Lupus indotto da farmaci: simvastatina o amiodarone? Caso clinico in un paziente anziano
Mauro Turrin 1, Sergio Martinelli 1
1 UOC Medicina Interna, Azienda ULSS n. 17, Regione del Veneto, Ospedale di Monselice (Padova)
Abstract
Reports of systemic lupus erythematosus (SLE) seen during treatment with amiodarone are rare in the literature. SLE or immunological abnormalities induced by treatment with statins are more frequent. In this issue we report a case of a 81-year-old male who, after a 2-year therapy with amiodarone, developed a clinical and serologic picture of drug-induced SLE (DILE). He was admitted for congestive heart failure in mechanical aortic valve prosthesis, permanent atrial fibrillation (anticoagulation with warfarin), hypercholesterolaemia, and hypothyroidism. Amiodarone was started two years earlier for polymorphic ventricular tachycardia, statin and L-thyroxine the following year. At admission he presented pleuro-pericardical effusion detected by CT-scan (also indicative of interstitial lung involvement) and echocardiography. Serological main indicative findings were: elevation of inflammatory markers, ANA (Anti-Nuclear Antibodies) titers = 1:320 (indirect immune-fluorescence – IIF – assay on HEp-2), homogeneous/fine speckled pattern, anti-dsDNA titers = 1:80 (IIF on Crithidia luciliae), negative ENA (Extractable Nuclear Antigens) and antibodies anti-citrulline, rheumatoid factor = 253 KU/l, normal C3-C4, negative HbsAg and anti-HCV, negative anticardiolipin antibodies IgG and IgM, negative anti-beta2GPI IgG and IgM. Amiodarone was discontinued and methylprednisolone was started, since the patient was severely ill. At discharge, after a month, the patient was better and pleuro-pericardical effusion was reduced. Readmitted few weeks later for bradyarithmia and worsening of dyspnoea, pericardial effusion was further reduced but he died for refractory congestive heart failure and pneumonia. Clinical picture (sierositis, neither skin nor kidney involvement), other typical side effects of amiodarone (hypothyroidism and lung interstitial pathology) and serological findings are suggestive of amiodarone-induced SLE.
Keywords: Drug-induced lupus; Statins; Amiodarone; Systemic lupus erythematosus; Autoimmunity; Autoantibodies
Drug-induced lupus: simvastatin or amiodarone? A case report in elderly
CMI 2013; 7(1): 17-26
Caso clinico
Disclosure
Gli Autori dichiarano di non avere conflitti di interesse di natura finanziaria in merito ai temi trattati nel presente articolo
Perché descriviamo questo caso
Nella diagnosi differenziale delle sierositi infiammatorie vanno considerate le malattie autoimmuni responsabili di pleuropericarditi. In presenza di positività degli anticorpi antinucleo le indagini immunologiche vanno approfondite con autoanticorpi anti-ENA (Extractable Nuclear Antigens), anti-DNA-nativo, anti-DNA-denaturato, anti-istone. Nel soggetto anziano, nella diagnosi differenziale di “lupus” vanno presi in considerazione i farmaci: sono infatti almeno 80 i medicinali implicati nella comparsa di lupus farmacologico e, tra quelli emergenti, risulta utile indagare l’assunzione di statine e di amiodarone
Introduzione
Sono più di 80 i medicinali implicati nella comparsa di lupus eritematoso sistemico farmacologico (DILE) [1].
Oltre ai classici farmaci, quali idralazina, procainamide, isoniazide, metildopa, clorpromazina, chinidina, minociclina, responsabili della comparsa di lupus e ampiamente studiati dalla letteratura, ulteriori farmaci sono ritenuti potenziali induttori, tra cui le statine. Sono state descritte infatti diverse reazioni autoimmuni, dalla semplice positività degli ANA (Anti-Nuclear Antibodies) e fotosensibilità fino a manifestazioni cliniche importanti quali lupus eritematoso sistemico (LES), Subacute Cutaneous Lupus Erythematosus (SCLE), dermatomiosite, polimiosite, dopo l’esposizione prolungata alle statine [2-15]; in particolare sono stati segnalati un caso di lupus-like syndrome con Acute Respiratory Distress Syndrome (ARDS) fatale da fluvastatina e due casi, rispettivamente con LES acuto e con epatite autoimmune, da atorvastatina [5,6,12].
