Gestione multidisciplinare nel tumore del polmone non a piccole cellule (NSCLC) in stadio III: descrizione di un caso clinico. Raccomandazioni e stato dell’arte
Simona Carnio 1, Giulia Courthod 1, Simonetta Grazia Rapetti 1, Tiziana Vavalà 1, Matteo Giaj Levra 1, Enrica Capelletto 1, Silvia Novello 1
1 S.C.D.U. Malattie dell’apparato respiratorio ad indirizzo Oncologico, AUO San Luigi, Orbassano (TO)
Abstract
Lung cancer is the leading cause of cancer death in industrialised countries, with progressive increase of its mortality rate. Non Small Cell Lung Cancer (NSCLC) represents 80-85% of all lung cancers, being adenocarcinoma and squamous cell carcinoma the most common histologies. At the time of diagnosis, NSCLC occurs in about 25% as stage III. The majority of the patients with clinical stage III presents a mediastinal lymph node involvement described with computed tomography (CT) and/or positron emission tomography (PET). The current and correct approach for this subgroup of patients is multidisciplinary, both for staging and for the therapeutic strategy definition. The diagnostic algorithm is often enriched with minimal invasive (or invasive) techniques able to clearly define the mediastinal involvement. Updated international and national guidelines and recommendations can provide valuable support to the clinician.
The case described concerns the accidental detection of a stage III lung tumour in a 58-year-old man, without major comorbidities. The treatments agreed by a multidisciplinary approach are cisplatin and docetaxel, the surgical resection and the radiotherapy. The initial follow-up (three months after the end of combined treatment) is still negative, with no signs of disease relapse.
Keywords: Non small cell lung cancer; Multidisciplinary management; Stage III disease; Therapy
Multidisciplinary management of non small cell lung cancer (NSCLC) in stage III: clinical case description. Recommendations and state of the art
CMI 2013; 7(1): 5-16
Caso clinico
Disclosure
Gli autori dichiarano di non avere alcun conflitto d’interessi di natura finanziaria
Perché descriviamo questo caso?
Lo scopo di questo articolo è analizzare le diverse tappe diagnostiche e di trattamento nella gestione di un paziente affetto da tumore polmonare non a piccole cellule in stadio III, sottolineando la necessità dell’approccio multidisciplinare, che garantisce il più adeguato inquadramento stadiativo e un corretto trattamento medico-chirurgico con la finalità di ottenere un miglioramento della prognosi
Introduzione
Il tumore del polmone rappresenta la prima causa di morte per neoplasia nei Paesi industrializzati [1]. L’età media dei pazienti all’atto diagnostico è pari a 60 anni e oltre un terzo di nuovi casi continua a essere riscontrato in soggetti di età superiore a 70 anni, sebbene nuovi casi in pazienti giovani siano in aumento [2]. Nei Paesi industrializzati, sia in Europa sia negli Stati Uniti, l’incidenza del tumore del polmone è in diminuzione nel sesso maschile, mentre ha raggiunto un plateau nel sesso femminile. Per il 2012, nell’Unione Europea era previsto un aumento del tasso di mortalità per tumore del polmone nelle donne pari al 7% [3,4]. I tassi di incidenza variano in rapporto alle diverse aree geografiche, essendo in Italia pari a 58/100.000 abitanti per gli uomini e 10,7/100.000 per le donne [5].
Tra i fattori di rischio noti e convalidati vanno sicuramente annoverati il fumo di sigaretta, l’esposizione ad asbesto, arsenico, radon, cromo, berillio, cloruro di vinile e idrocarburi aromatici policiclici. Il tumore polmonare non a piccole cellule (Non Small Cell Lung Cancer, NSCLC secondo la dicitura anglosassone) rappresenta circa l’80-85% di tutti i tumori polmonari.
A sua volta, il NSCLC si suddivide in altri tipi istologici quali l’adenocarcinoma, il carcinoma squamocellulare, il tumore a grandi cellule e il carcinoma adenosquamoso.
