical examination reveals swollen glans with purulent secretions and oedema. The final diagnosis of squamous cell carcinoma is established by means of RMN and biopsy. Partial penectomy surgery follows. Histopathological examination shows poorly differentiated endophytic infiltrative growth. The tumour infiltrates corpus spongiosum, corpora cavernosa, and urethra. The proximal uretheral stump is free from infiltration (pT3).
Keywords: Penis cancer; Squamous-cell carcinoma; Partial penectomy surgery
Penis cancer: a case report
CMI 2014; 8(2): 45-49
http://dx.doi.org/10.7175/cmi.v8i2.906
Caso clinico
Disclosure
Gli autori dichiarano di non avere conflitti di interesse di natura finanziaria in merito agli argomenti trattati nel presente articolo
Perché descriviamo questo caso
Alcune lesioni del pene sono completamente benigne, altre invece possono evolvere verso la malignità. È importante inquadrarne le relazioni anatomiche, eziologiche e istologiche con il carcinoma squamoso e con gli altri tumori maligni per facilitarne la diagnosi differenziale, in quanto la precocità dell’intervento è fondamentale
Introduzione
Fra le varie lesioni maligne del pene, quella di gran lunga più frequente è il carcinoma squamoso; tale neoplasia origina preferibilmente, in ordine decrescente di frequenza, in corrispondenza del glande, della superficie interna del prepuzio, del solco balano-prepuziale e, più raramente, del corpo del pene.

Figura 1. Voluminosa neoformazione cutanea glando-peniena dorso-anteriore con aree di necrosi e ulcerazione, di consistenza duro-lignea
Anche se i fattori cancerogeni precisi non sono stati individuati, è stato appurato che le persone circoncise precocemente risultano protette dall’insorgenza del carcinoma; è stato altresì riscontrato che l’incidenza aumenta nel caso di condizioni socio-economiche molto disagiate e, di conseguenza, anche di cattive condizioni igieniche. A conferma di ciò si noti il ruolo che viene riconosciuto alla fimosi e all’accumulo di smegma che ne consegue tra i fattori di rischio. Si ritiene che varie altre condizioni possano favorire l’insorgenza di tale patologia, come il fumo di sigaretta, le terapie radianti, la balanite xerotica obliterante e la predisposizione genetica [1]. Inoltre c’è una forte evidenza che HPV16 e 18 siano associati all’insorgenza di tumore in oltre il 50% dei casi [2,3].
In Europa e in America la fascia d’età più colpita è quella compresa fra 40 e 70 anni, con un massimo intorno a 55 anni.
Si tratta di un cancro che metastatizza per via linfatica, e le stazioni inizialmente interessate possono essere le inguinali superficiali, le profonde, le prepubiche, le retrocrurali, il linfonodo di Cloquet, le iliache esterne e le otturatorie.
Caso clinico
Un paziente di 74 anni, recatosi al Pronto Soccorso per tumefazione e dolore a livello sovrapubico bilateralmente, riferisce puntura di insetto sull’asta. Trasferito nel nostro reparto di Urologia, presenta all’esame obiettivo glande di consistenza duro-lignea con secrezione puruloide, edema e arrossamento della regione pelvica sovrapubica e dello scroto con presenza di tumefazioni bilaterali inguinali adese ai piani sovrastanti (Figura 1).
Viene eseguita risonanza magnetica dello scavo pelvico che evidenzia corpi cavernosi normali; l’uretra è ben delineata fino al tratto pre-distale. Il tessuto spongioso del glande risulta molto disomogeneo e ispessito con impregnazione contrastografica discretamente marcata compatibile con un importante impegno flogistico. In questo contesto l’uretra non è visualizzabile per inglobamento da parte della componente flogistica. Bilateralmente in sede inguinale e femorale sono presenti linfoadenopatie con diametro massimo di circa 40 mm.
Si esegue biopsia del glande e del prepuzio, che conferma la presenza di carcinoma a cellule squamose da moderatamente a scarsamente differenziato, con aspetti cheratinizzanti e pseudoghiandolari.
Si procede dunque con l’intervento chirurgico di penectomia parziale.

