Neoplasia papillare mucinosa intraduttale del dotto pancreatico principale: un caso clinico
Natalia Manetti 1, Clara Faini 1, Francesca Bucciero 1, Giulia Razzolini 1, Maria Marsico 1, Maria Rosa Biagini 1, Stefano Milani 1
1 SOD Gastroenterologia 1, AOU Careggi, Firenze
Abstract
Three distinct entities among non-inflammatory cystic lesions of the pancreas have been defined: intraductal papillary mucinous neoplasm (IPMN), serous cystic neoplasm (SCN) and mucinous cystic neoplasm (MCN). IPMN is characterized by intraductal papillary growth and thick mucus secretion: its incidence has dramatically increased since its initial description. These lesions probably can progress towards invasive carcinoma. IPMNs are symptomatic in most cases: the typical presentation is a recurrent acute pancreatitis, without evident cause, of low or moderate severity. The diagnosis is usually based upon the imaging (CT/cholangio-MRI) demonstrating a pancreatic cystic mass, involving a dilated main duct, eventually associated to some filling defects, or a normal Wirsung duct communicating with the cyst lesion. Surgical treatment is generally indicated for main duct IPMN and branch duct IPMN with suspected malignancy (tumour size ≥ 30 mm, mural nodules, dilated main pancreatic duct, or positive cytology) or prominent symptoms. Herein we present a case of IPMN of the main duct which occurred with abdominal and back pain associated with weight loss. After the diagnosis, she successfully underwent surgery and is now in a follow-up program.
Keywords: Abdominal pain; Back pain; Weight loss; Mucinous tumour; IPMN
Main-duct intraductal papillary mucinous neoplasm of the pancreas: a case report
CMI 2012; 6(4): 127-134
Caso clinico
Disclosure
Gli Autori dichiarano di non avere conflitti di interesse di natura finanziaria in merito ai temi trattati nel presente articolo
Perché descriviamo questo caso
Le neoplasie papillari mucinose intraduttali (IPMN) rappresentano un’entità nosologica di recente caratterizzazione e certamente il riscontro di tale patologia è in costante aumento. Probabilmente ciò è da attribuire al miglioramento della diagnostica per immagini e alla crescente diffusione di una cultura specifica sull’argomento. L’importanza di queste forme patologiche è dovuta al fatto che esse originano come forme benigne ma con tendenza, variabile a seconda della tipologia della lesione, all’evoluzione maligna
Introduzione
Le neoplasie mucinose cistiche del pancreas possono essere classificate in due gruppi ben distinti: neoplasie papillari mucinose intraduttali (IPMN) e neoplasie mucinose cistiche (MCN) (Tabella I).
Queste ultime sono maligne o potenzialmente tali anche se con una crescita molto lenta rispetto alle IPMN [2]. Spesso interessano donne di mezza età e la sintomatologia di esordio consiste principalmente in dolore addominale e presenza di una massa palpabile in epigastrio. Sono solitamente localizzate nella coda del pancreas e sono costituite da cisti mucinose uniloculari o multiloculari ben circoscritte con dimensioni medie di 7-10 cm [3,4]. Queste lesioni possono essere benigne, maligne o borderline e l’unico modo per distinguere la forma completamente benigna (cistoadenoma) dalla forma maligna (cistoadenocarcinoma) è l’esame istopatologico dopo completa resezione chirurgica.
|
Neoplasia cistica del pancreas |
Sottotipi |
|
Neoplasia sierosa cistica |
Cistadenoma sieroso
|
|
Cistadenocarcinoma sieroso |
|
|
Neoplasia mucinosa cistica |
Cistadenoma mucinoso |
|
Neoplasia cistica mucinosa con moderata displasia |
|
|
Cistadenocarcinoma mucinoso
|
|
|
Neoplasia papillare mucinosa intraduttale |
Adenoma papillare mucinoso intraduttale |
|
Neoplasia papillare mucinosa intraduttale con moderata displasia |
|
|
Carcinoma papillare mucinoso intraduttale
|
|
|
Neoplasia pseudopapillare solida |
Neoplasia pseudopapillare solida |
|
Carcinoma pseudopapillare solido |
Tabella I. Neoplasie cistiche del pancreas [1]
Le neoplasie papillari mucinose intraduttali (IPMN) del pancreas rappresentano circa il 7% delle neoplasie pancreatiche e più del 50% delle cisti pancreatiche diagnosticate incidentalmente, comprendono un ampio spettro di lesioni che possono evolvere verso gradi di maggiore aggressività: dall’adenoma al carcinoma in situ, al carcinoma invasivo.
