Febbre di origine ignota in paziente trattato con il Bacillo di Calmette-Guérin (BCG) per carcinoma uroteliale vescicale in situ
Paolo Ghiringhelli 1, Federica Macchi 1, Mariella Ciola 1, Girolamo Sala 1, Beatrice Valvo 1, Andrea Agostinelli 1, Lorenzo Bellintani 1, Gaetano Emanuele Rizzo 1, Michela Provisione 1, Michela Zaza 1, Alessandro Diana 1, Maurizio Ferrarese 2
1 Medicina Interna Ospedale di Busto Arsizio, ASST Valle Olona, Italia
2 Tisiologia, Ospedale Niguarda, Milano, Italia
Abstract
Koch’s Bacillus bovis (Mycobacterium bovis) was made avirulent by special culture conditions, i.e., 230 passages on medium containing potatoes treated with bile salts. It has been used mainly to prevent tuberculosis. The vaccine was named after the bacteriologist Albert Calmette and the veterinarian Camille Guérin, i.e., Bacillus Calmette-Guérin (BCG). These researchers worked at the Pasteur Institute in Lille and launched the vaccine in 1921.
Recently, BCG was used also for its non-specific immunostimulant action. Intravesical administration of BCG is an adjunctive therapy for the treatment of bladder cancer, which does not invade the muscle wall.
We will discuss the clinical case of a patient who had fever of unknown origin for about 2 months and was resistant to treatment with multiple lines of antibiotics.
Keywords: Fever of unknown origin; Mycobacterimun bovis; Bacillus Calmette-Guérin; Urothelial Vesical Carcinoma
Fever of Unknown Origin in a Patient Administered With Bacillus Calmette-Guérin (BCG) to Treat Urothelial Vesical Carcinoma in Situ
CMI 2023; 17(1): 25-39
https://doi.org/10.7175/cmi.v17i1.1543
Caso clinico
Perché descriviamo questo caso
Il caso mette in luce l’importanza di una rapida diagnosi per prevenire lo scadimento delle condizioni fisiche e ridurre gli sprechi sanitari. A tale scopo, risulta fondamentale la raccolta dettagliata dell’anamnesi, specialmente nei casi di più difficile identificazione della patogenesi. Si suggerisce, infine, di evitare l’uso indiscriminato di antibiotici, specialmente quando emo- e uro-colture sono negative, perché può determinare l’insorgenza di resistenze batteriche
Introduzione
Il Bacillo di Koch di tipo bovino (Mycobacterium bovis) o Bacillo di Calmette-Guérin (BCG) è stato inizialmente sviluppato come vaccino contro la tubercolosi.
La possibilità di un ruolo del BCG nel trattamento del cancro è stata ipotizzata per la prima volta negli anni ’20, quando uno studio autoptico ha rilevato una minore frequenza di cancro nei pazienti con tubercolosi e una maggiore frequenza di tubercolosi tra i sopravvissuti al cancro [1]. Negli anni ’30 è stato descritto un profondo effetto stimolante del BCG sul sistema reticoloendoteliale; inoltre, negli anni ’80, è stata osservata una minore incidenza di leucemia tra i bambini che avevano ricevuto l’immunizzazione neonatale con BCG [2].
Nuovi studi hanno contribuito a espandere le nostre conoscenze sull’azione antitumorale di BCG [3], ma permangono diverse lacune. L’instillazione intravescicale di BCG innesca una varietà di risposte immunitarie locali, che possono persistere per un certo numero di mesi e che sembrano correlare con l’attività antitumorale [4]. Queste includono: induzione di un infiltrato di cellule mononucleate costituito prevalentemente da cellule T CD4 e macrofagi e aumento dell’espressione dell’interferone gamma (IFNγ) nella vescica. L’espressione di IFNγ induce l’espressione di molecole di istocompatibilità maggiore (MHC) di classe II sulle cellule tumorali della vescica, tra cui HLA-DR e la molecola di adesione intercellulare (ICAM)-1. L’IFNγ può anche aumentare la sensibilità delle cellule tumorali al BCG con l’attivazione delle cellule presentanti l’antigene e dei linfociti LAK (linfociti killer attivati prevalentemente dalla IL-2).
Il BCG induce anche livelli elevati di citochine urinarie, tra cui interleuchina (IL)-1, IL-2, IL-6, IL-8, IL-12, IFNγ, fattore di necrosi tumorale alfa (TNFα) e ligando, che induce l’apoptosi del fattore di necrosi tumorale (TRAIL) e provoca la soppressione diretta della crescita del tumore in modo dose-dipendente [5].
Come sopra scritto, la persistenza di BCG nella vescica può facilitare un’attivazione immunitaria, ma potenzialmente aumenta anche il rischio di un’infezione sistemica tardiva [6,7]. Il BCG intravescicale è generalmente ben tollerato; non comunemente, possono verificarsi gravi complicanze locali e sistemiche [8].
Caso clinico
Anamnesi patologica remota
Si presentò alla nostra attenzione un uomo di 74 anni, lavoratore nell’ambito delle materie plastiche. Dall’anamnesi patologica remota del paziente emerse che aveva goduto di un discreto benessere fino al 2000, quando venne sottoposto a meniscectomia artroscopica del ginocchio sinistro in conseguenza dell’attività calcistica intensa effettuata in età giovanile.
Da decenni si trovava in terapia per ipertensione arteriosa. Nel 1996 aveva subìto una resezione trans-ureterale della prostata per ipertrofia prostatica benigna. Nel 2016 venne sottoposto a decompressione del tunnel carpale sinistro. Nel 2018 comparve un’ischemia midollare condizionante la persistenza di ipoestesia e lieve deficit di forza dell’arto superiore destro.