Per quanto riguarda amiodarone, esistono in letteratura soltanto tre descrizioni di sierosite da lupus riscontrata durante tale terapia [16-18].
Le caratteristiche del lupus farmaco-indotto sono descritte nel box.
Caratteristiche del lupus indotto da farmaci (DILE) [1]
Caso clinico
Un paziente di 81 anni viene ricoverato nel nostro reparto ad aprile 2012 per scompenso cardiaco congestizio. Nell’anamnesi risultano: protesi valvolare aortica meccanica (terapia anticoagulante orale – TAO dal 1987), blocco di branca sinistro (BBSx) completo, fibrillazione atriale permanente, coxartrosi invalidante, malattia di Dupuytren bilaterale, ernia inguinale, sordità bilaterale (protesi acustiche), ipertrofia prostatica e ipercolesterolemia.
Nel 2008 venne sottoposto a emotrasfusioni per anemia secondaria a ematoma post-traumatico a una coscia.
Nel 2010 fu ricoverato per scompenso cardiaco congestizio. Nell’occasione un ECG-Holter dimostrava, oltre alla fibrillazione atriale, la presenza di numerose extrasistoli ventricolari polimorfe, ripetute in coppie, triplette e brevi runs polimorfi; per tali motivi venne iniziata la terapia con amiodarone 200 mg al dì, oltre alla precedente terapia con warfarin, furosemide, digossina (0,125 mg al dì), dutasteride, terazosina, allopurinolo e pantoprazolo.
L’Rx torace in quell’occasione risultava negativo per focolai pleuro-parenchimali (Figura 1).
Gli esami di laboratorio sono illustrati nella Tabella I.

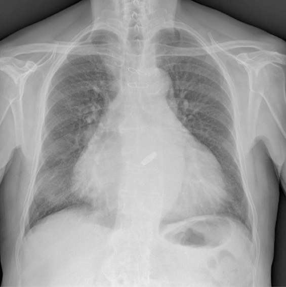
Figura 1. Rx torace (anno 2010): cardiomegalia, legacci metallici contro lo sterno, protesi valvolare, aortosclerosi

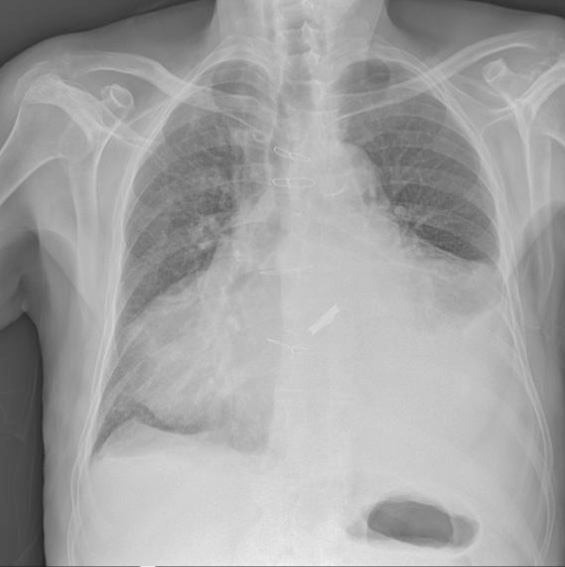
Figura 2. Rx torace (anno 2011): cardiomegalia, versamento pleurico sinistro
|
Parametro |
Valore riscontrato |
Range di normalità |
|
VES |
54 mm/h |
2-28 mm/h |
|
Colesterolo totale |
177 mg/dl |
< 200 mg/dl |
|
GammaGT |
58 U/l |
< 55 U/l |
|
TSH |
2,07 mU/l |
0,2-4,0 mU/l |
|
Creatinina |
1,21 mg/dl |
0,72-1,18 mg/dl |
|
Uricemia |
6,4 mg/dl |
3,5-7,2 mg/dl |
|
GB |
5,64 × 109/l |
4,0-10,0 × 109/l |
|
Hb |
12,7 g/dl |
13,5-16,0 g/dl |
Tabella I. Esami di laboratorio risalenti al 2010
GB = globuli bianchi; Hb = emoglobina; TSH = Thyroid-Stimulating Hormone; VES = velocità di eritrosedimentazione

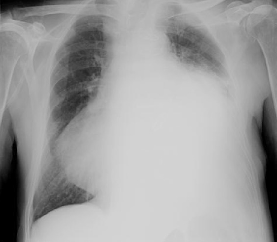
Figura 3. Rx torace (aprile 2012) che mostra cardiomegalia, aortosclerosi, versamento pleurico sinistro
Il profilo proteico era normale. L’ecocardiogramma dimostrava: frazione di eiezione (FE) = 34%, insufficienza mitralica, pressione sistolica polmonare stimata intorno a 55-60 mmHg.