Al contrario delle neoplasie mucinose cistiche, le IPMN si sviluppano più frequentemente in individui di sesso maschile, in età più avanzata e sono spesso localizzate nella testa del pancreas (Tabella II).
|
MCN |
IPMN |
|
|
Tipo di lesione |
Benigna/borderline/maligna |
Benigna/borderline/maligna |
|
Sesso |
Donne di età media |
Uomini in età più avanzata (65 anni circa) |
|
Localizzazione |
Coda pancreatica |
|
|
Dimensioni medie |
7-10 cm |
3-4 cm |
|
Descrizione |
I dotti sono circondati da uno stroma di cellule fusate che ricorda lo stroma ovarico. Lo stroma ovarico contiene inoltre cellule epitelioidi simili alle cellule luteiniche. Le cellule stromali presentano spesso recettori per estrogeni e progesterone e le cellule epitelioidi contengono di solito inibina |
I dotti sono circondati da stroma fibroso |
|
Forma delle lesioni |
Forma rotondeggiante circoscritta da una spessa capsula fibrosa. Le cisti non comunicano con il sistema duttale |
Le IPMN nascono da una dilatazione cistica del sistema duttale e di conseguenza sono spesso scarsamente delineate |
Tabella II. Neoplasie mucinose cistiche (MCN) e neoplasie papillari mucinose intraduttali (IPMN): diagnosi differenziale. Modificato da [5]
Le lesioni sono di circa 3-4 cm di diametro. La maggior parte dei pazienti si presenta con episodi recidivanti di pancreatite acuta e/o cronica o con diabete mellito di nuova insorgenza [6-8]. Nel 27% dei casi, invece, la malattia è del tutto asintomatica e la diagnosi viene posta mediante indagini radiologiche eseguite per altri motivi [9].
Agli esami diagnostici di primo livello come ecografia e TC addome, ma soprattutto agli esami di secondo livello quali la colangio-RM, le IPMN appaiono come dilatazioni dei dotti biliari replete di mucina che tende a fuoriuscire dalla papilla.
A livello anatomico si possono distinguere lesioni che coinvolgono il dotto pancreatico principale e lesioni che coinvolgono i dotti pancreatici secondari. Questi due sottotipi si differenziano per il rischio di evoluzione maligna. Infatti, le neoplasie coinvolgenti il dotto principale progrediscono verso una forma maligna nel 57-92% dei casi mentre quelle interessanti i dotti secondari soltanto nel 6-46% dei casi, presentando una minor frequenza di carcinoma in situ e di carcinoma invasivo [10,11].
Si riporta come oggetto di discussione un tipico caso di neoplasia mucinosa papillare intraduttale coinvolgente il dotto pancreatico principale e sottoposta, come da linee guida internazionali [12], a resezione chirurgica.
Caso clinico
È giunta alla nostra attenzione la Sig.ra BG di 69 anni per comparsa, da circa 5 mesi, di dolore addominale localizzato a livello epigastrico e irradiato sia bilateralmente agli ipocondri sia posteriormente in regione lombare. Tale sintomatologia dolorosa si associava a un importante calo ponderale (15 kg in pochi mesi) e alla comparsa improvvisa di diabete mellito di tipo 2. La paziente era affetta da ipertensione arteriosa in trattamento farmacologico con buon controllo dei valori pressori. È stata sottoposta a intervento chirurgico di appendicectomia e a intervento di colecistectomia per calcolosi in giovane età. In considerazione della persistente sintomatologia dolorosa la paziente ha effettuato, su consiglio del medico curante, un’ecografia dell’addome e una TC torace e addome con e senza mezzo di contrasto. L’ecografia ha mostrato un’ecostruttura epatica incrementata come per steatosi in assenza di lesioni focali, regolarità delle vie biliari, presenza di un linfonodo di 1,7 cm a livello dell’ilo epatico, un’ecostruttura leggermente disomogenea del pancreas con dilatazione del dotto di Wirsung e una formazione di aspetto cistico di circa 2 cm a livello della testa pancreatica. L’esame tomografico ha successivamente confermato la presenza di una formazione cistica a contorni netti (3 cm) a livello pancreatico e un’ectasia del dotto di Wirsung (calibro di 0,5 cm); ha inoltre evidenziato la presenza di un linfonodo di 2,5 cm medialmente al processo uncinato del pancreas.