In data 23/3/2022, in seguito a ematuria, il paziente venne sottoposto a cistoscopia e successivamente a resezione trans-ureterale della prostata per neoformazione vescicale uroteliale pT1-G3 (carcinoma papillare di alto grado infiltrante il connettivo sottoepiteliale; la tonaca muscolare risultò indenne). Da allora, seguendo i protocolli internazionali [9], venne sottoposto a instillazioni endovescicali ambulatoriali di BCG mensili (6 instillazioni endovescicali complessive mediante posizionamento di catetere vescicale, svuotamento completo della vescica e successiva instillazione di BCG), di cui l’ultima eseguita in data 30/8/2022. Successivamente, come previsto per tutti i casi simili, gli urologi programmarono il follow-up, ritenendo soddisfacente il risultato ottenuto.
Anamnesi prossima
Circa un mese prima dell’ultima somministrazione endovescicale di BCG, il paziente riferiva febbricola serotina, astenia e sudorazioni notturne. Venne allora ricoverato in Medicina Interna con la diagnosi di infezione delle vie urinarie per presenza di lieve disuria e apparente resistenza al trattamento con levofloxacina.
La Tabella I riporta gli esami ematici all’ingresso.
|
Parametro |
Valore rilevato |
Valore normale |
|
Leucociti (× 103/μL) |
3,81 |
4,0-10,0 |
|
Eritrociti (× 106/μL) |
4,63 |
3,6-5,6 |
|
Emoglobina (g/dL) |
13,6 |
13,0-16,5 |
|
Ematocrito (%) |
42,3 |
39-49 |
|
Volume globulare medio (fL) |
91,3 |
80-96 |
|
Contenuto emoglobinico medio (pg) |
29,4 |
27,0-33,0 |
|
Concentr. Hb corpuscolare media (g/dL) |
32,2 |
31,5-36,5 |
|
Piastrine (× 103/μL) |
269 |
150-400 |
|
Neutrofili (%) |
64,8 |
40-74 |
|
Monociti (%) |
10,1 |
1-6 |
|
International Normalized Ratio |
1,0 |
0,8-1,2 |
|
Tempo di tromboplastina parziale attivata (ratio) |
1,0 |
0,8-1,2 |
|
Sodio (mmol/L) |
138 |
135-150 |
|
Potassio (mmol/L) |
4,24 |
3,5-5,3 |
|
Urea (mg/dL) |
31 |
10-50 |
|
Creatinina (mg/dL) |
0,78 |
0,67-1,17 |
|
Proteina C reattiva (mg/dL) |
1,47 |
<0,5 |
|
Velocità di eritrosedimentazione (mm) |
52 |
0-13 |
Tabella I. Esami ematici all’ingresso
Venne trattato, apparentemente con successo, con ceftriaxone e venne dimesso il 7 settembre dello stesso anno, dopo avere acquisito l’esito negativo di emocolture e urocoltura. Si confermava comunque la diagnosi di infezione delle vie urinarie in paziente con carcinoma uroteliale in trattamento con BCG, poiché i giorni antecedenti il ricovero era stato trattato con levofloxacina: quest’ultima poteva, infatti, avere indotto la negatività delle colture eseguite.
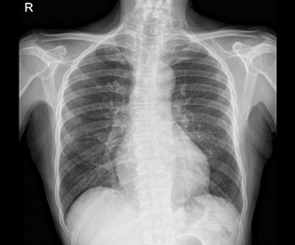
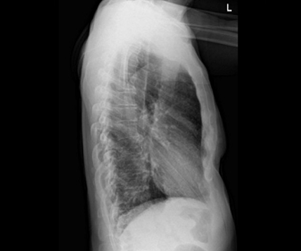
Dopo 3 giorni dalla dimissione si ripresentava in Pronto Soccorso per ricomparsa di febbre. Il tampone antigenico per COVID-19 risultava negativo, mentre l’Rx torace evidenziava l’aumento del disegno interstiziale (Figure 1 e 2).

Figura 1. Rx torace

Figura 2. Rx torace laterale
|
Parametro |
Valore rilevato |
Valore normale |
|
Leucociti (× 103/μL) |
3,05 |
4,0-10,0 |
|
Eritrociti (× 106/μL) |
4,15 |
3,6-5,6 |
|
Emoglobina (g/dL) |
13 |
13,0-16,5 |
|
Ematocrito (%) |
37,4 |
39-49 |
|
Volume globulare medio (fL) |
90,1 |
80-96 |
|
Contenuto emoglobinico medio (pg) |
28,3 |
27,0-33,0 |
|
Concentr. Hb corpuscolare media (g/dL) |
31,4 |
31,5-36,5 |
|
Piastrine (× 103/μL) |
258 |
150-400 |
|
Neutrofili (%) |
60,4 |
40-74 |
|
Monociti (%) |
11,3 |
1-6 |
|
International Normalized Ratio |
1,0 |
0,8-1,2 |
|
Tempo di tromboplastina parziale attivata (ratio) |
1,0 |
0,8-1,2 |
|
Sodio (mmol/L) |
139 |
135-150 |
|
Potassio (mmol/L) |
4,5 |
3,5-5,3 |
|
Urea (mg/dL) |
36 |
10-50 |
|
Creatinina (mg/dl) |
0,9 |
0,67-1,17 |
|
Proteina C reattiva (mg/dL) |
1,52 |
<0,5 |
Tabella II. Esami ematici al secondo ricovero

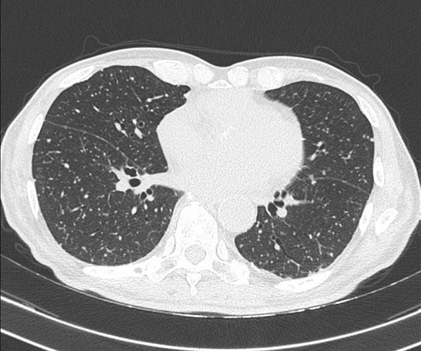
Figura 3. TC torace
L’urocoltura e le emocolture, che vennero subito eseguite in Pronto Soccorso, risultarono negative. Gli esami ematici mostravano persistenza di lieve leucopenia con proteina C reattiva (PCR) sempre modestamente mossa; i restanti esami di routine erano negativi (Tabella II).