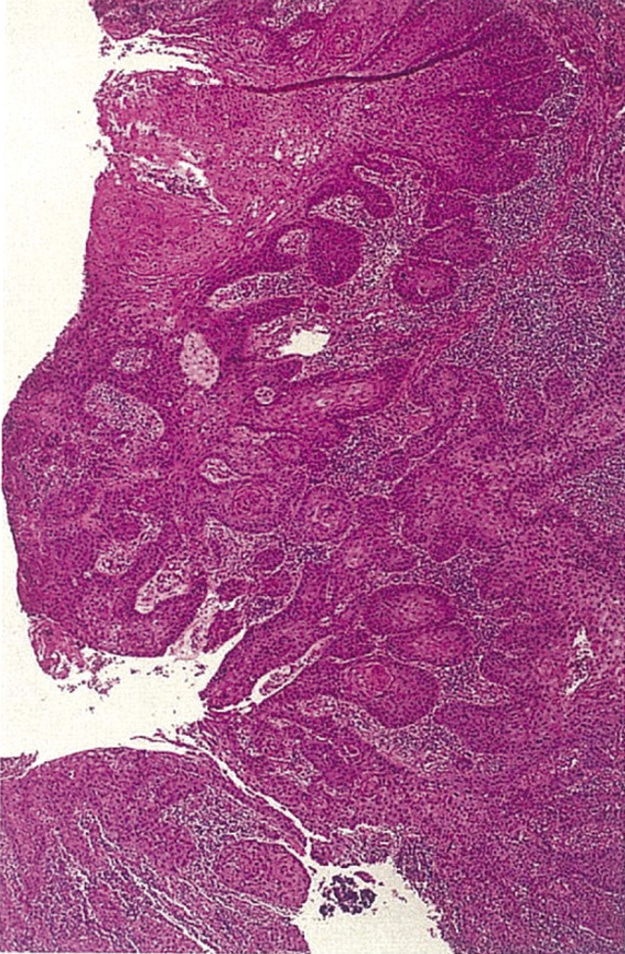
Figura 2. Reperto istologico di carcinoma squamoso con pattern di crescita endofitica infiltrativa, cheratinizzante, da moderatamente a scarsamente differenziato
L’esame istopatologico del pene distale evidenzia un carcinoma squamoso con pattern di crescita endofitica infiltrativa, cheratinizzante, da moderatamente a scarsamente differenziato. La neoplasia infiltra il corpo spongioso, i corpi cavernosi e l’uretra; si associa, inoltre, l’invasione neoplastica perineurale. Il moncone uretrale prossimale risulta invece esente da infiltrazione neoplastica (pT3) (Figura 2).
Un’ecografia inguinale post-operatoria mostra, a destra, una voluminosa formazione ipoecogena a contorni estremamente policiclici di circa 10 cm di diametro riferibile a pacchetti linfonodali conglobati; a sinistra sono presenti altre numerose aree meno voluminose, a contorni policiclici, ma in gran parte con contenuto fluido riferibile a linfonodi colliquati.
Discussione
Per il controllo del cancro del pene è da considerarsi valida solo la terapia chirurgica, risultando inadeguate come terapie risolutive, se non associate a chirurgia, sia la terapia radiante [4] sia la chemioterapia [5].
Generalmente il tumore è infetto, pertanto i linfonodi regionali risultano cronicamente flogosati. Il paziente deve perciò essere sottoposto a un’intensa terapia antibiotica dalla prima visita, per almeno 2-3 settimane prima dell’intervento chirurgico; tale terapia va poi continuata fino alla cicatrizzazione delle brecce operatorie.
Le varie tecniche chirurgiche di cancro del pene tengono conto principalmente dell’estensione del tumore, sia localmente sia alle stazioni linfonodali di drenaggio loco-regionali, più che ai principi di radicalità oncologica. Esse sono:
Ognuna di queste tecniche può essere associata a una delle seguenti linfadenectomie:
La penectomia parziale è da preferire alla circoncisione perché permette di rimuovere tutto il tessuto canceroso e precanceroso [6]. Tale tipologia di intervento chirurgico è anche considerata migliore della penectomia totale, a condizione ovviamente che il tumore primitivo possa essere rimosso con sufficiente margine, perché non sembra essere meno vantaggiosa per quanto concerne la radicalità e inoltre comporta un minor trauma psicologico per il paziente, soprattutto se giovane. Comunque, pochi pazienti riescono ad avere un soddisfacente rapporto dopo la penectomia parziale: il principale vantaggio, di fatto, è che il paziente può, generalmente, mingere in piedi.
Le lesioni della parte prossimale, della base del pene o che interessino massivamente l’asta necessitano di un’amputazione totale. La stessa metodica va praticata se la lesione è istologicamente più aggressiva di quanto l’esame clinico lasciasse supporre. La penectomia totale deve includere anche la panniculectomia pubica se il tumore coinvolge la base del pene o la parete addominale [7].