Nell’arco di un anno si assisteva a un progressivo aumento del TSH.
Nel 2011 venne ricoverato in Neurologia per trauma cranico contusivo da caduta a terra in casa. La TAC rilevava, tra l’altro, puntiformi chiazzette iperdense in sede frontale, scomparse in successivo controllo, per le quali si intraprendeva terapia con eparina a basso peso molecolare – EBPM – in sostituzione temporanea della TAO. Dall’elettroencefalogramma (EEG) si rilevavano tracciati irregolari per anomalie lente sulle derivazioni emisferiche di sinistra, più evidenti su quelle centro-parietali. L’Rx torace evidenziava cardiomegalia e versamento pleurico sinistro (Figura 2). Durante la degenza non venivano segnalati né dispnea né edemi declivi.
I risultati degli esami di laboratorio sono mostrati in Tabella II.
Il profilo proteico risultava normale, così come gli anticorpi anti-tireoperossidasi (anti-TPO) e gli anticorpi antitireoglobulina (anti-TGB).
All’elettrocardiogramma si rilevavano FA, BBSx completo e QTc = 507 ms. Per il riscontro di ipotiroidismo (Tabella II) venne iniziata terapia con L-tiroxina (50 µg/die). Veniva dimesso con la seguente terapia: furosemide 500:1/4 c bid, metolazone, amiodarone 200 mg/die, digossina 0,125 mg/die, simvastatina 20 mg/die (prima del ricovero 20 mg a giorni alterni), lansoprazolo e dutasteride.
Il ricovero attuale è stato determinato dalla comparsa di dispnea ingravescente, incremento ponderale, astenia, febbre e faringodinia.
L’Rx torace rilevava cardiomegalia, aortosclerosi e versamento pleurico sinistro (Figura 3).
|
Parametro |
Valore riscontrato |
Valori normali |
|
VES |
80 mm/h |
2-28 mm/h |
|
D-dimero |
9.893 µg/l |
< 200 µg/l |
|
Creatinina |
1,58 mg/dl |
0,72-1,18 mg/dl |
|
GammaGT |
127 U/l |
< 55 U/l |
|
Colesterolo totale |
139 mg/dl |
< 200 mg/dl |
|
Hb |
11,5 g/dl |
13,5-16,0 g/dl |
|
GB |
4,39 × 109/l |
4,0-10,0 × 109/l |
|
TSH |
22 mU/l |
0,2-4,0 mU/l |
|
T3f |
3,8 pmol/l |
2,77-5,84 pmol/l |
|
T4f |
11,8 pmol/l |
10,9-20,2 pmol/l |
Tabella II. Esami di laboratorio nel 2011
GB = globuli bianchi; Hb = emoglobina; T3f = tri-iodotironina libera; T4f = tetra-iodotironina libera; TSH = Thyroid-Stimulating Hormone; VES = velocità di eritrosedimentazione
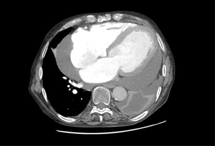
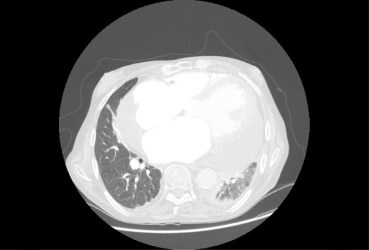
L’ecocardiogramma trans-toracico mostrava FE = 28%, versamento pericardico prevalente a carico della parete libera del ventricolo sinistro e posteriormente, con scollamento massimo di 4 cm, senza segni di tamponamento; discreto aumento della pressione arteriosa polmonare (PAP) a 45-50 mmHg. Dalla TAC torace erano visibili cardiomegalia, abbondante versamento pericardico, discreto versamento pleurico a sinistra con atelettasia parziale del lobo inferiore, alterazioni parenchimali bilaterali con aspetto a vetro smerigliato e qualche linfonodo mediastinico con diametro < 1 cm (Figure 4 e 5).