Il Quantiferon Test (o Interferon Gamma Release Assay – IGRA, conosciuto anche come test di rilascio dell’interferon gamma dopo stimolazione dei linfociti del paziente con antigeni del Mycobacterium complex) risultava oltre i limiti della positività verso tutti gli antigeni testati (>10 con normalità di 0).
Il paziente veniva successivamente sottoposto a TC torace con riscontro di un quadro compatibile con TBC miliare (Figura 3).
Pertanto, veniva discusso il caso con gli pneumologi e il paziente veniva sottoposto a broncoscopia per la ricerca del Bacillo di Koch (BK): la PCR per BK risultò negativa, così come l’esame colturale a 60 giorni.
Risultarono invece positive le ricerche del BK per Mycobacterium complex nelle urine, sia con la metodica PCR sia con l’esame colturale.
Il caso venne discusso con la Tisiologia dell’ospedale Niguarda di Milano, con il quale si giunse alla conclusione che il paziente aveva una BCGite. Tale diagnosi venne effettuata in quanto il paziente presentava una intradermoreazione di Mantoux negativa prima dell’istillazione endovescicale di BCG, mentre, in quel momento, il Quantiferon risultava fortemente positivo. Il Quantiferon era stato preferito a una nuova intradermoreazione di Mantoux per lo stato cachettico del paziente, che poteva far presupporre una falsa negatività da iporeattività; inoltre non era noto lo stato vaccinale verso il Micobatterio tubercolare. In questi casi il Quantiferon è più affidabile. Inoltre erano presenti: neutropenia lieve, PCR solo minimamente mossa e non significativamente elevata, PCR BK su urine positivo, reperti miliari polmonari. Infine il paziente, dopo le istillazioni, manifestava sintomi suggestivi quali febbre, tosse, prostrazione e calo ponderale (circa 3 kg in 2 mesi). Giunti a conclusione diagnostica, si concordava per l’inizio di un protocollo terapeutico per 2 mesi con 4 farmaci:
Successivamente venne stabilito un protocollo terapeutico per 4 mesi con solo due farmaci (isoniazide 300 mg 1 cp/die e rifampicina 600 mg 1 cp/die).
Non veniva usata la classica pirazinamide poiché solitamente Mycobacterium bovis è resistente a questo farmaco. Il paziente, che era diventato cachettico, dopo due settimane di trattamento divenne apiretico, non soffriva più di sudorazioni notturne e si sentiva meno astenico.
Dopo due mesi dall’inizio della terapia specifica, il peso corporeo incrementava di 5 kg. Il trattamento specifico è stato tollerato in modo accettabile anche se si è manifestato un incremento di circa 2-3 volte dei valori delle transaminasi, che comunque non ha compromesso la prosecuzione del trattamento.
Discussione e revisione della letteratura
Meccanismi di attivazione immunitaria
Il meccanismo del BCG come agente immunoterapico per il trattamento del cancro della vescica non è completamente compreso. Si pensa che esso induca, come precedentemente scritto, l’attivazione immunitaria locale, determinando la morte delle cellule tumorali. Le complicanze associate all’immunoterapia con BCG possono essere rappresentate da una reazione d’ipersensibilità, un’infezione attiva o entrambe. La persistenza di BCG nella vescica può facilitare un’attivazione immunitaria e aumenta potenzialmente il rischio di un’infezione sistemica tardiva. In uno studio sull’instillazione intravescicale non complicata in 49 pazienti, BCG è stato rilevato nel 96%, 68% e 27% dei campioni di urina rispettivamente 2 ore, 24 ore e 7 giorni dopo l’instillazione [10].
BCG: effetti collaterali
In alcuni casi clinici sono stati osservati granulomi alla biopsia bronchiale o polmonare, con colorazione e coltura negative per bacilli acido-resistenti, test molecolari negativi e risposta clinica favorevole alla somministrazione di corticosteroidi sistemici: questi risultati suggeriscono una reazione di ipersensibilità [11]. Tuttavia, in altri casi clinici, sono stati osservati organismi vitali e/o test molecolari positivi in una varietà di tessuti al di fuori della vescica [11-23]. È probabile che i microrganismi ottengano l’accesso alla circolazione sistemica attraverso l’interruzione uroepiteliale, diffondendosi così a livello sistemico.
L’infezione da BCG in qualsiasi sito è relativamente rara [6,24]. Tra il 2004 e il 2015, 118 casi di infezione da BCG sono stati segnalati al National Tuberculosis Surveillance System degli Stati Uniti [24].
Il BCG intravescicale è associato a complicanze infettive in circa l’1-5% dei casi [4,8,25].
In uno studio di coorte retrospettivo, che includeva 6.753 pazienti trattati con BCG intravescicale, l’infezione da BCG si è sviluppata nell’1% dei casi [4].
In una revisione della letteratura che ha coinvolto più di 250 pazienti, sono state osservate complicanze infettive nel 4,3% dei casi [8].
I marcatori di rischio per infezione sistemica associata a BCG intravescicale includono [26-28]:
La probabilità di sviluppare complicanze correlate a BCG sembra dipendere maggiormente dalle caratteristiche dell’ospite (come la presenza di danno della mucosa vescicale o la presenza di immunosoppressione) e da altri fattori, tra cui la dose di BCG, il numero di instillazioni di BCG o l’intervallo di tempo trascorso dalla chirurgia transuretrale [8].
Le manifestazioni cliniche dell’infezione a esordio precoce (entro ≤3 mesi dall’instillazione del BCG) differiscono da quelle dell’infezione a esordio ritardato (>3 mesi dopo l’instillazione del BCG). I dati sono limitati a piccole case series e case report [7,26,29-34].
L’infezione da BCG a esordio precoce
L’infezione da BCG a esordio precoce si presenta spesso, come nel nostro caso clinico, con manifestazioni sistemiche. In piccole casistiche di pazienti con infezione a esordio precoce, le manifestazioni includevano sintomi costituzionali (febbre, sudorazione, perdita di peso) esattamente come nel nostro caso, nonché polmonite ed epatite [31,32].