Il sistema stadiativo universalmente accettato per il carcinoma polmonare segue il sistema TNM, che assume un valore prognostico, oltre ad avere un importante ruolo nella scelta terapeutica. Il sistema TNM si avvale di tre parametri, quali l’estensione del tumore primario e i suoi rapporti con le strutture circostanti (fattore T), il coinvolgimento linfonodale (fattore N) e le metastasi a distanza (fattore M) (Tabelle I e II).
|
Classificazione |
Descrizione |
|
T |
Tumore primitivo |
|
Tx |
Il tumore primitivo non può essere definito, oppure ne è provata l’esistenza per la presenza di cellule tumorali nell’escreato o nel liquido di lavaggio bronchiale, ma non è visualizzato con le tecniche di imaging o con la broncoscopia |
|
T0 |
Assenza di evidenza del tumore primitivo |
|
Tis |
Carcinoma in situ |
|
T1 |
Tumore di 3 cm o meno nella sua dimensione massima, circondato da polmone o da pleura viscerale; alla broncoscopia non si rilevano segni di invasione prossimalmente al bronco lobare (bronco principale non interessato da malattia) |
|
T1a |
Tumore non superiore a 2 cm nel diametro maggiore |
|
T1b |
Tumore superiore a 2 cm, ma non superiore a 3 cm nel diametro maggiore |
|
T2 |
Tumore superiore a 3 centimetri, ma non superiore a 7 cm nel diametro maggiore o tumore con una qualunque delle seguenti caratteristiche:
|
|
T2a |
Tumore superiore a 3 cm, ma non superiore a 5 cm nel diametro maggiore |
|
T2b |
Tumore superiore a 5 cm, ma non superiore a 7 cm nel diametro maggiore |
|
T3 |
Tumore superiore a 7 cm nel diametro maggiore o che invade direttamente alcune delle seguenti strutture: parete toracica (inclusi i tumori del solco superiore), diaframma, nervo frenico, pleura mediastinica, pericardio parietale; o tumore del bronco principale a meno di 2 cm distalmente alla carina, ma senza interessamento della carina stessa; o associato ad atelettasia o polmonite ostruttiva del polmone in toto, o nodulo separato nel medesimo lobo del tumore primitivo. |
|
T4 |
Tumore di qualunque dimensione, che invade direttamente alcune delle seguenti strutture: mediastino, cuore, grandi vasi, trachea, nervo laringeo ricorrente, esofago, corpo vertebrale, carina; nodulo/i separato/i in un lobo ipsilaterale, ma differente rispetto al lobo del tumore primitivo |
|
N |
Linfonodi regionali |
|
Nx |
I linfonodi regionali non possono essere valutati |
|
N0 |
Assenza di metastasi nei linfonodi regionali |
|
N1 |
Metastasi nei linfonodi peribronchiali e/o ilari ipsilaterali e intrapolmonari, incluso il coinvolgimento per estensione diretta |
|
N2 |
Metastasi nei linfonodi mediastinici e/o sottocarenali ipsilaterali |
|
N3 |
Metastasi nei linfonodi mediastinici controlaterali, ilari controlaterali, scaleni ipsi- o contro-laterali, sovraclaveari |
|
M |
Metastasi a distanza |
|
M0 |
Assenza di metastasi a distanza |
|
M1 |
Presenza di metastasi a distanza |
|
M1a |
Noduli tumorali in un lobo controlaterale rispetto al tumore primitivo; tumore con noduli pleurici o versamento pleurico e/o pericardico di natura neoplastica |
|
M1b |
Metastasi a distanza |
Tabella I. Classificazione per il carcinoma polmonare, TNM 7a edizione [6]
|
Stadi |
T |
N |
M |
|
Carcinoma occulto |
TX |
N0 |
M0 |
|
Stadio 0 |
Tis |
N0 |
M0 |
|
Stadio IA |
T1a, b |
N0 |
M0 |
|
Stadio IB |
T2a |
N0 |
M0 |
|
Stadio IIA |
T2b |
N0 |
M0 |
|
T1a, b |
N1 |
M0 |
|
|
T2a |
N1 |
M0 |
|
|
Stadio IIB |
T2b |
N1 |
M0 |
|
T3 |
N0 |
M0 |
|
|
Stadio IIIA |
T1a, b, T2a, b |
N2 |
M0 |
|
T3 |
N1, N2 |
M0 |
|
|
T4 |
N0, N1 |
M0 |
|
|
Stadio IIIB |
T4 |
N2 |
M0 |
|
Qualunque T |
N3 |
M0 |
|
|
Stadio IV |
Qualunque T |
Qualunque N |
M1 |
Tabella II. Raggruppamento in stadi del tumore al polmone
La distribuzione epidemiologica secondo la stadiazione clinica all’atto della diagnosi è la seguente: 25% stadi I e II, 10% stadio IIIA, 15% stadio IIIB e 50% stadio IV (o metastatico) (Tabelle III e IV).