La linfadenectomia delle stazioni di drenaggio può essere eseguita sia a scopo palliativo sia terapeutico; nel primo caso la dissezione inguinale viene eseguita per prevenire una morte precoce da erosione dentro le arterie femorali e per diminuire la massa totale del tumore, conferendo così maggior efficacia a eventuali terapie complementari. A scopo terapeutico si pratica la linfadenectomia al tempo della penectomia, oppure entro tre mesi solo in caso di positività all’esame clinico dei linfonodi inguinali [8]. In caso di negatività dei linfonodi, non potendosi escludere la presenza di micrometastasi, si ricorre all’uso della biopsia dinamica del linfonodo, o dei linfonodi, sentinella (DSNB). Tale linfonodo viene identificato intraoperatoriamente, dopo aver iniettato il giorno precedente all’intervento 99MTC nella zona circostante il tumore, con Gamma camera e raggi X. La linfadenectomia inguinale viene eseguita solo nei pazienti con linfonodi sentinella positivi, pratica che consente di evitare linfadenectomie inutili, dal momento che sono gravate da notevole morbilità [9]. Secondo alcuni Autori [10] ci si può limitare a effettuare una linfadenectomia superficiale, riservandosi di praticare quella profonda nei casi di metastasi a livello di linfonodi inguinali superficiali. Comunque la sopravvivenza risulta essere migliore quando si effettua anche la dissezione inguinale profonda in pazienti con metastasi inguinali anche occulte.
Certamente aspettare che le metastasi inguinali si sviluppino fino alla misura in cui sono clinicamente apprezzabili non fornisce una terapia risolutiva per il cancro, in quanto la forma neoplastica assume spesso la caratteristica di incurabilità. Il principio di radicalità porta molti Autori [11] a effettuare una dissezione ileo-inguinale; questa tecnica ha dato medie di sopravvivenza più alte rispetto alla sola asportazione sub-inguinale, comportando un miglior margine chirurgico, dal momento che le metastasi possono saltare i linfonodi inguinali e andare direttamente ai linfonodi iliaci.
La ricerca di metastasi a distanza, effettuata mediante PET-TC, deve essere eseguita solo in presenza di metastasi inguinali e la loro rilevazione indica l’uso di terapia aggiuntiva alla chirurgia.
Il nostro indirizzo terapeutico consiste essenzialmente nella precocità e nella radicalità dell’intervento chirurgico, anche se il caso presentato è giunto alla nostra osservazione a uno stadio molto avanzato, situazione che lo ha reso molto particolare, essendo raro ormai riscontrare neoplasie peniene di tali dimensioni.
Per precocità si intende eseguire l’operazione al più presto, non prima, però, di aver somministrato antibiotici per almeno tre settimane, al fine di ridurre la flogosi che si ha sempre sia a livello del tumore primitivo sia a livello delle sue stazioni di drenaggio linfatico, siano esse interessate o meno da metastasi. Ciò comporta una miglior valutazione dello stadio del tumore e diminuisce le complicanze chirurgiche delle ferite che possono verificarsi quale che sia la tecnica chirurgica adottata [12]. È evidente, pertanto, che tale terapia va continuata anche nel post-operatorio fino alla completa cicatrizzazione delle ferite.
Per radicalità si intende l’ectomia di tutte le stazioni linfatiche interessate come possibili sedi di metastasi fino alla biforcazione iliaca, oltre che l’asportazione completa dell’organo, qualora risulti necessario. Nell’eventualità di cattive condizioni generali del paziente, l’asportazione sarà limitata alle stazioni linfatiche più probabilmente interessate e che determinano minor trauma chirurgico come i linfonodi inguinali superficiali, in particolare quelli del gruppo supero-mediale, oltre a ogni altro linfonodo che la citoaspirazione ha dimostrato essere neoplastico. In ogni caso, comunque, l’asportazione delle stazioni linfonodali, sia essa limitata o estesa, sarà sempre bilaterale dato l’incrocio delle reti linfatica destra e sinistra del pene.
L’asportazione delle stazioni linfatiche sarà sempre centripeta rispetto alla lesione, iniziando dalle più lontane. Riteniamo sempre utile eseguire una flebografia degli arti inferiori per accertare la pervietà del circolo profondo in vista di una safenectomia parziale in corso di svuotamento inguinale completo. Solo occasionalmente, invece, eseguiamo una linfografia, prima dell’intervento chirurgico e dopo terapia antibiotica in quei pazienti nei quali non è possibile eseguire una linfadenectomia estesa per le cattive condizioni generali; tale metodica può dare infatti un’idea dell’interessamento linfonodale di alcune stazioni e guidare una eventuale radioterapia complementare a quella chirurgica.