Figura 4. TAC torace (aprile 2012): cardiomegalia, abbondante versamento pericardico, discreto versamento pleurico a sinistra con atelettasia parziale del lobo inferiore, alterazioni parenchimali bilaterali con aspetto a vetro smerigliato, qualche linfonodo mediastinico con diametro < 1 cm

Figura 5. TAC torace (aprile 2012): particolare per il parenchima polmonare
Per il rilievo di disfonia, presente da qualche mese, si è effettuata una videolaringoscopia con riscontro di paralisi ricorrenziale della corda vocale sinistra.
La TAC collo mostrava paralisi in abduzione del processo vocale della cartilagine aritenoidea sinistra, mentre la TAC cerebrale metteva in luce una marcata atrofia cortico-sottocorticale, piccole calcificazioni a livello dei nuclei della base e calcificazioni vascolari.
Gli esami di laboratorio effettuati sono riportati in Tabella III.
|
Parametro |
Valore riscontrato |
Valori normali |
|
Esami ematochimici |
||
|
PCR |
29,2 mg/l |
0,0-5,0 mg/l |
|
Creatinina |
2,20 → 1,12 mg/dl |
0,72-1,18 mg/dl |
|
D-dimero |
19.700 → 16.860 µg/l |
< 200 µg/l |
|
LDH |
596 → 484 U/l |
< 480 U/l |
|
Colesterolo totale |
177 mg/dl |
< 200 mg/dl |
|
Uricemia |
9,7 mg/dl |
3,5-7,2 mg/dl |
|
α-2globuline |
9,4 g/l |
5,1-8,5 g/l |
|
GammaGT |
62 U/l |
< 55 U/l |
|
ANA (IFI su HEp-2) pattern nucleare |
1:320 omogeneo/fine speckled |
≤ 1:40 |
|
Anti-dsDNA (IFI su Crithidia luciliae) |
1:80 |
< 1:10 |
|
Fattore reumatoide |
252,9 KU/l |
< 14 KU/l |
|
Anticorpi anti-citrullina |
< 20 U/ml |
< 20 U/ml |
|
Complemento C3c |
1,45 g/l |
0,90-1,80 g/l |
|
Complemento C4 |
0,34 g/l |
0,10-0,40 g/l |
|
CEA |
12 µg/l |
< 4 µg/l |
|
CA 125 |
329,5 kU/l |
< 31 kU/l |
|
TSH |
2,88 mU/l |
0,2-4,0 mU/l |
|
Esame urine (catetere vescicale) |
||
|
GR |
300 per campo |
< 10 per campo |
Tabella III. Esami di laboratorio del 2012
ANA = Anti-Nuclear Antibodies; CEA = antigene carcino-embrionario; GR = globuli rossi; IFI = immunofluorescenza indiretta; LDH = lattato deidrogenasi; PCR = proteina C reattiva; TSH = Thyroid-Stimulating Hormone; valore iniziale → valore finale
Inoltre troponina e creatina fosfochinasi (CPK) risultavano normali, gli anti-ENA negativi, HbsAg e anti-HCV negativi, CA 19.9 normale, anticorpi anticardiolipina IgG e IgM negativi, anti-β2-GPI IgG e IgM negativi.
All’esame delle urine si evidenziavano proteine normali e la presenza di qualche cilindro ialino.