L’infezione da BCG a esordio ritardato
L’infezione da BCG a esordio ritardato si presenta spesso con malattia localizzata e colture micobatteriche urinarie positive; meno comunemente, può verificarsi una malattia sistemica a esordio ritardato [29,31-34].
In uno studio che includeva 15 pazienti con coinvolgimento a esordio ritardato, è stata osservata una malattia localizzata nel 75% dei pazienti; i siti di coinvolgimento includevano il tratto genito-urinario, le strutture vascolari, l’osso, il retroperitoneo e la parete toracica [31].
In un’altra casistica, comprendente sette pazienti con infezione a insorgenza ritardata, sono stati osservati sintomi vescicali isolati (frequenza, urgenza, ematuria macroscopica e incontinenza); in tre casi, sono stati osservati sintomi sistemici (sintomi costituzionali oltre a tosse, stato mentale alterato, artrite). In due casi, un paziente presentava sintomi sistemici e localizzati e un paziente era asintomatico, ma con un’ulcera mucosa non cicatrizzata alla cistoscopia [32].
La coltura di micobatteri urinari è risultata positiva nel 90% dei casi. Il tempo medio dall’instillazione del BCG alla diagnosi è stato di 35 mesi.
In una casistica che comprendeva 13 pazienti con presentazione ritardata di lesioni vescicali durante la cistoscopia di follow-up di routine (mediana di 8 mesi dopo l’instillazione del BCG), la metà era asintomatica; il resto aveva urgenza, frequenza e/o dolore [29]. Tutti i pazienti avevano una lesione focale granulomatosa o ulcerosa nella vescica e tutti avevano colture micobatteriche urinarie positive. Il tempo mediano dall’intervento chirurgico transuretrale all’instillazione di BCG è stato di 30 giorni, il numero mediano di instillazioni di BCG è stato di 6 e il tempo mediano dall’ultima instillazione all’insorgenza dell’infezione è stato di 13,5 giorni (intervallo interquartile 2-195 giorni).
Caratteristiche della malattia localizzata a esordio ritardato
La malattia localizzata si presenta tipicamente con un’infezione a esordio ritardato (>3 mesi dopo l’instillazione del BCG) e coinvolge il tratto genito-urinario; le manifestazioni possono includere [1,35-39]:
Sintomi comuni nell'immediato
La maggior parte dei pazienti sviluppa sintomi di irritazione della vescica, come disuria e pollachiuria, entro due o quattro ore dall’instillazione del BCG. Questi sintomi possono essere accompagnati da febbre di basso grado e malessere, specialmente nei pazienti che hanno ricevuto precedenti instillazioni intravescicali [6]. Tali manifestazioni generalmente si risolvono entro 48 ore. La persistenza o l’escalation dei sintomi genito-urinari dovrebbe richiedere un’indagine sull’infezione attiva, dovuta a BCG o altri agenti patogeni batterici.
Diagnosi differenziale
I sintomi dovuti a una malattia localizzata associata a BCG intravescicale possono essere indistinguibili da quelli attribuibili a un’infezione batterica del tratto urinario (UTI) non correlata a BCG: questo è quanto è accaduto con il nostro paziente. Per questo motivo, il sospetto clinico per M. bovis BCG come potenziale agente eziologico deve essere mantenuto nei pazienti che presentano sintomi di infezione delle vie urinarie (IVU) in un contesto clinico appropriato.
Distretti coinvolti e modalità di diffusione
La cistite persistente (manifestata come grave urgenza, pollachiuria e disuria) anche dopo l’interruzione del BCG suggerisce lo sviluppo di una cistite BCG. Questa è una condizione rara che si presenta con sintomi sistemici e piuria sterile. I sintomi possono persistere per settimane o mesi nonostante la terapia antimicobatterica, suggerendo la coesistenza di una componente di ipersensibilità. Cistoscopicamente, la vescica appare rossa, carnosa e irritata, tipicamente con infiammazione acuta e granulomatosa [32,40].
L’infezione da M. bovis BCG può diffondersi localmente dalla vescica per coinvolgere altre strutture all’interno del tratto genito-urinario. Tali infezioni includono ulcerazione granulomatosa del glande, prostatite, epididimite, ostruzione ureterale, contrattura della vescica e ascesso renale [35-37].
La prostatite da M. bovis BCG è relativamente comune, ma spesso asintomatica. In una serie comprendente 12 pazienti sottoposti a cistoprostatectomia per la gestione del cancro invasivo della vescica dopo un precedente trattamento con BCG intravescicale, in 9 casi è stata osservata prostatite granulomatosa; di questi, 7 avevano una colorazione positiva per bacilli acido-resistenti [41].
L’infezione da M. bovis BCG può presentarsi anni dopo la terapia intravescicale con BCG [38].
La malattia sistemica si verifica quando BCG si diffonde al di fuori del tratto genito-urinario attraverso il flusso sanguigno in altri siti [1,13,31]. Le complicanze sistemiche si presentano spesso con l’infezione a esordio precoce, ma l’insorgenza dell’infezione può essere ritardata.
L’infezione disseminata da BCG (sotto forma di malattia miliare, sepsi o febbre associata al coinvolgimento d’organo) è la forma più comunemente riportata in letteratura ed è proprio quella osservata nel nostro paziente; in una revisione, tale forma ha rappresentato un terzo dei casi [8].
L’esordio di una sepsi può comparire anche subito dopo che è avvenuta l’instillazione di BCG; le manifestazioni includono una caratteristica febbre diurna tardiva ricorrente con sudorazione notturna e brividi; la progressione può essere rapida e determinare ipotensione, coagulazione intravascolare disseminata e insufficienza respiratoria [36]. Il meccanismo è probabilmente attribuibile al rilascio di citochine [42].