La paziente ha successivamente eseguito un’esofagogastroduodenoscopia che ha rilevato un normale aspetto macroscopico dell’esofago e dello stomaco e una formazione polipoide sessile di 1,5 cm a livello della papilla del Vater sulla quale sono state effettuate biopsie. L’esame istologico dei frustoli bioptici ha mostrato una normale architettura della mucosa duodenale, flogosi cronica della lamina propria e focali aree di metaplasia gastrica dell’epitelio di rivestimento superficiale.
All’ingresso nel nostro reparto la paziente si presentava vigile, collaborante, orientata nel tempo e nello spazio. Aveva pressione arteriosa = 130/80 mmHg, frequenza cardiaca = 72 bpm, e saturazione di ossigeno = 100% in aria ambiente. All’esame obiettivo l’addome si presentava trattabile, dolente e dolorabile alla palpazione superficiale e profonda a livello dei quadranti superiori, i segni di Blumberg e Murphy risultavano negativi, fegato e milza non erano palpabili, vi era normotimpanismo gastrocolico e la peristalsi era presente.
Agli esami ematochimici era rilevabile un modesto incremento del CA 19.9 (182,8 U/ml; range di normalità: 0-39 U/ml) in assenza di ulteriori alterazioni degne di nota. In particolare non erano evidenti segni di danno epatocellulare e di colestasi. Erano normali anche le concentrazioni plasmatiche di amilasi e lipasi.
In regime di ricovero la paziente ha eseguito nuovamente una TC addome con mezzo di contrasto che evidenziava a livello della testa pancreatica la presenza di una formazione rotondeggiante (dimensioni di circa 3,8 cm) ipodensa all’esame diretto e nelle varie fasi contrastografiche che improntava e dislocava anteriormente il dotto di Wirsung, che risultava ectasico nel tratto corpo-coda (5 mm). Era presente un’ulteriore formazione ipodensa di circa 2,5 cm di aspetto lobulato e con un setto interno localizzata in prossimità del processo uncinato al davanti della terza porzione duodenale. Si rilevava inoltre un aspetto lievemente addensato dell’adipe peripancreatico in prossimità della testa. I reperti descritti dalla TC, secondo il parere del radiologo refertante, non avevano caratteristiche specifiche, potendosi riferire a una neoformazione discariocinetica di aspetto cistico a origine intraduttale oppure a esiti di processi pancreatitici (pseudocisti?).

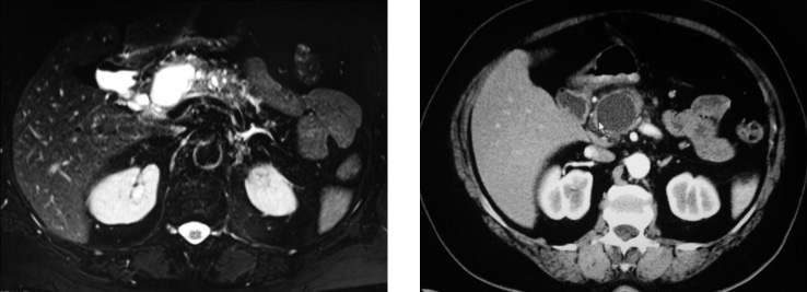
Figura 1. Immagini RM/TC della lesione cistica mucinosa intraduttale
Sulla base del referto della TC la paziente è stata sottoposta a colangio-RM (Figura 1).
Tale esame mostrava, in corrispondenza della testa-corpo pancreatica, una formazione rotondeggiante a contenuto fluido e margini netti (diametro maggiore = 33 mm). Un’altra formazione simile, plurisettata e più piccola (22 mm) era presente a livello del processo uncinato. Era evidente un’ectasia del dotto pancreatico principale con numerose estroflessioni simil-cistiche, la maggiore delle quali con diametro massimo di 8 mm. Nel corso di un ulteriore approfondimento diagnostico la paziente è stata sottoposta a colangio-pancreatografia retrograda endoscopica (ERCP) che dimostrava la presenza di una papilla aumentata di volume con aspetto adenomatoso e una stenosi del Wirsung a livello del corpo con probabile cisti in tale sede. Durante la procedura è stata effettuata aspirazione del succo pancreatico al cui interno era dimostrata un’elevata concentrazione di CA 19.9 (3.030 U/ml). L’esame istologico del campione bioptico raccolto nella papilla mostrava atipie cellulari e flogosi produttiva non specifica della mucosa intestinale.
Sulla base della storia clinica della paziente e dei dati ottenuti mediante le tecniche diagnostiche di immagine e mediante l’esame istologico è stato posto il sospetto di IPMN del dotto pancreatico principale.
Per tale motivo, in regime di ricovero, è stata richiesta una consulenza chirurgica che ha posto indicazione all’intervento di duodenocefalopancreasectomia soprattutto in considerazione dei reperti radiologici, della presenza sia di un discreto aumento del CA 19.9 nel succo pancreatico, sia di atipie citologiche a livello della papilla.
La paziente è stata sottoposta a intervento chirurgico di duodenocefalopancreasectomia e l’esame istologico su pezzo operatorio ha confermato il sospetto pre-operatorio, dimostrando la presenza di una neoplasia papillare mucinosa intraduttale con associata componente di adenocarcinoma invasivo. La neoplasia è risultata limitata al pancreas senza alcuna documentabile proliferazione neoplastica nei linfonodi esaminati e nei limiti di resezione chirurgica.
La paziente è tutt’ora inserita in un programma di follow-up oncologico semestrale.
Discussione
La neoplasia papillare intraduttale mucinosa del pancreas è caratterizzata da una proliferazione anomala dell’epitelio dei dotti pancreatici, secernente muco e responsabile di una dilatazione di entità variabile dei dotti stessi [12,13].
Non ci sono segni o sintomi patognomonici anche se molto frequentemente i pazienti con IPMN si presentano con una lunga storia di pancreatiti acute ricorrenti o croniche ostruttive, dolore addominale frequentemente irradiato al dorso, ittero, diabete di nuova insorgenza, anoressia, calo ponderale, nausea e vomito. In particolare, i dati riportati in letteratura evidenziano come il dolore addominale a livello epigastrico e l’insorgenza improvvisa di diabete mellito, che hanno caratterizzato il quadro clinico della paziente presa in esame, siano presenti rispettivamente nel 69% e nel 54% dei casi [6].
Le indagini diagnostiche attualmente disponibili permettono di caratterizzare le IPMN, di indurre il sospetto di una cancerizzazione in atto e, in definitiva, di individuare i pazienti da candidare all’exeresi chirurgica.
L’ecografia e la TC rappresentano indagini diagnostiche di primo livello che permettono in primis di sospettare la presenza di una IPMN qualora evidenzino la presenza delle cisti pancreatiche e l’eventuale dilatazione del dotto pancreatico principale. La colangio-RM, l’ecoendoscopia (EUS) e l’ERCP permettono successivamente di delineare l’anatomia del sistema duttale pancreatico e il rapporto della neoplasia con i dotti pancreatici [5].
Di fondamentale importanza è la distinzione tra IPMN del dotto pancreatico principale e IPMN dei dotti periferici, anche se sono frequenti le forme miste. Tale differenziazione è necessaria per le diverse implicazioni prognostiche. Vari studi dimostrano infatti come nelle IPMN dei dotti principali la progressione verso forme maligne, in situ o invasive, avvenga in una percentuale variabile dal 60% al 92%, con una media del 70%. Sulla base di tali dati, qualora le indagini preoperatorie pongano il sospetto di una IPMN del dotto principale o di tipo misto, l’exeresi chirurgica è di regola indicata [10,11,14-20].
Decisamente meno frequente è la cancerizzazione delle lesioni interessanti i dotti periferici, riscontrata in una percentuale variabile dal 6% al 46%, con una media del 25% [10,11,14-19]. È da notare, però, come i due studi che descrivono la più alta frequenza di cancro invasivo (30% e 31% rispettivamente) non prendano in considerazione i pazienti del tutto asintomatici [11,18]. Negli studi che invece descrivono una bassa frequenza di cancerizzazione il quadro clinico d’esordio risulta essere nella gran parte dei casi silente [14,17,18]. In considerazione della bassa frequenza di cancerizzazione, in particolar modo nelle lesioni di piccole dimensioni, l’intervento chirurgico può essere considerato in maniera più selettiva nei casi di IPMN dei dotti periferici. A tale riguardo, le linee guida internazionali [12] raccomandano l’intervento chirurgico nelle forme sintomatiche o in presenza di segni diretti o indiretti di cancerizzazione in atto [17,19,20].
Elementi indicativi di cancerizzazione in atto sono rappresentati dalla sede della neoplasia a livello del dotto pancreatico principale, dall’estensione diffusa o multifocale della lesione, dalla dilatazione del dotto pancreatico principale, dalla presenza di noduli intramurali o di vere e proprie lesioni solide, dalle dimensioni della neoplasia (≥ 3 cm), dalla presenza di calcificazioni intraluminali, dall’ostruzione del coledoco, dall’invasione delle strutture anatomiche adiacenti o, addirittura, delle strutture vascolari, dalla presenza di linfoadenomegalie o di metastasi a distanza [21]. Anche la presenza di mucina extracellulare e di valori elevati del CEA e del CA 19.9 all’esame del fluido intracistico come anche il rilievo di cellule atipiche all’esame istologico sono considerati indicativi di una lesione a rischio di cancerizzazione [17,21,22].
I fattori indicanti la presenza di una cancerizzazione in atto
Il sospetto di IPMN del dotto pancreatico principale, la presenza di una sintomatologia importante e insorta improvvisamente, le dimensioni della lesione superiori a 3 cm, la dimostrazione di elevati livelli sierici e intracistici di CA 19.9 e infine il rilievo di atipie cellulari all’esame istologico hanno rappresentato nel complesso le indicazioni a eseguire l’intervento chirurgico radicale nella nostra paziente [17,21,22].
Riguardo al tipo di intervento chirurgico, una pancreasectomia tipica con linfoadenectomia va considerata in tutti i casi in cui vi sia il dubbio di un’evoluzione verso un carcinoma invasivo. Le resezioni atipiche limitate senza linfoadenectomia andrebbero riservate alle neoplasie di piccole dimensioni senza una chiara evidenza clinica o radiologica di cancerizzazione a patto di un’accurata rivalutazione intraoperatoria [23-29]. L’esame istologico estemporaneo di margini di resezione pancreatica è utile per minimizzare il rischio di escissioni incomplete [24]. L’ecografia intraoperatoria (IOUS) può essere di aiuto nella rivalutazione dell’estensione della neoplasia e dell’eventuale presenza di linfoadenopatie, oltre che nella definizione dei margini di resezione [25-27].
La sopravvivenza attuale a 5 anni dopo intervento chirurgico per i pazienti con IPMN nella sua forma benigna o nella forma di carcinoma in situ è vicina al 100%, mentre è del 24-74% in presenza di un carcinoma invasivo [16-26; 30-33].
Per quanto riguarda i tumori cistici intraduttali a livello dei dotti pancreatici accessori, se asintomatici, di dimensioni minori di 3 cm e in assenza di lesioni al loro interno è indicato follow-up radiologico con TC ad alta risoluzione o EUS almeno una volta ogni sei mesi [34].
Conclusioni
Il caso clinico descritto analizza il percorso diagnostico e terapeutico appropriato per i pazienti con IPMN. In particolar modo pone le basi per la diagnosi differenziale tra le forme benigne e quelle maligne, aspetto fondamentale se si tiene nella dovuta considerazione la radicale differenza prognostica delle due forme.
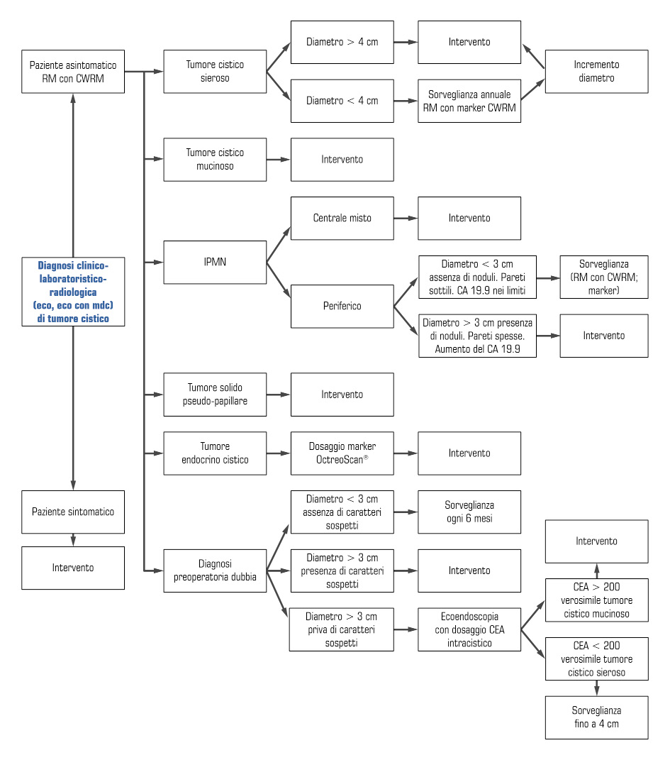
Flowchart diagnostico-terapeutica delle lesioni pancreatiche

Bibliografia