Nel sospetto di “lupus” veniva iniziata terapia con metilprednisolone 40 mg ev (in seguito prednisone 25 mg per os/die) e sospensione di amiodarone (della digitale e di simvastatina). Il controllo pre-dimissione degli esami di laboratorio dimostrava: proteina C reattiva (PCR) = 28,6 mg/l e creatinina 1,12 mg/dl. L’ecografia Doppler venosa agli arti inferiori non rilevava segni di trombosi venosa profonda (TVP). L’ecografia dell’aorta addominale risultava negativa per dilatazione aneurismatica. Il controllo dell’Rx torace dimostrava invariato il versamento pleurico sinistro. Al controllo dell’ecocardiogramma transtoracico (ETT) risultava: discreto versamento pericardico con separazione massima in corrispondenza dell’atrio destro di 2,4 cm e lateralmente al versante sinistro di 1,8 cm.
Il paziente veniva dimesso dopo un mese: non è stato possibile proseguire con indagini endoscopiche (per antigene carcino-embrionario – CEA – e CA 125 elevati) a causa del precario compenso cardiaco.
Rientrava in reparto dopo 15 giorni per scompenso cardiaco e bradiaritmia (37 battiti/min).
All’ETT il versamento pericardico presentava una discreta riduzione.
Gli esami di laboratorio dimostravano: PCR = 148 mg/l (vn < 5 mg/l); velocità di eritrosedimentazione (VES) = 76 mm (vn 2-28 mm); D-dimero > 8.000 µg/ml (vn < 200 µg/ml); proBNP (pro Brain Natriuretic Peptide) = 12.218 µg/l (vn < 450 µg/l).
Trasferito in Cardiologia, il paziente andava all’exitus per scompenso cardiaco refrattario e polmonite destra.
Domanda da porsi di fronte a questo caso
Discussione
Abbiamo descritto il caso clinico di un paziente cardiopatico anziano che, trattato con amiodarone, ha presentato un versamento pleurico asintomatico dopo un anno e pleuro-pericardico sintomatico dopo due anni di terapia. Il farmaco ha comportato la comparsa di ipotiroidismo e di interstiziopatia polmonare, effetti collaterali tipici di amiodarone.
L’età avanzata, il sesso maschile, la presenza di pleurite e di pericardite, il riscontro di ANA ad alto titolo con positività degli anticorpi anti-dsDNA, la normalità del complemento, la positività del fattore reumatoide, l’assenza di interessamento renale e di manifestazioni cutanee e la mancanza di diagnosi alternative ci hanno indotto a formulare la diagnosi di lupus farmacologico da prolungata assunzione di amiodarone essendosi esclusi altri potenziali farmaci, in particolare le statine [2-15].
A tal riguardo in letteratura sono stati rilevati 11 casi di pazienti affetti da lupus indotto da simvastatina (Tabella IV): viene segnalato un solo caso con versamento pleurico e pericardico, associato ad ANA 1:320 e con anticorpi anti-istone positivi, riscontrati entro 3 mesi dall’inizio di tale terapia [7].
|
Autore, anno [rif.] |
Bannwarth, 1992 [3] |
Hanson, 1998 [4] |
Khosla, 1998 [7] |
Ahmad, 2000 [11] |
Srivastava, 2003 [12] |
Noel, 2004 [9] |
Suchak, 2007 [14] |
Moulis, 2000 [15] |
Moulis, 2003 [15] |
Moulis, 2005 [15] |
Moulis, 2009 [15] |
|
Nazione |
Francia |
Australia |
USA |
USA |
USA |
CH |
UK |
Francia |
Francia |
Francia |
Francia |
|
Sesso |
F |
M |
F |
M |
F |
M |
F |
F |
M |
F |
M |
|
Età (anni) |
70 |
39 |
79 |
42 |
53 |
59 |
82 |
71 |
75 |
72 |
74 |
|
Farmaci usati |
|||||||||||
|
Eventuale altro farmaco oltre a simvastatina |
Ibuprofene |
Pravastatina |
|||||||||
|
Dosaggio di simvastatina (mg/UID) |
10 |
20 |
20 |
20 |
|||||||
|
Durata |
20 mesi |
4 anni |
3 mesi |
2 sett. |
8 sett. |
2 anni |
3 mesi |
4 anni |
|||
|