Alcuni casi di sepsi ad esordio ritardato sono stati descritti anni dopo un trattamento con BCG apparentemente semplice. La compromissione del sistema immunitario (per esempio a causa della somministrazione di glucocorticoidi o immunosoppressori sistemici) può causare la riattivazione di un focus dormiente [26,43].
Se vengono coinvolti i polmoni, il paziente può manifestare dispnea e può verificarsi una progressione verso la compromissione respiratoria. Inoltre, sono stati descritti casi relativamente asintomatici o subclinici [34,44].
Il nostro paziente mostrava una modesta tosse non produttiva.
In alcuni pazienti con infezione disseminata da BCG, la radiografia del torace o la tomografia computerizzata (TC) mostrano un pattern nodulare o interstiziale miliare, talvolta associato ad adenopatia ilare; questi rilievi sono osservati più frequentemente in associazione con sepsi [10,45]. La sensibilità della radiografia del torace è limitata; in una serie comprendente 216 pazienti con infezione sistemica da BCG, la radiografia del torace non è riuscita a rivelare un pattern miliare in circa il 25% dei pazienti con polmonite successivamente identificata tramite TC [8].
Sono state descritte altre manifestazioni polmonari, compreso il versamento pleurico [46].
Un’altra rara complicanza del BCG intravescicale è l’epatite granulomatosa; questa può insorgere come complicanza precoce o ritardata [6,47,48]. Le manifestazioni cliniche includono febbre, anoressia e ittero. Questa condizione può manifestarsi isolatamente o in associazione con malattie in altri siti (per esempio tratto genitourinario, tratto respiratorio, siti vascolari) [49,50].
Anche l’osteomielite è una rara complicanza del BCG intravescicale. La maggior parte dei casi segnalati coinvolge la colonna vertebrale, presumibilmente a causa della diffusione dal tratto urinario attraverso il plesso di Batson [51-53]. È stato anche descritto il coinvolgimento osseo al di fuori della colonna vertebrale.
I pazienti con spondilite si presentano con mal di schiena e possono avere debolezza motoria corrispondente al metamero interessato. L’infezione vertebrale può essere accompagnata da un ascesso del muscolo psoas: in questi casi si possono osservare dolore all’anca e incapacità a estendere la gamba [53]. Inoltre, l’infezione vertebrale può anche essere accompagnata da un’infezione vascolare micotica [54].
Le complicanze osteoarticolari del BCG intravescicale sono rare e includono l’artrite reattiva e l’infezione osteoarticolare [55]:
L’ascesso dello psoas può verificarsi come complicanza dell’installazione di BCG intravescicale, da solo o in combinazione con osteomielite vertebrale e/o infezione vascolare [16].
Sono stati descritti casi di infezione delle protesi ortopediche [59-62].
Anche le complicanze vascolari associate al BCG intravescicale sono rare. Casi clinici hanno descritto aneurismi micotici che coinvolgono l’aorta addominale o toracica; questi includono un caso con successivo coinvolgimento di un innesto aortico e un altro con coinvolgimento di più siti, incluso un aneurisma carotideo [17,23,50,63]. Il coinvolgimento vascolare può svilupparsi attraverso la disseminazione ematogena dei vasa vasorum della parete arteriosa o come risultato di un’estensione contigua da un sito adiacente (come un corpo vertebrale o linfonodi perivascolari) [8].
Le manifestazioni cliniche includono febbre di basso grado, malessere e perdita di peso. In uno studio clinico il coinvolgimento vascolare era associato a un tasso di mortalità del 16% [8].
Altre manifestazioni di infezione attiva che possono essere causate da BCG includono: febbre di origine sconosciuta accompagnata da sudorazioni notturne, anoressia, affaticamento, perdita di peso (evidenti anche nel nostro paziente) e pancitopenia. Esse si sono verificate in due pazienti che avevano granulomi nel midollo osseo e in colture di midollo osseo è stato rinvenuto M. bovis [19].
Il nostro paziente presentava lieve leucopenia con formula bilanciata.
In un’altra casistica, comprendente 10 pazienti con presentazioni simili, nove pazienti avevano granulomi del midollo osseo non caseosi mentre il decimo presentava granulomi caseosi; la coltura del midollo osseo è risultata positiva in quattro casi [33].
Le manifestazioni ematologiche comprendono citopenia con coinvolgimento granulomatoso del midollo osseo [33] e trombocitopenia immunitaria con crioglobulinemia [64]. Nei casi clinici è stata osservata sindrome emofagocitica associata a coinvolgimento del midollo osseo, anemia, ferritina plasmatica elevata e trigliceridi elevati [65].
Il coinvolgimento del sistema nervoso centrale (SNC) da parte del BCG è stato osservato in un esiguo numero di casi [4,8,22,32,66,67]; sono state descritte sia le presentazioni a esordio precoce sia quelle a esordio ritardato. Le manifestazioni comprendono meningite, tubercolomi cerebrali, ascessi cerebellari, vasculite dei piccoli vasi e sindrome di Guillain-Barré. I sintomi possono essere vaghi, inclusi vertigini, atassia, alterazioni dello stato mentale e mal di testa con o senza febbri associate, sudorazioni notturne e perdita di peso; questi possono persistere per settimane in uno schema recidivante. Segni neurologici focali possono non essere presenti fino alla fine del decorso della malattia. I reperti del liquido cerebrospinale sono quelli descritti nella malattia del SNC dovuta alla tubercolosi (linfocitosi, livelli proteici elevati, glucosio basso) [68].
Casi di endoftalmite e tubercoloma coroidale sono stati descritti in pazienti trattati con BCG intravescicale [20,21,39].
È stata descritta un’eruzione cutanea simile a una patomimia (autoeczematizzazione) associata alla somministrazione di BCG [69].
L’infezione localizzata da BCG deve essere sospettata nei pazienti trattati con BCG intravescicale che si presentano con manifestazioni a insorgenza precoce o ritardata coinvolgenti il tratto genito-urinario. L’infezione sistemica da BCG deve essere sospettata nei pazienti trattati con BCG intravescicale che presentano manifestazioni sistemiche, in particolare entro ≤3 mesi dall’instillazione del BCG.
Esami diagnostici
Rivestono una certa importanza nelle forme sistemiche di BCGite gli indici di flogosi classici: la PCR solitamente è poco mossa, mentre lo è di più la velocità di eritrosedimentazione (VES). Inoltre il paziente descritto era stato trattato con levofloxacina, nota per avere anche un effetto anti-tubercolare. Dunque, quando il paziente è stato ricoverato la prima volta e trattato con una cefalosporina di terza generazione, abbiamo creduto che avesse risposto a quel farmaco, ma probabilmente era la risposta ritardata a levofloxacina: tale risposta è infatti durata pochi giorni, dal momento che in seguito vi è stata una ricomparsa della sintomatologia febbrile.
La diagnosi definitiva di infezione da BCG può essere stabilita tramite coltura positiva di M. bovis BCG (di fluidi corporei e/o tessuti provenienti dai siti coinvolti, quando ottenibile); tuttavia, la sensibilità della colorazione e della coltura di Acid Fast Bacillus (AFB) è soggetta a limitazioni. Pertanto, nel contesto clinico ed epidemiologico appropriato e in assenza di evidenze per un’eziologia alternativa di questi risultati, una diagnosi presuntiva può essere fatta in caso di striscio positivo di bacilli acido-resistenti (di fluidi corporei o di tessuto da siti interessati), istopatologia da un sito coinvolto che mostra granulomi e/o test positivo di amplificazione dell’acido nucleico (NAA: nucleic acid amplification) su fluido o tessuto [41].
Come nel caso del nostro paziente, si eseguono contemporaneamente colture per i micobatteri, test NAA micobatterico, colorazione Gram, coltura batterica, colorazione fungina e coltura fungina, nonché altri studi guidati dal tipo di campione (ad esempio, i pazienti con coinvolgimento articolare dovrebbero essere indagati prelevando del liquido sinoviale e valutando la conta cellulare e la colorazione dei cristalli). Inoltre, i pazienti con sintomi sistemici dovrebbero essere sottoposti a imaging del torace (tomografia computerizzata o risonanza magnetica preferita rispetto alla radiografia convenzionale) per escludere il coinvolgimento polmonare.
La sensibilità dello striscio AFB, della coltura micobatterica e dei test molecolari è limitata. In una revisione di 282 casi di infezione da BCG associata alla somministrazione intravescicale di BCG (inclusi 216 pazienti con malattia sistemica), la colorazione AFB, la coltura micobatterica e il test molecolare sono risultati positivi rispettivamente nel 25%, nel 41% e nel 42% di casi [8]. La diagnosi microbiologica è stata stabilita più frequentemente tra i pazienti con infezione localizzata da BCG (53% vs 38%). Tra i pazienti sottoposti a biopsia, l’istopatologia ha dimostrato un’infiammazione granulomatosa nell’86% dei casi; i siti di biopsia con il rendimento diagnostico più elevato erano: il polmone, il midollo osseo e il fegato [14,15]. La necrosi caseosa è tipicamente assente [2].
Come nel nostro caso, i test NAA non possono distinguere tra i membri del complesso Mycobacterium tuberculosis. Nel caso clinico presentato, il batterio è stato isolato solo nell’urina ed è stato il trattamento ex juvantibus a confermare la diagnosi grazie al consistente miglioramento clinico che si era ottenuto.
Nell’ambito di un work-up non invasivo, che non fornisce una diagnosi definitiva, la decisione se proseguire la biopsia o iniziare il trattamento empirico anti-M. bovis BCG implica un’attenta considerazione dei rischi e dei benefici. Se si esegue la biopsia, è necessario inviare campioni separati per microbiologia (tra cui colorazione AFB, coltura di micobatteri, test molecolari di micobatteri, colorazione di Gram, coltura batterica, colorazione fungina e coltura fungina) e istopatologia.
È possibile utilizzare la tipizzazione molecolare per confrontare il ceppo di M. bovis BCG isolato da un paziente e il ceppo (se noto) che è stato utilizzato nel trattamento con BCG intravescicale di quell’individuo [12,43].
Sintomi patognomonici
La diagnosi differenziale deve essere fatta distinguendo i comuni, lievi sintomi post-instillazione dopo la somministrazione di BCG (fino all’85% dei pazienti) [70]. Questi includono febbre, malessere e irritazione della vescica (frequenza della minzione, disuria o lieve ematuria) entro poche ore dall’instillazione del BCG [1]. L’analisi delle urine mostra un’infiammazione aspecifica e le colture non dimostrano evidenza di infezione. Tali manifestazioni generalmente si risolvono entro 48 ore e riflettono una reazione di ipersensibilità piuttosto che una complicanza infettiva del BCG. La terapia prevede l’uso di farmaci analgesici e/o farmaci antinfiammatori non steroidei [8]. I sintomi di solito si risolvono entro 48 ore, terminate le quali il trattamento con BCG può essere proseguito come da programma.
Occasionalmente, una temperatura >39,0°C (102,5°F) può svilupparsi in modo acuto dopo la terapia con BCG, ma ciò non significa necessariamente che vi sia un’infezione attiva da M. bovis BCG. In questo contesto, potrebbe essere impossibile distinguere un evento infettivo da uno non infettivo.
La presenza a livello del tratto genitourinario di sintomi sistemici può riflettere un’infezione batterica non BCG. Fino al 20% dei pazienti che ricevono BCG intravescicale sviluppa un’infezione batterica del tratto urinario a un certo punto del trattamento [71]. I fluidi corporei e i tessuti devono essere inviati per la colorazione di Gram e la coltura batterica (oltre al trattamento per l’infezione da micobatteri).
La presenza di sintomi a carico del tratto genito-urinario e/o sistemici può riflettere un’infezione fungina. Le infezioni fungine come l’istoplasmosi e la blastomicosi sono endemiche in alcune regioni geografiche e possono causare infezioni del tratto genito-urinario. Se si sospetta un’infezione fungina del tratto urinario, l’urina può essere inviata per l’esame batterioscopico e le colture specifiche per funghi.
Raramente possono essere coinvolti altri micobatteri, che includono M. tuberculosis, M. bovis e infezioni da micobatteri non tubercolari. Questi possono essere distinti in base a fattori epidemiologici, ai risultati delle colture micobatteriche e dei test molecolari. Il test cutaneo alla tubercolina (TST) e il test di rilascio dell’IFNγ (IGRA) sono strumenti progettati per la diagnosi dell’infezione da tubercolosi; nel contesto dell’infezione da tubercolosi, uno o entrambi i test possono essere positivi.
Domande aperte
Nel contesto dell’infezione da BCG, il TST può essere positivo ma l’IGRA è negativo, poiché gli antigeni del test IGRA non sono condivisi con BCG [72]. Tuttavia, il TST e l’IGRA non stabiliscono o escludono definitivamente nessuna delle due condizioni; pertanto, questi test sono di scarso aiuto nella diagnosi della malattia attiva dovuta a M. bovis BCG o M. tuberculosis.
In questo senso rimane un dubbio non ben chiarito anche nel nostro paziente, in quanto la TC mostrava degli esiti fibrotici apicali oltre alle diffuse lesioni miliari. Si trattava quindi di una esacerbazione immunologica da parte del BCG, di un’infezione specifica misconosciuta o davvero di una BCGite? È innegabile che il test IGRA e l’esame colturale erano positivi per Mycobacterium complex.
Tra le cause alternative di malattia granulomatosa polmonare vi sono la sarcoidosi e la polmonite da ipersensibilità. Invece le cause infettive alternative di granulomi epatici includono malattie fungine, febbre Q e brucellosi. Tra le cause alternative non infettive di granulomi epatici si annoverano sarcoidosi, neoplasie e reazioni avverse a farmaci.
Trattamento
L’approccio ottimale al trattamento delle complicanze infettive associate a BCG intravescicale è incerto; non sono attualmente presenti in letteratura studi clinici a tal riguardo.
L’iter terapeutico è guidato dai case report e dall’esperienza clinica con il trattamento dell’infezione da M. bovis BCG, che è sensibile alla maggior parte dei farmaci antimicobatterici ad eccezione di cicloserina e pirazinamide [73].
In ogni caso il trattamento dipende dalla presentazione clinica.
Per i pazienti con sintomi localizzati al tratto genito-urinario, la gestione dell’infezione consiste nella terapia antimicobatterica; inoltre, la valutazione chirurgica è giustificata in caso di ascesso o ostruzione del tratto genito-urinario [8].
Nei casi di cistite BCG grave, gli steroidi sistemici (prednisone da tre a sei settimane) possono fornire un sollievo rapido e duraturo dai sintomi incessanti della cistite [32,40]. Dato il rischio di potenziamento della diffusione del BCG, il paziente deve essere mantenuto in terapia antimicobatterica mentre assume steroidi.
Il regime antimicobatterico ottimale è incerto; la gestione dovrebbe includere il coinvolgimento di un esperto nella gestione delle infezioni da micobatteri. I pazienti con infezione da BCG da M. bovis secondaria alla terapia con BCG intravescicale vengono trattati con gli stessi farmaci antitubercolari usati per trattare l’infezione da M. bovis da altre sedi. In particolare, ciò comporta una fase iniziale di isoniazide, etambutolo e rifampicina, seguita da una fase di continuazione di isoniazide e rifampicina, come discusso altrove [8].
Se sono disponibili dati sulla sensibilità, il regime dovrebbe essere adattato di conseguenza. Nel contesto di preoccupazione per la tossicità epatica, possono essere presi in considerazione agenti antimicobatterici alternativi tra cui amikacina e fluorochinoloni. La durata della terapia dipende dalla gravità della malattia e dalla risposta clinica.
Nei casi in cui non è chiaro se l’infezione sia dovuta a M. bovis BCG o a un’altra specie di micobatteri, potrebbe essere necessario ampliare il regime di trattamento per coprire più di una potenziale diagnosi microbiologica [43].
Per i pazienti con epididimo-orchite persistente nonostante la terapia antimicobatterica, possono essere giustificate l’epididimectomia e/o l’orchiectomia.
Per i pazienti con sintomi sistemici, la gestione consiste in una terapia antimicobatterica, con l’aggiunta di glucocorticoidi in alcune circostanze [8]. Inoltre, è necessaria una valutazione chirurgica in presenza di ascessi, ostruzioni del tratto genitourinario, infezioni vascolari o infezioni che coinvolgono un dispositivo protesico.
Nel contesto di un esteso coinvolgimento miliare e/o di insufficienza respiratoria, i case report descrivono l’uso di glucocorticoidi somministrati in concomitanza con agenti antimicobatterici, sulla base del potenziale ruolo dell’ipersensibilità nella patogenesi della malattia [8,25,40,70,74, 75]. Nei casi in cui si ritiene che l’ipersensibilità svolga un ruolo significativo nella malattia del paziente, suggeriamo una terapia concomitante con glucocorticoidi se si ritiene che il potenziale beneficio superi il potenziale rischio [8,70]. L’uso di glucocorticoidi è stato associato a un miglioramento clinico nei case report [40,74-76].
Non esiste un regime standard per la somministrazione di glucocorticoidi aggiuntivi; è stato descritto prednisone da 40 a 60 mg per via orale al giorno per 3-5 giorni, seguito da una graduale riduzione nell’arco di alcune settimane.
Per altre complicanze di BCG, che si presentano solo con artrite reattiva o uveite, senza segni di infezione localizzata o sistemica, il trattamento antimicobatterico non viene somministrato [8]. Tali pazienti dovrebbero essere gestiti con il coinvolgimento di un medico esperto in queste condizioni. [56].
Tra gli individui con complicanze infettive dovute a BCG intravescicale, il rischio di una somministrazione ripetuta è incerto poiché mancano i dati. Per i pazienti che hanno avuto un’infezione sistemica da BCG, si sconsiglia l’uso ripetuto di BCG intravescicale, dato il potenziale rischio di un episodio ricorrente [8].
In una revisione che includeva 282 casi di infezione da BCG associata alla somministrazione intravescicale di BCG (inclusi 216 pazienti con malattia sistemica), la mortalità attribuibile era del 5,4%; si sono verificate complicanze a lungo termine nel 7,4% dei casi (più comunemente perdita permanente dell’acuità visiva, artralgia cronica e malattia renale allo stadio terminale) [8].
Prevenzione
Si possono prevenire alcune complicanze come quelle dovute alla lesione da cateterizzazione traumatica, cistite attiva o ematuria macroscopica persistente dopo chirurgia transuretrale. In queste situazioni deve essere differita l’instillazione di BCG per almeno due o tre settimane [8].
Non ci sono interventi comprovati per prevenire le complicanze infettive associate alla somministrazione di BCG per via intravescicale. Lo screening dell’analisi delle urine in pazienti asintomatici prima della somministrazione di BCG non ha dimostrato di ridurre le complicanze infettive [77] e i pazienti con batteriuria asintomatica non richiedono un trattamento antibiotico [78].
Non si effettua la somministrazione profilattica di routine della terapia antimicobatterica in concomitanza con BCG intravescicale. Un tale intervento potrebbe ridurre l’effetto antitumorale del BCG, dato che il BCG vivo richiede la replicazione per indurre una risposta immunitaria dell’ospite. In uno studio randomizzato non in cieco che ha valutato l’efficacia profilattica di isoniazide, non è stata osservata alcuna riduzione delle complicanze infettive di BCG, con una bassa incidenza in entrambi i gruppi [79]; inoltre, è stata osservata un’infezione disseminata nonostante l’uso profilattico di isoniazide [48,52].
La riduzione della dose di BCG è stata proposta per ridurre la probabilità di complicanze non infettive ed è in studio il dosaggio ottimale.
Conclusioni
In conclusione, per quanto riguarda il caso clinico del nostro paziente, la positività del test IGRA, a fronte di una pregressa intradermoreazione di Mantoux negativa, eseguita prima di iniziare il trattamento con BCG intravescicale e il test positivo per la ricerca del genoma di Mycobacterium complex, anche in assenza di una coltura urinaria per Mycobacterium complex (il paziente era stato recentemente trattato a domicilio con un chinolonico che notoriamente ha effetto anti-tubercolare), permetteva di avere una ragionevole certezza che fosse una BCGite. Il trattamento con terapia antimicobatterica, senza l’uso di pirazinamide, permetteva un rapido recupero fisico del paziente e la scomparsa della febbre che i ripetuti cicli di antibiotici non erano riusciti a risolvere.
Key points
Bibliografia
1. Green DB, Kawashima A, Menias CO, et al. Complications of Intravesical BCG Immunotherapy for Bladder Cancer. RadioGraphics 2019; 39: 80-94; https://doi.org/10.1148/rg.2019180014
2. Marques M, Vazquez D, Sousa S, et al. Disseminated Bacillus Calmette-Guérin (BCG) infection with pulmonary and renal involvement: A rare complication of BCG immunotherapy. A case report and narrative review. Pulmonology 2020; 26: 346-52; https://doi.org/10.1016/j.pulmoe.2019.10.001
3. Gandhi NM, Morales A, Lamm DL. Bacillus Calmette-Guérin immunotherapy for genitourinary cancer: Bacillus Calmette-Guérin immunotherapy for genitourinary cancer. BJU Int 2013; 112: 288-97; https://doi.org/10.1111/j.1464-410X.2012.11754.x
4. Larsen ES, Nordholm AC, Lillebaek T, et al. The epidemiology of bacille Calmette-Guérin infections after bladder instillation from 2002 through 2017: a nationwide retrospective cohort study: BCG infections after bladder instillation. BJU Int 2019; 124: 910-6; https://doi.org/10.1111/bju.14793
5. Pearl R. Cancer and tuberculosis. Am J Epidemiol 1929; 9: 97-159; https://doi.org/10.1093/oxfordjournals.aje.a121646
6. Barza MJ, Blum JH, Graeme-Cook FM. Case 29-1998: A 57-Year-Old Man with Fever and Jaundice after Intravesical Instillation of Bacille Calmette-Guerin for Bladder Cancer. Cabot RC, Scully RE, Mark EJ, et al., eds. N Engl J Med 1998; 339: 831-7; https://doi.org/10.1056/NEJM199809173391209
7. Westhovens IM, Vanden Abeele ME, Messiaen PE, et al. Systemic BCG infection in a patient with pancytopaenia and fever 9 years after intravesical BCG administration for bladder cancer. BMJ Case Rep 2016; 2016: bcr2016215599; https://doi.org/10.1136/bcr-2016-215599
8. Pérez-Jacoiste Asín MA, Fernández-Ruiz M, López-Medrano F, et al. Bacillus Calmette-Guérin (BCG) Infection Following Intravesical BCG Administration as Adjunctive Therapy For Bladder Cancer: Incidence, Risk Factors, and Outcome in a Single-Institution Series and Review of the Literature. Medicine 2014; 93: 236-54; https://doi.org/10.1097/MD.0000000000000119
9. European Association of Urology. EAU Guidelines on Non-muscle-invasive Bladder Cancer (TAT1 and CIS). Disponibile all’indirizzo https://uroweb.org/guidelines/non-muscle-invasive-bladder-cancer (ultimo accesso luglio 2023)
10. Elkabani M, Greene JN, Vincent AL, et al. Disseminated Mycobacterium Bovis after Intravesicular Bacillus Calmette-Guérin Treatments for Bladder Cancer. