Massive pleural effusion in a young woman
Paolo Ghiringhelli 1, Roberto Cattaneo 1, Angelo Tiso 1, Claudia Cesaro 1
1 Hospital of Tradate, Medical Department, Unit of Internal Medicine
Abstract
Pleural effusion is a clinical manifestation shared by several underlying pathologies. The differential diagnosis is based on the clinical history, the physical examination, the analysis of the pleural fluid, and the laboratory data (mainly blood tests). There are cases, such as the patient described, where TC is not enough, and unusual imaging techniques are required for the study of pleural effusion, i.e. magnetic resonance cholangiography, cholangiopancreatography (MRCP) and endoscopic retrograde cholangiopancreatography (ERCP).
This case analyses a 42-year-old female patient who arrived with progressive dyspnoea, chest pain, cough, a history of alcohol abuse, and a recent episode of acute pancreatitis. The physical examination revealed signs of right-sided pleural effusion. These features, together with laboratory data, made it possible to pose the diagnosis of pancreaticopleural fistula, to treat it, and to obtain a complete healing in a two-month period.
Keywords: Pleural effusion; Pancreaticopleural fistula; Alcohol abuse; Acute pancreatitis
Versamento pleurico massivo in una giovane donna
CMI 2012; 6(4): 141-147
Case report
Disclosure
The authors declare they have no financial competing interests
Why we describe this case
We describe this case to show that the differential diagnosis of pleural effusions should always be kept in mind and not to overlook rare causes, to show the way to deal with a diagnostic and therapeutic plan of pleural effusions, and to stimulate to treat the patient, with equal effectiveness, with less invasive methods
Introduction
The presence of a pleural effusion enables a physician to easily obtain a specimen of a body cavity fluid. With a systematic analysis of the pleural fluid, in conjunction with the clinical features and ancillary laboratory data, a clinician should be able to make either a presumptive or definitive diagnosis in approximately 90% of cases [1,2]. The differential diagnosis of exudate poses difficult challenge for clinicians.
Clinical case
A 42-year-old female patient presented with a progressive dyspnoea, chest pain, coughing. She had no fever. She was suffering from depressive syndrome with alcohol abuse for a long time. She was hospitalized about 3 months before for an episode of acute pancreatitis which resolved rapidly. The physical examination revealed that the patient was thin, tachypnoic (20 breaths per minute), tachycardic, and there were features of a right-sided pleural effusion; the abdominal examination was unremarkable. There was no oedema.
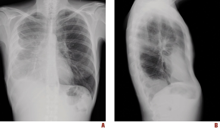
Chest x-ray (Figure 1) showed a massive right pleural effusion.

Figure 1. Chest x-ray of the patient showing a massive right pleural effusion. Frontal (A) and lateral (B) views
|
Parameter |
Value obtained |
Reference range |
|
Erythrocyte sedimentation rate (ESR) |
29 mm/h (in the first hour) |
0-21 mm/h |
|
C-reactive protein |
1.46 mg% |
< 5 mg% |
|
Serum amylase |
868 U |
< 195 U |
|
Lipase |
339 U |
< 60 U |
|
Serum LDH |
410 UI/l |
350-450 UI/l |
|
Serum Protein |
6.58 g/dl |
6-8 g/dl |
Table I. The blood tests of the patient
LDH = Lactic Acid Dehydrogenase
|
Parameter |
Value obtained |
|
White blood cells |
520/µl* |
|
LDH |
711 UI/l^ |
|
Protein |
3.28 g/dl§ |
Table II. The results of laboratory tests performed on the pleural effusion
LDH = Lactic Acid Dehydrogenase
*Counts above 50,000/µl are usually found only in complicated parapneumonic effusions, including empyema [3,4]. Exudative effusions from bacterial pneumonia, acute pancreatitis, and lupus pleuritis usually have total nucleated cell counts above 10,000/µl [3,4]. Chronic exudates, typified by tuberculous pleurisy and malignancy, typically have nucleated cell counts below 5,000/µl [3,4]
^LDH ratio with plasma was 1.73, ratio greater than 0.6: the fluid is defined as an exudate
§Pleural fluid protein/serum protein ratio greater than 0.5: the fluid is defined as an exudate

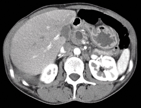
Figure 2. CT abdominal scan showing the persistence of a residual right pleural effusion and two pseudocysts in the head of pancreas
A thoracentesis was performed and the fluid sent for chemical, physic, bacterioscopic, cultural, and cytological analyses. The blood tests revealed the values reported in Table I. Transaminases and bilirubin were normal.
1,800 ml of cloudy, dark and brown coloured fluid were removed with the thoracentesis.
The results of the laboratory tests on the pleural effusion are shown in Table II.
A CT chest and abdominal scan (Figure 2) showed the persistence of a residual right pleural effusion and two pseudocysts in the pancreatic head of 10 and 20 mm respectively.
After a week the pleural effusion reformed and became greenish. The colour of the liquid, that looked like the biliary fluid, the absence of fever, the anorexia, and the previous detection of pancreatic cysts induced research of amylase in the pleural fluid. The fluid amylase in the pleural fluid was 44,000 U/l.
Afterwards, the patient was treated with octreotide, oral pancreatic enzyme supplement, opiates, enteral feeding and imipemen. The patient preferred to continue the thoracentesis instead of pleural talc pleurodesis.
A chest x-ray after two months detected only a fibrotic area on the front surface of the right pleura (Figure 3). The general conditions of the patient improved progressively. She returned to work after two months.

Figure 3. Chest x-ray after two months from the beginning of treatment. In the frontal (A) and lateral views (B) the pleural effusion appears resolved; only a fibrotic area on the front surface of the right pleura is visible
Discussion
As in our case report, pleural effusion generally indicates an underlying disease process, that may even be of non-pulmonary origin [1].
The differential diagnosis of pleural effusion is difficult, due to the huge variety of originating causes (Table III). For this reason, a thoracentesis is indicated.
|
Transudative pleural effusions |
|
|
|
Exudative pleural effusions |
Neoplastic diseases |
|
|
Infectious diseases |
|
|
|
Pulmonary embolization |
||
|
Gastrointestinal disease |
|
|
|
Heart diseases |
|
|
|
Obstetric and gynaecologic disease |
|
|
|
Collagen vascular diseases |
|
|
|
Drug-induced pleural disease |
|
|
|
Miscellaneous diseases and conditions |
|
|
Table III. Causes of pleural effusion. Modified from [5]
Thoracentesis
In two circumstances diagnostic thoracentesis is usually not required: when there is a small amount of pleural fluid (< 500 cc with an ecographic evaluation) and a clear clinical diagnosis (e.g., viral pleurisy), or when there is clinically obvious heart failure (HF) without atypical features [1]. Atypical features that should prompt consideration of diagnostic thoracentesis in a patient with HF are shown in the box.
Thoracentesis procedure needs to be performed with carefulness, especially in some high-risk patients, such as elderly and clinically compromised people.
Some complications may occur in every patient, in particular [7]:
A proper thoracentesis requires first of all to obtain the informed consent by the patient, which, in turn, requires a thorough explanation of the entire procedure.
There are two possible positions, according to the patient’s ability to sit upright: if he/she is able, the sitting position with his/her arms resting on a table is preferred; otherwise, the lateral recumbent position should be used.
The use of opiates, anxiolytics, or sedatives is rarely necessary, and atropine isn’t routinely administered [10].
The standard selection of the puncture site is performed under ultrasound guidance, because the increased accuracy of this method has resulted in the decrease of pneumothorax rate from 8.6% to 1.1% if compared to the previously used physical examination alone [11,12]. In case of complex pleural and lung parenchymal disease, the additional support of chest-computed tomography may be necessary. However, physical examination is still performed for patients with a nonloculated free-flowing effusion and when ultrasound technique is not available: particular care should be taken in avoiding lacerations of tortuous intercostal arteries, especially in elderly patients [13], and a follow-up after thoracentesis is required.
The sterilization of the skin area surrounding the puncture site is generally performed by means of 0.05% chlorhexidine or 10% povidone-iodine solution: immunocompromised patients or those with severe pre-existing pleural injury are at higher risk if the sterilization is performed in the wrong way.
Anaesthetisation is performed by placing lidocaine 1% or 2% in the epidermidis with a syringe with a 22-gauge needle. Intermittent injection of lidocaine is needed to anesthetise also the deeper tissues, rib periosteum and parietal pleura [14].
Finally, a 50 ml syringe with a 16 or 14-gauge needle is used to withdraw the pleural fluid; the addition of 1 ml of 1:1000 heparine is suggested in order to prevent clotting of haemorrhagic or highly proteinaceous fluid (it improves also the quality of the cytologic examination of the pleural fluid).
About 30-75 ml of pleural fluid are withdrawn for analytic purposes.
In the majority of patients, asymptomatic and non-ventilated, a chest radiograph after thoracentesis is not required [15]. As in our case, large volume thoracentesis is required. Large volume thoracentesis refers to the removal of more than one litre of pleural fluid during a therapeutic thoracentesis. Large volume thoracentesis is performed to relieve dyspnoea associated with a pleural effusion. Assessment of the initial pleural fluid pressure and the changes in pressure as fluid is removed (known as the pleural space elastance) can be used to guide fluid removal.
Pleural effusion
The large majority of pleural effusion cases are due to congestive heart failure, pneumonia, malignancy, or pulmonary embolism.
After the formation of the effusion, the flattening or inversion of the diaphragm occur, as well as the mechanical dissociation of the visceral and parietal pleura and a restrictive ventilator defect [2].
Pleural effusions are classified into:
By definition, a transudative effusion occurs when the systemic factors, hydrostatic or oncotic pressures, influencing the formation and reabsorption of pleural fluid are altered such that pleural fluid accumulates. An effective method to identify the pathogenesis of pleural transudate is the measurement of pro-BNP in pleural fluid. Several studies have demonstrated that N-terminal pro-brain natriuretic peptide (NT-proBNP) is elevated in the pleural fluid of patients who have heart failure and pleural effusion [16].
In contrast, an exudative pleural effusion occurs when pleural fluid accumulates due to alterations in local factors. The first step in the clinical workup of a patient with a pleural effusion is to determine if the patient has a transudative or an exudative pleural effusion. If the patient has a transudative effusion, no additional diagnostic studies need to be directed towards the pleura. Alternatively, if the patient has an exudative pleural effusion, as in this case, additional efforts should be made to determine what disease process is affecting the pleura. The separation of transudative from exudative pleural effusions is best made by simultaneous measurements of the protein and Lactic Acid Dehydrogenase (LDH) levels in the pleural fluid and in the serum. If one or more of the following criteria are met, the patient probably has an exudative pleural effusion [1]:
If none of these criteria are met, then the patient has a transudative pleural effusion [1,2].
The clinical case described met all 3 criteria indicated above.
No single pleural fluid tumour marker is accurate enough for routine use in the diagnostic evaluation of pleural effusion [17].
Situations possibly requiring diagnostic thoracentesis [6]
Pancreaticopleural fistula
Pancreaticopleural fistula (PPF) is a rare cause of pleural effusion (< 1%) [18]. The main cause is represented by acute or chronic pancreatitis, due essentially to rupture of the pseudocyst or to leakage of pancreatic duct with collection of pancreatic juice in retroperitoneum. The fistulous tract can pass either through the aortic or oesophageal diaphragmatic hiatus [19] or directly through erosion of diaphragmatic dome by the pseudocyst [19].
PPF is generally diagnosed in middle-aged men with history of alcoholism and chronic pancreatitis [20]. The effusion is generally on the left side of the thorax (76%) [21]. Main symptoms are dyspnoea, cough, chest pain, fever, and septicaemia. The effusion is typically recurrent, in first instance, not responsive to thoracentesis. The main complications are low grade infection, weight loss, and failure to thrive.
Diagnosis is often delayed (range from 12 to 49 days) [21]. It’s postulated on the basis of biochemical analysis of pleural fluid (elevated values of amylase and albumin > 3 g/dl). The diagnosis of PPF pleural fluid amylase levels should be greater than serum levels and typically exceed 1,000 IU/l [22,23] (see box).
Differential diagnoses for amylases-rich pleural effusion [9]
Instrumental techniques provide important data. CT scan of thorax represents the gold standard for detection of pleural effusion, but, in order to identify anatomical alterations of pancreas and for detection of fistulous tract, the better tools are magnetic resonance cholangiopancreatography (MRCP), endoscopic retrograde cholangiopancreatography (ERCP) and CT scan, with success rates of 80%, 78% and 47% respectively [20].
PPF is a difficult-to-treat condition, due to the complexity of anatomical alterations.
There are three options for the treatment of PPF:
Conservative treatment represents the first choice in PPF when there is no evidence of stenosis of pancreatic duct; ERCP is useful in case of stenosis of pancreatic duct [24]; surgical approach is mandatory in case of failure of endoscopic treatment and its main aim is to avoid septic complications, in particular intra-abdominal abscess or pleural empyema. That’s why before starting treatment of PPF an imaging exam must be performed in order to study pancreatic anatomy [5].
Although MRCP can be considered the gold standard for not invasive diagnosis of PPF, in the case described it was not performed for unavailability of the tool in our hospital [11]. That’s why CT was performed: it didn’t show injuries of pancreatic duct, but two pseudocysts alone. The peculiarity of this case relies on the female gender of the patient and on the localization of the effusion (on the right side of the thorax).
PPF is difficult to diagnose; it has to be ever suspected in presence of recurrent pleural effusion in patients with history of pancreatitis.
References