Sintomi |
|||||||||||
|
Sierositi |
No |
No |
Pleuro-pericardite |
No |
No |
No |
No |
No |
No |
No |
No |
|
Altri sintomi |
Artralgie |
Sindrome di Raynaud |
Artralgie |
SCLE |
SCLE |
SCLE |
Artro-mialgie ed epatite |
Rash |
Rash |
||
|
Titoli anticorpali |
|||||||||||
|
ANA (quantità, pattern) |
1:1280, omogeneo |
1:2560, speckled |
1:320, speckled |
1:320, omogeneo |
1:160, speckled |
1:640, speckled |
1:100, speckled |
1:2560 |
1:320 |
n.d. |
1:320 |
|
Anti-dsDNA |
- |
- |
- |
- |
- |
+, 770 IU/ml |
- |
+ |
- |
||
|
Anti-ENA |
- |
- |
- |
- |
|||||||
|
+ |
+ |
|||||||||
|
+ |
||||||||||
|
Anti-ssDNA |
+ |
||||||||||
|
Anti-istone |
- |
- |
+ |
+ |
- |
- |
- |
||||
|
Fattore reumatoide |
- |
- |
- |
n.d. |
|||||||
|
Altri esami di laboratorio |
VES = 49 mm; PCR = 32 mg/l (< 6 mg/l) |
VES = 12 mm; PCR normale |
C3-C4 = normali; CPK = 243 U/l |
||||||||
|
Terapia |
Prednisone, 15 mg UID |
No |
Prednisone, 40 mg UID |
No |
Cortisone topico |
Prednisolone, 20 mg UID, idrossiclorochina |
Prednisone |
Clorochina |
Idrossiclorochina |
||
|
Miglioramento clinico- laboratoristico |
2 mesi |
Guarigione 1 anno (ANA = 1:2560) |
2 sett. (ANA normali) |
2 sett. (ANA normali 8 sett.) |
9 mesi |
Lento, spontaneo (6 mesi ANA = 1:320) |
Lento |
Lento |
|||
Tabella IV. Lupus indotto da simvastatina: 11 casi in letteratura
- = negativo; + = positivo; ANA = Anti-Nuclear Antibodies; CPK = creatina fosfochinasi; ENA = Extractable Nuclear Antigens; n.d. = non determinato; PCR = proteina C reattiva; SCLE = Subacute Cutaneous Lupus Erythematosus; UID = una volta al giorno; VES = velocità di eritrosedimentazione
La comparsa della lupus-like syndrome da statine è stata attribuita alla risposta proinfiammatoria di tali farmaci dovuta all’aumentata produzione nei monociti umani delle citochine IL-18 e IL-12 [19].
Per quanto riguarda il lupus indotto da amiodarone, i tre casi descritti in letteratura (Tabella V) si riferiscono a pazienti di età adulta-senile, con assunzione del farmaco per una durata simile al nostro soggetto; tutti hanno presentato un versamento pleurico, con associato versamento pericardico in uno, gli ANA sono risultati a titolo elevato; gli anticorpi anti-istone, ritenuti tipici del lupus da farmaci [1], vengono segnalati positivi in un solo paziente.
In precedenza nel 1997 era stato descritto [20] il caso di una paziente di 65 anni nella quale coesistevano patologia pleuro-polmonare da amiodarone e da granulomatosi di Wegener (ANA = 1:80, pattern speckled, anti-dsDNA negativo). Una positività degli ANA, a titolo 1:200, era già stata segnalata nel 1983 in una casistica di interstiziopatia polmonare da amiodarone senza sierosite [21].
Egualmente rare risultano le descrizioni di casi clinici in soggetti adulti e anziani con versamento pleurico (e pericardico) da effetto tossico di amiodarone e senza associata positività degli ANA [22-28].
Altrettanto scarse sono le segnalazioni di versamento pleurico, associato o meno a patologia polmonare e senza alterazioni immunologiche, in corso di terapia con statine [29-31].
Non è possibile attualmente stabilire se le caratteristiche clinico-laboratoristiche del lupus indotto da amiodarone siano diverse da quelle classicamente descritte per il DILE [1] e in particolare da quelle relative alla patologia da statine: i dati della letteratura indicano soltanto una maggiore frequenza di anti-dsDNA nel lupus indotto da statine a fronte di un minor rilievo di anticorpi anti-istone [15].