Per ciò che riguarda il nostro caso, dai dati anamnestici in nostro possesso non risulta l’uso da parte del paziente di sostanze chimiche, né di traumi, né tantomeno di sicuri episodi di balanopostite (dato l’enorme tempo di latenza nel manifestarsi della lesione), non è stata riscontrata infezione da HPV anche se non è da escluderne una possibile presenza. La puntura di insetto, motivo per cui il paziente si è recato al Pronto Soccorso, non ha avuto alcun ruolo nella formazione della neoplasia, sempre che vi sia stata; il dolore potrebbe infatti essere stato causato dal tumore stesso. La causa più probabile si può far risalire alla scarsa igiene che ha provocato un accumulo di smegma il quale, come detto in precedenza, ha un ruolo significativo nello sviluppo di tali lesioni. La terapia antibiotica pre-operatoria, fondamentale per la riduzione della zona interessata da reazione infiammatoria, è stata eseguita, permettendoci di delineare meglio, in sede di intervento, i limiti della neoplasia. La linfoadenectomia non è stata eseguita in quanto i linfonodi apparivano diffusamente conglobati e colliquati: si è avviato quindi il paziente verso una chemioterapia.
Punti chiave
Bibliografia
1. Ornellas P, Ornellas AA, Chinello C, et al. Downregulation of C3 and C4A/B complement factor fragments in plasma from patients with squamous cell carcinoma of the penis. Int Braz J Urol 2012; 38: 739-49; http://dx.doi.org/10.1590/1677-553820133806739
2. Dillner J, Meijer CJLM, von Krogh G, et al. Epidemiology of human papillomavirus infection. Scand J Urol Nephrol Sup 2000; 34: 194-200; http://dx.doi.org/10.1080/00365590050509922
3. Jemal A, Simard EP, Dorell C, et al. Annual Report to the Nation on the status of cancer, 1975-2009, featuring the burden and trends in human papillomavirus(HPV)-associated cancers and HPV vaccination coverage levels. J Natl Cancer Inst 2013; 105: 175-201; doi: 10.1093/jnci/djs491; http://dx.doi.org/10.1093/jnci/djs491
4. Crook JM, Haie-Meder C, Demanes DJ, et al. American Brachytherapy Society-Groupe Européen de Curiethérapie-European Society of Therapeutic Radiation Oncology (ABS-GEC-ESTRO) consensus statement for penile brachytherapy. Brachytherapy 2013; 12: 191-8; doi: 10.1016/j.brachy.2013.01.167; http://dx.doi.org/10.1016/j.brachy.2013.01.167
5. Noronha V, Patil V, Ostwal V, et al. Role of paclitaxel and platinum-based adjuvant chemotherapy in high-risk penile cancer. Urol Ann 2012; 4: 150-3; doi: 10.4103/0974-7796.102659; http://dx.doi.org/10.4103/0974-7796.102659
6. McDouglas WS. Advances in the treatment of carcinoma of the penis. Urology 2005; 66(5 suppl): 114-7; http://dx.doi.org/10.1016/j.urology.2005.06.007
7. Syeds S, Eng TY, Thomas CR, et al. Current issues in the management of advanced squamous cell carcinoma of the penis. Urol Oncol 2003; 21: 431-8; http://dx.doi.org/10.1016/S1078-1439(03)00058-9
8. Kroon BK, Horenblas S, Nieweg OE. Contemporary management of penile squamous cell carcinoma. J Surg Oncol 2005; 89: 43-50; http://dx.doi.org/10.1002/jso.20170
9. Pizzocaro G, Algaba F, Horenblas S, et al; European Association of Urology (EAU) Guidelines Group on Penile Cancer. EAU penile cancer guidelines 2009. Eur Urol 2010; 57: 1002-12; http://dx.doi.org/10.1016/j.eururo.2010.01.039
10. Sanchez-Ortiz RF, Pettaway CA. The role of lymphadenectomy in penile cancer. Urol Oncol 2004; 22: 236-44; discussion 244-5; http://dx.doi.org/10.1016/j.urolonc.2004.04.031
11. Singh I, Khaitan A. Current trends in the management of carcinoma penis-a review. Int Urol Nephrol 203; 35: 215-25
12. Brady KL, Mercurio MG, Brown MD. Malignant tumors of the penis. Dermatol Surg 2013; 39: 527-47; doi: 10.1111/dsu.12029; http://dx.doi.org/10.1111/dsu.12029