Un caso di sindrome da produzione ectopica di ACTH
Monica Cevenini 1, Elena Guidetti 1, Maria Camilla Fabbri 1, Eleonora Galassi 1, Paola Tomassetti 1, Roberto Corinaldesi 1
1 Dipartimento di Medicina Clinica. Università degli Studi di Bologna, Ospedale Policlinico S. Orsola Malpighi, via Massarenti 9, 40138, Bologna, Italia
Abstract
We report the case of a 48-year-old woman, with a rapidly progressing ACTH neuroendocrine tumour of the pancreas (PNET) and multiple liver metastases. The patient had previously suffered from a peptic ulcer which was responsive to PPI inhibitors and hypertension which was poorly controlled by therapy. Admitted to the hospital for severe asthenia and abdominal pain, she was diagnosed with poorly differentiated PNET with liver metastases, which were positive for synaptophysin, cytokeratin 7 and 9 and neuron specific enolase (NSE). Octreoscan scintigraphy was positive for somatostatin receptors in the pancreas and in two liver lesions. A rapidly progressive Cushing’s syndrome developed, presenting with the classical physical symptoms, hypokalemia and Lysteria monocytogenes meningitis. Ectopic ACTH production was confirmed and eventually the patient died from a septic shock within two months. The case reported focuses on the malignity and the rapid progression of an ACTH-producing PNET and calls attention to the possible fatal progression of these cases.
Keywords: Ectopic adrenocorticotropic hormone syndrome; Cushing’s syndrome; NETs; Pancreatic neuroendocrine tumours
A case of ectopic ACTH secretion
CMI 2012; 6(Suppl 1): 17-22
Caso clinico
Perché descriviamo questo caso
Il caso clinico da noi descritto è un esempio di tumore neuroendocrino pancreatico a secrezione di ACTH. Riteniamo che sia di notevole interesse sia per la rarità di tale malattia, sia per la modalità improvvisa e paradigmatica con cui la sindrome di Cushing si è manifestata nella nostra paziente
Introduzione
La Sindrome di Cushing endogena è una patologia che si riscontra più frequentemente nelle donne e può essere suddivisa in sindrome ACTH-dipendente e ACTH-indipendente (Tabella I).
La forma ACTH-dipendente ricopre l’80% dei casi: di questi, l’80% è dato da un adenoma ipofisario secernente ACTH (malattia di Cushing), mentre il restante 20% da una neoplasia non ipofisaria secernente ACTH (sindrome da produzione ectopica) [1-3].
La forma ACTH-indipendente, invece, è dovuta, nella maggior parte dei casi, a un adenoma surrenalico (60%) o a un carcinoma (40%) monolaterale; raramente è secondaria a una iperplasia surrrenalica macronodulare [1,2,4].
La sindrome di Cushing causata dalla secrezione di ACTH ectopico è una delle più comuni sindromi endocrine paraneoplastiche; nella metà dei casi è determinata da un tumore a piccole cellule del polmone, nella restante parte da tumori neuroendocrini del polmone, del timo, del pancreas, da un carcinoma midollare della tiroide o dal feocromocitoma. Nell’8-19% dei casi il tumore primitivo rimane occulto [1,2,5].
|
Tipo di sindrome di Cushing |
Cause |
Prevalenza in percentuale rispetto al tipo |
|
ACTH-dipendente (80%) |
Adenoma ipofisario secernente ACTH (malattia di Cushing) |
70% |
|
Tumore non ipofisario secernente ACTH (sindrome da produzione ectopica) |
10% |
|
|
ACTH-indipendente (20%) |
Adenoma surrenalico |
10% |
|
Carcinoma surrenalico monolaterale |
5% |
|
|
Iperplasia surrenalica macronodulare |
< 2% |
|
|
Malattia pigmentata nodulare surrenalica |
< 2% |
|
|
Sindrome di McCune-Albright |
< 2% |
Tabella I. Tipologie di sindrome di Cushing, cause e prevalenze
Caso clinico

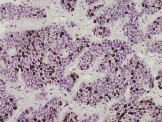
Figura 1. Biopsia di tessuto epatico: valutazione dell’indice di proliferazione. Ki67 = 55,9% (NEC, G3)
Una donna di 48 anni viene ricoverata in ambiente ospedaliero nell’agosto del 2011 per la presenza, da circa un mese, di astenia marcata, gonfiore addominale e incremento ponderale. L’anamnesi patologica remota evidenzia un’ipertensione arteriosa scarsamente controllata dalla terapia farmacologica e una storia di ulcera gastrica, in terapia con inibitori di pompa protonica con risoluzione del quadro.