È da segnalare infine che nei soggetti adulti la comparsa di LES con la sola presentazione iniziale di sierosite risulta rara ed è generalmente considerata più benigna che nei giovani [32-34].
|
Autore, anno [rif.] |
Susano, 1999 [17] |
Sheikhzadeh, 2002 [16] |
Kundu, 2003 [18] |
Turrin, 2013 |
|
Nazione |
Spagna |
Germania |
India |
Italia |
|
Sesso |
F |
M |
M |
M |
|
Età (anni) |
71 |
59 |
58 |
81 |
|
Esami strumentali |
||||
|
ECG |
FA |
RS/FA |
FA |
FA |
|
Rx torace |
Versamento pleurico bilaterale, essudato a prevalenza linfocitaria |
Versamento pleurico bilaterale |
Versamento pleurico bilaterale, essudato a prevalenza linfocitaria |
Versamento pleurico sinistro (protesi aortica meccanica) |
|
ETT |
Stenosi aortica lieve |
Versamento pericardico 15 mm |
Stenosi mitralica |
Versamento pericardico 40 mm |
|
Titoli anticorpali |
||||
|
ANA, pattern |
1:640 |
1:320 |
1:640 |
1:320, omogeneo/ fine speckled |
|
Anti-istone |
- |
- |
+ |
n.d. |
|
Anti-dsDNA |
- |
- |
n.d. |
+, 1:80 |
|
Fattore reumatoide |
1:320 |
96 IU/ml |
1:320 |
252 kU/l |
|
Anti-CCP |
n.d. |
n.d. |
n.d. |
- |
|
Immunocomplessi |
+ |
Normali |
n.d. |
n.d. |
|
Anti-ENA |
- |
- |
- |
- |
|
- |
+ |
- |
|
|
- |
- |
- |
|
|
Altri esami di laboratorio |
||||
|
VES (mm) |
90 |
80 |
106 |
n.d. |
|
PCR (mg/l) |
n.d. |
152 |
n.d. |
29 |
|
C3, C4 |
Normali |
Normali |
n.d. |
Normali |
|
Sintomi |
||||
|
Tiroide |
Normale |
Normale |
Normale |
Ipotiroidismo |
|
Farmaci usati |
||||
|
Dosaggio di amiodarone (mg) |
200 BID |
200 UID |
200 UID |
200 UID |
|
Durata della terapia |
1,5 anni |
2 anni |
1,5 anni |
2 anni |
|
TAO |
Sì |
Sì |
n.d. |
Sì |
|
Altri farmaci |
Amiloride, digitale |
n.d. |
Triamterene, benzotiazide, digitale |
Simvastatina, furosemide, digitale, dutasteride, terazosina, allopurinolo, pantoprazolo, L-tiroxina |
|
Stop amiodarone |
Sì |
Sì |
Sì |
Sì |
|
Miglioramento clinico-laboratoristico |
12 mesi, ANA = 1:40 |
12 mesi (cortisone) |
10 mesi, ANA = 1:40 |
Con cortisone riduzione del versamento pericardico; exitus dopo 2 mesi |
Tabella V. Lupus indotto da amiodarone: 3 casi in letteratura oltre al presente
- = negativo; + = positivo; Anti-CCP = anti-Cyclic Citrullinated Peptide antibodies; BID = due volte al giorno; ECG = elettrocardiogramma; ETT = ecocardiogramma transtoracico; FA = fibrillazione atriale; n.d. = non determinato; RS = ritmo sinusale; TAO = terapia anticoagulante orale; UID = una volta al giorno; VES = velocità di eritrosedimentazione
Conclusioni
Riteniamo che il nostro caso clinico presenti analogie clinico-laboratoristiche con i tre casi descritti in letteratura: ci risulta pertanto non infondata l’ipotesi formulata per lupus senile indotto da amiodarone, anche in considerazione dell’incertezza dovuta alla scarsità dei dati attualmente presenti in letteratura.
Punti chiave nella valutazione del paziente anziano con sierositi da sospetto lupus
Bibliografia