|
1 anno (%) |
5 anni (%) |
Confronto |
HR |
p value |
|
|
N1 |
77 |
38 |
vs pN0 |
1,63 |
< 0,0001 |
|
N2 |
69 |
22 |
vs pN1 |
1,51 |
< 0,0001 |
|
N3 |
49 |
6 |
vs pN2 |
1,81 |
< 0,0001 |
Tabella III. Correlazione tra sopravvivenza e stato linfonodale dopo trattamento chirurgico radicale nello stadio III [7]
|
Numero di linfonodi coinvolti |
5 anni (%) |
p value |
|
Singolo linfonodo nella zona N1 |
48% |
|
|
Multipli linfonodi nella zona N1 |
35% |
< 0,0090 |
|
Singolo linfonodo nella zona N2 |
34% |
0,7137 |
|
Multipli linfonodi nella zona N2 |
20% |
< 0,0001 |
Tabella IV. Correlazione tra sopravvivenza e numero di linfonodi coinvolti dopo trattamento chirurgico radicale nello stadio III [7]
La maggior parte dei pazienti in stadio clinico IIIA presenta un interessamento linfonodale mediastinico (N2), che viene descritto dalla tomografia computerizzata (TC) del torace come un aumento del diametro dell’asse minore in misura maggiore o uguale a 1 cm e/o dalla tomografia a emissione di positroni (PET) come accumulo del radio composto in tali sedi.
I pazienti affetti da NSCLC in stadio IIIA possono beneficiare di un approccio chirurgico associato o meno a trattamenti chemio- e/o radioterapici. Al contrario, i pazienti in stadio IIIB sono esclusi dal trattamento chirurgico radicale.
La prognosi dei pazienti affetti da NSCLC in stadio IIIA operati radicalmente è strettamente correlata allo stato linfonodale e al numero dei linfonodi coinvolti secondo la descrizione chirurgica [7].
Caso clinico
Anamnesi
A.T. è un uomo di 58 anni in buone condizioni generali, privo di comorbilità rilevanti.
Dall’anamnesi si evince esclusivamente un’ipertensione arteriosa diagnosticata cinque anni prima, in trattamento e in buon compenso farmacologico con ACE-inibitori e un pregresso intervento di colecistectomia per colelitiasi all’età di 43 anni. È inoltre un moderato fumatore di circa 10 sigarette/die da 35 anni (ossia 17,5 pack/year), con un’esposizione lavorativa da circa 10 anni, e tuttora attiva, a polveri sottili e solventi per vernici. Durante gli accertamenti diagnostici effettuati in previsione di un intervento ortopedico di meniscectomia, esegue una radiografia del torace con riscontro di un addensamento polmonare tondeggiante a livello del campo medio apicale destro. All’esame obiettivo, come unico reperto si segnala la riduzione del murmure vescicolare ai campi medio e superiore del polmone di destra, in assenza di rumori polmonari aggiunti; nei restanti ambiti si rileva respiro aspro, ma presente. All’esame obiettivo cardiaco e addominale non vi sono elementi di rilievo. I parametri vitali basali rilevati sono pressione arteriosa omerale (PAO) = 130/85 mmHg, saturazione ossigeno = 96% in aria ambiente, frequenza cardiaca = 70 battiti al minuto (ritmica) e frequenza respiratoria = 13 atti al minuto.
Iter diagnostico

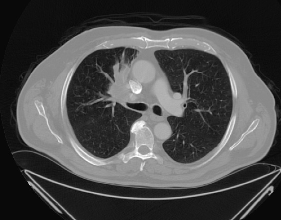
Figura 1. Valutazione strumentale alla diagnosi con TC del torace con mezzo di contrasto: neoformazione in sede peri-ilare destra sospetta per lesione eteroproduttiva
Il paziente, su indicazione dello stesso ortopedico, esegue una visita pneumologica, durante la quale viene posta indicazione a eseguire tomografia computerizzata (TC) del torace con mezzo di contrasto, che evidenzia una lesione in sede peri-ilare destra di circa 65 × 50 mm, a margini irregolari, intrascissurale, di sospetta natura evolutiva, con adenopatie di diametro moderatamente incrementato in sede ilare, paratracheale destra e sottocarenale (diametro compreso tra 12 e 20 mm) sospette per coinvolgimento neoplastico (Figura 1).
In corso di esecuzione dell’esame TC del torace il collega radiologo, visionata la suddetta lesione polmonare, consulta telefonicamente il medico pneumologo di riferimento e viene concordato di estendere le scansioni anche al cranio e all’addome superiore. L’esame TC dell’addome e del cranio non evidenziano secondarietà e, per una migliore definizione del quadro mediastinico, il medico pneumologo pone indicazione a una tomografia a emissione di positroni PET-TC. Quest’ultima conferma l’anomala fissazione di radiofarmaco a livello del lobo polmonare superiore destro con SUV (Standardized Uptake Value) pari a 8,5, in assenza di anomale captazioni a livello dei linfonodi ilo-mediastinici e delle altre regioni corporee esaminate, comprese le strutture ossee. In considerazione della centralità della lesione viene effettuato esame fibrobroncoscopico (FBS) a scopo diagnostico: macroscopicamente il sistema bronchiale appare pervio, in assenza di alterazioni della mucosa o lesioni vegetanti. Viene praticata TBNA (Trans-Bronchial Needle Aspiration) a livello del linfonodo sottocarenale: l’esame citologico non evidenzia la presenza di cellule neoplastiche. L’iconografia fornisce pertanto le seguenti stadiazioni cliniche: cT2b cN2 cM0 (stadio IIIA) mediante l’esame TC, cT2b cN0 cM0 (stadio IIA) secondo l’esame PET (peraltro supportato dalla TBNA sopra riportata).
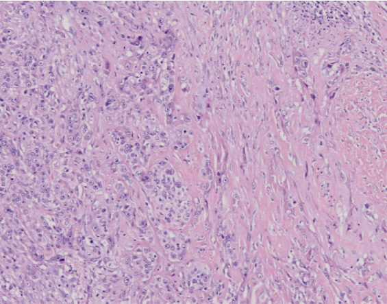
In corso di riunione multidisciplinare, nella quale sono presenti il medico pneumologo (che in questo caso fa parte di una divisione di oncologia toracica), il chirurgo toracico e il radioterapista si discute il caso alla luce dei dati TAC, PET e broncoscopici e si pone indicazione a eseguire mediastinoscopia. Tale procedura ha permesso la campionatura di 5 linfonodi totali, 3 in sede pretracheale destra e 2 in sede paratracheale destra, risultati all’esame istologico sede di metastasi di adenocarcinoma scarsamente differenziato in 4 casi su 5 (Figura 2).
La malattia risulta quindi inquadrabile come cT2b yN2 cM0, stadio IIIA, secondo la 7a stadiazione TNM [6].

Figura 2. Esame istologico della stazione linfonodale
Iter terapeutico
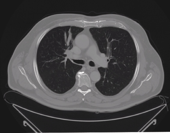
Alla luce del dato diagnostico ottenuto, il caso viene quindi discusso per definire il miglior approccio terapeutico e viene posta collegialmente indicazione al trattamento chemioterapico con intento neoadiuvante secondo lo schema cisplatino e docetaxel, con rivalutazione di malattia dopo 3 cicli, che il paziente ha eseguito in assenza di effetti collaterali di grado moderato-severo, esclusa l’alopecia completa e fatta eccezione per la neutropenia di grado 3 (870 neutrofili/mm3 totali) al nadir del secondo ciclo, non febbrile, che non ha richiesto alcuna terapia profilattica domiciliare. Il paziente ha inoltre segnalato nausea di grado 1 nei due giorni successivi alla somministrazione dei farmaci del primo ciclo e una progressiva astenia a decorrere dal secondo ciclo di trattamento sino a un massimo di grado 2, protrattasi poi fino al termine del terzo ciclo. L’esame TC torace, addome superiore e cranio con mezzo di contrasto di rivalutazione ha evidenziato una risposta parziale al trattamento (secondo i criteri RECIST 1.1) (Figura 3) [8], conseguendo una riduzione dimensionale delle linfoadenopatie ilo-mediastiniche e della lesione primitiva in misura superiore al 30%.

Figura 3. Ristadiazione mediante TC dopo 3 cicli di trattamento neoadiuvante
La ridiscussione collegiale del caso ha messo i colleghi chirurghi toracici nella condizione di porre indicazione a resezione radicale. Il paziente viene quindi sottoposto, previa valutazione funzionale cardio-respiratoria, a intervento di bilobectomia destra e linfadenectomia sistematica. Tale procedura è stata eseguita con successo, in assenza di complicanze maggiori (si segnala unicamente la comparsa in seconda giornata di fibrillazione atriale ad alta penetranza, risoltasi dopo terapia endovenosa con amiodarone), con una buona ripresa globale e respiratoria da parte del paziente. L’esame istologico definitivo ha documentato la presenza all’interno del lobo polmonare di un adenocarcinoma moderatamente differenziato (G2), diametro massimo di 30 mm, margini di resezione indenni (R0), caratterizzato da focolai di invasione vascolare, 4 linfonodi positivi su 19 totali asportati, di cui 1 paratracheale inferiore, 1 pretracheale e 2 sottocarenali. La malattia è stata pertanto inquadrata come stadio pT1b pN2 pM0, stadio IIIA.
Da valutazione multidisciplinare postoperatoria emerge l’indicazione a trattamento radiante con intento adiuvante. Sono stati quindi somministrati 50 Gy totali con frazionamento convenzionale (2 Gy/die) mediante tecnica conformazionale a un volume bersaglio rappresentato dalle stazioni ilo-mediastiniche coinvolte dalla malattia e da quelle più prossime per contiguità.
Dopo un mese dal termine del trattamento radioterapico il paziente segnala tosse e un peggioramento della dispnea e la radiografia del torace in due proiezioni segnala la presenza di polmonite post-attinica, per la quale si è impostata terapia steroidea ad alto dosaggio. Dopo 20 giorni avviene un netto miglioramento del quadro clinico con progressiva scomparsa della sintomatologia respiratoria.
Decorso clinico
Per A.T. iniziavano quindi controlli di follow-up che prevedono una visita clinica ed esecuzione di TC con cadenza trimestrale e una valutazione ossea con scintigrafia ossea total body una volta all’anno per i primi due anni. Successivamente i controlli potranno essere dilazionati in assenza di segni e sintomi di recidiva locale e/o a distanza.
A distanza di 3 mesi dal termine della terapia il paziente sta bene, le prove di funzionalità respiratoria post-chirurgia non hanno posto in evidenza alterazioni significative rispetto al quadro iniziale, l’esame TC total body con mdc non documenta segni di recidiva locale o secondarismi a distanza; l’unico reperto da segnalare è la presenza di esiti di terapia attinica. Il paziente riferisce di essere tornato a lavorare, di non aver dolore e di eseguire le sue normali attività quotidiane senza limitazioni.
Considerazioni diagnostiche e terapeutiche
Nel caso descritto la valutazione discordante sul coinvolgimento linfonodale mediastinico tra quadro iconografico (TC, immagini PET) e negatività derivante dall’agobiopsia in corso di fibrobroncoscopia ha portato, dopo valutazione interdisciplinare, alla scelta di eseguire ulteriori accertamenti. La miglior tecnica mini-invasiva disponibile presso il nostro centro è la mediastinoscopia, non avendo il personale operante presso l’endoscopia bronchiale esperienza specifica nell’impiego dell’EndoBronchial UltraSound (EBUS). La mediastinoscopia ha permesso di classificare la malattia linfonodale come N2 e una corretta definizione dell’impegno mediastinico è fondamentale per un buon inquadramento prognostico e terapeutico. Per lo studio della stadiazione ossea si è ritenuto sufficiente il quadro di negatività PET (già disponibile per questo paziente) sulla base della sua miglior specificità e sensibilità rispetto alla scintigrafia total body. Quindi inizialmente il paziente è stato classificato come yT2b N2 yM0.
A.T. ha beneficiato di un trattamento chemioterapico neoadiuvante conseguendo una buona risposta sulle dimensioni del T (risposta parziale secondo criteri RECIST 1.1), tuttavia non ha mostrato un downstaging effettivo. Alla rivalutazione dopo 3 cicli il chirurgo toracico ha posto indicazione a un intervento di bilobectomia con linfoadenectomia sistemica. L’esito istologico conferma la diagnosi di adenocarcinoma, grado G2 e lo stadio risulta essere IIIA, pT1b pN2 pM0. Tra le complicanze peri- e postoperatorie va unicamente segnalata la comparsa di fibrillazione atriale, risoltasi con terapia medica. La radioterapia adiuvante è stata effettuata sulla base della stadiazione linfonodale definitiva e con l’intento di conseguire un miglior controllo regionale della malattia.
Domande che il medico dovrebbe porsi trovandosi di fronte a questo caso
Discussione
Il 25% dei pazienti affetti da NSCLC viene diagnosticato in stadio III. Lo stadio III comprende una serie eterogenea di patologie e la prognosi di questi pazienti è strettamente correlata allo stato linfonodale di malattia. Tale coinvolgimento varia dalla sua negatività (N0), alla presenza di metastasi ai linfonodi peribronchiali e/o ilari ipsilaterali (N1), alla positività dei linfonodi mediastinici omolaterali e/o controlaterali (N2) sino al coinvolgimento dei linfonodi ilari o mediastinici controlaterali, scalenici ipsi- o controlaterali e sopraclaveari (N3). La terapia dei pazienti in stadio III si basa sul coinvolgimento linfonodale e in particolare alle stazioni positive (peribronchiali versus mediastinici) e al numero di linfonodi positivi.
Nello stadio cIIIA N0-1 la chemioterapia neoadiuvante non è raccomandata se non nell’ambito di studi clinici, l’indicazione primaria è quella dell’intervento chirurgico. La prognosi e l’approccio terapeutico dei pazienti affetti da NSCLC allo stadio IIIA N2 variano significativamente a seconda dell’interessamento linfonodale mediastinico: i pazienti con linfonodi clinicamente negativi, ma positivi al solo esame istologico (pN2, 20% circa) dopo chirurgia hanno una sopravvivenza a 5 anni pari al 20-25%, mentre i pazienti con esteso interessamento mediastinico (cN2, N2 multistazionale e/o bulky), che sono l’80% circa della casistica, hanno una sopravvivenza a 5 anni pari al 3-9% dopo resezione radicale. Tale dati sottolineano la necessità di un approccio terapeutico da definirsi caso per caso attraverso la condivisione fra chirurgo, pneumoncologo e radioterapista. Nei pazienti in stadio cN2 minimo (dove per cN2 minimo si definisce una malattia linfonodale limitata o con coinvolgimento microscopico o di monostazione e/o con diffusione intracapsulare), è fortemente raccomandato un approccio standard con induzione chemioterapica con doppietta a base di platino, seguita da una resezione radicale. Qualora le condizioni cliniche o funzionali cardiorespiratorie del paziente o la situazione di malattia dopo induzione non consentano l’intervento chirurgico, viene allora discussa l’opzione radioterapica, che dovrebbe avere un intento curativo. Nei pazienti in stadio cN2 bulky, la chemioradioterapia deve rappresentare lo standard terapeutico [9-15]. La modalità di somministrazione dovrebbe avvenire in concomitanza, sebbene in alcuni casi si persegua un approccio sequenziale (per motivi logistico-organizzativi oppure in presenza di voluminosi campi di irradiazione o ancora in caso di condizioni cliniche che controindichino la modalità concomitante, come nello stadio IIIB) [16].
Come descritto precedentemente, nei casi di malattia operabile in stadio III (cIIIA) un quarto dei pazienti per i quali la stadiazione linfonodale preoperatoria risulti negativa presentano poi una positività all’atto dell’intervento [17]. Per tale motivo nasce l’esigenza di una corretta stadiazione a livello linfonodale, soprattutto per quei casi in cui vi sia discordanza fra le tecniche strumentali impiegate (TC, PET, FBS). Qualora vi sia il sospetto di una classificazione N2 è indispensabile accertare il coinvolgimento linfonodale per fornire una corretta indicazione prognostica e per pianificare la miglior strategia terapeutica: a tal fine vi sono diverse procedure utilizzabili.
Negli ultimi anni la TBNA ha subìto un ulteriore importante progresso, grazie all’introduzione dell’ecobroncoscopio. Si tratta di un broncoscopio flessibile dotato alla sua punta di una sonda ecografica lineare che consente la visualizzazione ultrasonografica dei linfonodi peritracheobronchiali e permette di osservare in tempo reale l’ago nel momento in cui penetra nel bersaglio. Fin dai primi studi la TBNA sotto guida ecoendoscopica (EBUS-TBNA) ha mostrato una sensibilità superiore al 90% che, al contrario della TBNA tradizionale, non diminuisce per linfonodi di piccole dimensioni. Un limite dell’EBUS-TBNA è quello di non poter campionare i linfonodi non adiacenti alle vie aeree. Al fine di ovviare a questa limitazione e per completare le possibilità di studio endoscopico del mediastino, è stato proposto l’impiego dell’approccio transesofageo che consente di campionare linfonodi delle stazioni mediastiniche sinistre, sottocarinali, periesofagee e del ligamento polmonare. L’approccio transesofageo ai linfonodi mediastinici può essere effettuato con l’utilizzo di ecoesofagoscopi (EUS-FNA) o anche utilizzando l’ecobroncoscopio introdotto in esofago. Tale metodica si sta progressivamente diffondendo tra gli pneumologi interventistici, ma non tutti i centri hanno la possibilità di utilizzarla [15].