Durante il ricovero vengono effettuati esami ematochimici con riscontro di:
All’esame obiettivo non sono presenti alterazioni di rilievo. Per ricercare la causa dell’anemia vengono eseguite una esofagogastroduodenoscopia, che rileva una gastrite cronica in fase di lieve attività, e una pancolonscopia, risultata nella norma. Una ecotomografia dell’addome mostra la presenza di una massa in sede cefalo-pancreatica e di multiple formazioni nodulari a livello del parenchima epatico. La TC torace-addome conferma il quadro addominale e non evidenzia alterazioni patologiche a livello toracico.
Per meglio caratterizzare la massa tumorale viene effettuata una biopsia epatica con riscontro di tessuto infiltrato da carcinoma neuroendocrino scarsamente differenziato (NEC con Ki67 = 55,9% secondo WHO 2010 [6]) (Figura 1), positivo per sinaptofisina, enolasi neuronospecifica (NSE), cromogranina A (CgA) e citocheratina 7 e 9 (Figura 2).
Il dosaggio dei marcatori aspecifici di neoplasia neuroendocrina mostra un marcato incremento dell’NSE (NSE = 235 ng/ml, vn < 12,5 ng/ml) e della CgA sierica (CgA sierica = 354 ng/ml, vn < 35 ng/ml) e una scintigrafia con OctreoScan una debole positività per i recettori della somatostatina (SSTR) a livello della lesione pancreatica e di solo due lesioni epatiche.
A novembre dello stesso anno la paziente viene nuovamente ricoverata per l’insorgenza di uno stato settico secondario a meningite da Listeria monocytogenes e per multipli focolai bronco-pneumonici da Staphylococcus aureus meticillino-resistente. Gli esami ematochimici rilevano una severa leucopenia e ipokaliemia, quest’ultima scarsamente responsiva alla terapia con potassio per via parenterale. Si osserva inoltre la comparsa di un quadro clinico caratterizzato da incremento glicemico e modificazione dell’obiettività con comparsa di cute bronzina, ittero, ipertricosi, alterata distribuzione del pannicolo adiposo sottocutaneo con gibbo.

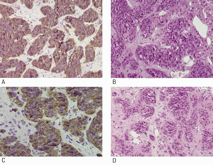
Figura 2. A e B: biopsia di nodulo non captante alla PET con 68Gallio con marcatura per sinaptofisina (A) e colorazione con ematossilina-eosina (B); C e D: biopsia di nodulo captante alla PET con 68Gallio con marcatura per sinaptofisina (C) e colorazione con ematossilina-eosina (D)
L’elevata suscettibilità alle infezioni, l’ipertensione, l’ipopotassiemia, il riscontro di elevati livelli glicemici e un caratteristico habitus, in presenza di una neoplasia endocrina pancreatica pongono il sospetto di sindrome di Cushing da secrezione ectopica di ACTH. Per confermare tale sospetto viene effettuato il dosaggio degli ormoni corticotropi con riscontro di elevati livelli di ACTH (ACTH = 338 pg/ml, vn = 5-60 pg/ml), di cortisolo circolante (cortisolo circolante > 630 ng/ml, vn = 62-194 ng/ml) e di cortisolo libero urinario (cortisolo libero urinario > 630 mg/die, vn = 36-137 mg/die). Successivamente viene eseguita una nuova valutazione immunoistochimica su tessuto tumorale che evidenzia una forte positività per cellule secernenti ACTH, confermando quindi definitivamente la diagnosi di neoplasia neuroendocrina a produzione di ACTH.
A novembre del 2011 l’instaurarsi di uno stato di shock settico determina il decesso della paziente per arresto cardio-circolatorio.
Discussione
I tumori neuroendocrini del pancreas (PNET) sono neoplasie rare, rappresentando il 5-7% di tutti i tumori neuroendocrini (NET) e meno del 3% dei tumori pancreatici [7]. I tumori non funzionanti costituiscono il 90% di tali neoplasie, quelli funzionanti il 10%.
I PNET funzionanti sono costituiti da [8]:
I PNET secernenti ACTH sono neoplasie estremamente rare: rappresentano infatti solo l’1,2% dei PNET e costituiscono il 15% dei casi di sindromi da ACTH ectopico [9].
Si presentano più frequentemente in donne adulte [10] e nella maggior parte dei casi sono neoplasie ben differenziate; solo in una piccola parte sono tumori scarsamente differenziati [11-13]. Si tratta di neoplasie maligne con comportamento aggressivo; alla diagnosi spesso presentano metastasi a linfonodi, fegato, reni, tiroide, ossa e peritoneo. In un solo caso sono state descritte metastasi ovariche [14].
A causa della rapida progressione di malattia, la prognosi è negativa, con un tasso di sopravvivenza a 2 e 5 anni rispettivamente del 40% e del 16% [15]. In queste neoplasie la sindrome può presentarsi con un decorso acuto, rapidamente progressivo, o cronico.
La presentazione acuta è associata a una rapida insorgenza di ipertensione, edema, ipokaliemia, diabete e il classico habitus può non essere presente. Questa forma è generalmente data da un carcinoma a piccole cellule del polmone [16-18].
Nel nostro caso, invece, nonostante la rapida insorgenza di malattia, la paziente presentava una forma florida con tutte le caratteristiche della sindrome.
La forma cronica, invece, è caratterizzata dalla presentazione classica con obesità centrale, gibbo e strie rubre. La sindrome, inoltre, può rappresentare la prima manifestazione della malattia che permette la diagnosi di neoplasia oppure può insorgere in un secondo momento, quando la malattia è già stata diagnosticata [3,19]. Il primo caso è associato alla presenza di una malattia indolente, mentre il secondo a una malattia aggressiva.
In letteratura è stato descritto, in questo tipo di neoplasie, uno switch fenotipico fra il tumore primitivo e le metastasi, cioè fra un fenotipo non secernente ACTH e un fenotipo secernente. Sono stati descritti, infatti, tumori pancreatici secernenti ACTH già alla diagnosi in assenza di metastasi, ma anche tumori che hanno iniziato a produrre ACTH solo alla comparsa della malattia epatica [20]. Ciò è indicativo di un processo di differenziazione a cui vanno incontro le cellule tumorali nel corso della progressione di malattia.
Nel nostro caso l’elevata aggressività della malattia e il breve lasso di tempo intercorso tra la diagnosi di tumore metastatico e la comparsa di sindrome di Cushing non hanno permesso di accertare se la produzione ectopica di ormone corticotropo fosse dovuta alla lesione pancreatica e ai secondarismi epatici o alle sole metastasi epatiche. Infatti l’immunoistochimica è risultata positiva a livello di una biopsia di un’unica lesione epatica. In letteratura è stata comunque riportata, in tumori secernenti ACTH, la presenza di subpopolazioni di cellule non secernenti [8,21,22]. Inoltre, la negatività per l’ACTH potrebbe indicare una continua e non pulsatile secrezione di tale ormone in cellule secernenti, senza stoccaggio endocellulare, per cui nemmeno una negatività all’immunoistochimica del tumore primitivo avrebbe potuto escludere la produzione primitiva di peptidi. Delle numerose lesioni epatiche evidenziate alla TC, solamente due sono risultate captanti alla scintigrafia con OctreoScan. Questo quadro è compatibile con una ridotta espressione dei recettori della somatostatina conseguente alla perdita di differenziazione dei cloni cellulari metastatici, di solito associata a una maggiore aggressività della malattia.
Conclusioni
La storia clinica della nostra paziente è stata segnata dalla severa immunodepressione indotta dal cortisolo, che ha portato rapidamente all’exitus, inficiando la prognosi e non permettendo l’attuazione di una terapia mirata che, in questo caso, avrebbe previsto un intervento di surrenalectomia, non essendo possibile la resezione del tumore primitivo, e una terapia a lungo termine con analoghi della somatostatina a scopo citostatico e citoriduttivo. La resezione radicale del tumore primitivo, in questo tipo di malattia, rappresenta il miglior approccio terapeutico [1,2].
Quando questa non sia possibile, al fine di ovviare alla secrezione incontrollata di cortisolo, si pratica la surrenalectomia bilaterale, come era stato proposto per la nostra paziente. La terapia medica di supporto prevede la somministrazione di farmaci inibitori della sintesi e secrezione di cortisolo, come ketoconazolo, metirapone e mitotano [23,24]. Ketoconazolo e metirapone hanno rapida azione, ma spesso il controllo dell’ipercortisolismo viene perso a causa dell’ipersecrezione di ACTH conseguente a feedback [25].
Nella nostra paziente era stata iniziata la terapia con ketoconazolo sia a scopo profilattico antifungino, a causa della sua immunodepressione, sia sintomatico. Il decorso infausto e rapidamente progressivo della malattia non ha permesso di prendere in considerazione alcuna terapia chirurgica. Per quanto riguarda invece la terapia medica, non si è potuta constatare l’efficacia di alcuna terapia, né delle terapie mirate alla riduzione della sintesi di cortisolo né della terapia con analoghi della somatostatina, non potendo in questo caso verificare il loro effetto nel controllo della sintomatologia e del loro effetto citostatico sulla massa, né tanto meno vi è stato il tempo per prendere in considerazione una terapia con chemioterapici, indicata dall’alto indice di proliferazione.
Algoritmo diagnostico
Punti chiave
Bibliografia