La mediastinoscopia è una tecnica chirurgica mini-invasiva che prevede una breve ospedalizzazione. Tale metodica permette di raggiungere le stazioni linfonodali paratracheali superiori e inferiori, sottocarenali e pretracheali (box).
Obiettivi della mediastinoscopia nella gestione del NSCLC [18]
Le stazioni para-aortiche e della finestra aorto-polmonare sono invece accessibili mediante video-toracoscopia (VATS) o mediastinotomia anteriore sinistra. VATS e altre metodiche endoscopiche possono raggiungere i linfonodi paraesofagei e quelli del territorio del ligamento polmonare inferiore.
La mediastinoscopia presenta nella stadiazione mediastinica una sensibilità del 78% (che diventa pari al 90% in caso di video-mediastinoscopia) e una specificità del 100% con tassi di morbilità e mortalità decisamente bassi, pari a 2% e 0,08%, rispettivamente [19-21]. Tale metodica può quindi essere presa in considerazione e valutata collegialmente in caso di pazienti con stato linfonodale dubbio, per garantire loro una migliore indicazione prognostica e una terapia appropriata.
I farmaci utilizzati nel trattamento neoadiuvante nel tumore del polmone con indicazione citoriduttiva sono doppiette a base di derivati del platino unitamente a un farmaco di terza generazione, quale vinorelbina, gemcitabina, docetaxel o paclitaxel [22].
La scelta del tipo di resezione chirurgica dipende dalla sede e dalle dimensioni della neoplasia e dalla riserva respiratoria del paziente. Viene eseguita una valutazione cardiorespiratoria al fine di escludere i soggetti che presentano un rischio operatorio eccessivo o che si prevede non risulteranno autonomi dal punto di vista respiratorio. Esistono a tal proposito in letteratura linee guida di riferimento a cui si rimanda, trattandosi di argomenti squisitamente di natura chirurgica e funzionale (respiratoria e cardiaca) [23-25].
La mortalità e la morbilità della chirurgia polmonare sono correlate alle condizioni generali del paziente, alla sua età, alle comorbilità, all’entità della resezione e a eventuali trattamenti neoadiuvanti effettuati [26]. Tuttavia, negli ultimi anni, diversi studi clinici hanno evidenziato una riduzione dei tassi di mortalità e morbilità della chirurgia polmonare, attualmente l’1-2% per le lobectomie e meno del 6% per le pneumonectomie [27-29]. Nei pazienti inquadrati come N2 e sottoposti a chemioterapia di induzione, il trattamento chirurgico dovrebbe essere rappresentato dalla lobectomia al fine di ridurne le possibili complicanze [30,31] (box).
Possibili complicanze post-operatorie nel NSCLC dopo trattamento di induzione (incidenza decrescente) [32,33]
Nel caso clinico discusso in questo articolo (stadio IIIA N2 bulky) l’indicazione secondo le linee guida nazionali e internazionali [15,34] sarebbe stata quello di un trattamento chemio-radioterapico con intento neoadiuvante, tuttavia l’approccio multidisciplinare e il giudizio da parte del chirurgo toracico del possibile intervento di bilobectomia (in ragione della posizione anatomica della lesione primitiva) dopo induzione hanno condotto in questo caso all’esclusione del trattamento radioterapico, con l’intento di ridurre i rischi di mortalità operatoria e perioperatoria, atteggiamento condiviso da dati di letteratura [35,36].
Negli stati localmente avanzati ove non sia stato effettuato un trattamento neoadiuvante (stadio III N0-1), la chemioterapia adiuvante offre un vantaggio in termini di tempo libero da progressione e di sopravvivenza globale, con beneficio assoluto a 5 anni che varia dal 2% al 4,5%, a seconda degli studi. Le principali linee guida internazionali concordano nel suggerire che una chemioterapia contenente cisplatino somministrata per 4 cicli di trattamento debba essere proposta a pazienti con NSCLC operati radicalmente e risultanti come stadi pII e pIII, in buone condizioni generali, con performance status di 0-1, senza significative comorbilità e che abbiano altresì avuto una buona ripresa fisica dopo l’invento chirurgico [15,37,38].
Per quanto riguarda la radioterapia adiuvante nei pazienti affetti da NSCLC allo stadio IIIA N2 radicalmente operati, non è possibile formulare una raccomandazione specifica, anche se diversi lavori suggeriscono un possibile effetto positivo della radioterapia adiuvante nello stadio III anche dopo trattamento chemioterapico adiuvante [39-42]. Ad oggi, pur non essendo disponibili evidenze solide in tal senso, nella pratica clinica è frequentemente applicato il suo uso, mediante la somministrazione di una dose totale compresa fra 50-54 Gy, con frazionamento convenzionale (1,8-2 Gy/die) mediante tecnica conformazionale. L’impiego di tecniche radioterapiche conformazionali consente di minimizzare il rischio di complicanze e sequele tardive, soprattutto in pazienti con funzionalità spesso già compromessa. Studi attualmente in corso definiranno meglio il suo ruolo in questo specifico setting di pazienti. Più complicata è la valutazione della radioterapia dopo chemioterapia neoadiuvante, con mancanza di dati definitivi sull’efficacia sulle sue indicazioni [43,44]. In ogni caso, un ruolo decisivo nelle scelte rimane la valutazione multidisciplinare del singolo paziente, il suo performance status, il numero di linfonodi positivi, l’età e le sue comorbilità.
Nella malattia localmente avanzata IIIB, pazienti con buon performance status e con minima perdita di peso (meno del 5% nei tre mesi precedenti la diagnosi di neoplasia polmonare) e assenza di metastasi sopraclaveari beneficiano di una sopravvivenza superiore se sottoposti a un trattamento combinato chemio-radioterapico e vanno quindi accuratamente valutati per questo tipo di approccio terapeutico. Il trattamento chemio-radioterapico può essere concomitante o sequenziale; ove fattibile, il trattamento concomitante risulta essere superiore al trattamento sequenziale. Il trattamento combinato di chemio-radioterapia, con una dose minima di 60 Gy in frazionamento convenzionale, va pertanto considerato il trattamento standard del NSCLC in stadio localmente avanzato, seppure non esista un parere unanime in merito al miglior schema chemioterapico da impiegare (combinazione, dosaggi, numero di cicli) e alla modalità di integrazione delle due metodiche (inizio della radioterapia sin dal 1° ciclo o dopo 1-2 cicli) [45]. Tuttavia, i profili di tossicità derivanti dall’approccio concomitante ne limitano fortemente l’impiego routinario, imponendo un’accurata selezione clinica dei pazienti da sottoporre a questa tipologia di trattamento, anche in termini di volumi tumorali da irradiare, di vincoli di dose radioterapica da rispettare per gli organi a rischio (polmone sano in particolare) e di prove di funzionalità respiratoria. Pazienti non idonei al trattamento chemio-radioterapico possono essere valutati per il solo trattamento radiante a dosi radicali [15].
Lo schema chemioterapico maggiormente utilizzato nel trattamento concomitante, indipendentemente dall’istologia, è quello a base di cisplatino ed etoposide [46]. Gli studi condotti in questo stadio di malattia che valutavano l’impiego di farmaci biologici (quali gefitinib e cetuximab) così come l’impiego di nuovi farmaci in aggiunta al platino, concomitanti alla radioterapia, hanno portato a risultati discordanti in termini di efficacia ed elevati tassi di tossicità locale [47-49].
Ad oggi, il trattamento del NSCLC in stadio III deve sicuramente avvalersi di un approccio multidisciplinare: ogni caso va valutato accuratamente per pianificare al meglio l’algoritmo terapeutico, che può prevedere l’integrazione di chirurgia, chemioterapia e radioterapia. Attualmente le linee guida e le raccomandazione delle società internazionali e nazionali di ricerca (NCCN guidelines [34], ESMO guidelines [38], nuove linee guida AIOM [15]) possono fornire un valido sostegno al clinico.
Punti chiave
Algoritmo diagnostico nel tumore del polmone in stadio III [15]

Algoritmo terapeutico nel tumore del polmone in stadio III [15]

c = stadio clinico; N = stazioni linfonodali regionali; NSLSC = Non Small Cell Lung Cancer; PET = tomografia a emissione di positroni; RMN = risonanza magnetica nucleare; SCLC = Small Cell Lung Cancer; SOTB = scintigrafia ossea total body; T = tumore primitivo; TC = tomografia computerizzata
Stadio I: T1a, b N0 M0; T2a N0 M0
Stadio II: T2b N0 M0; T1a, b N1 M0; T2a N1 M0; T2b N1 M0; T3 N0 M0
Stadio III: T1a, b o T2a, b N2 M0; T3 N1-2 M0; T4 N0-1 M0; T4 N2 M0; Qualunque T N3 M0
Bibliografia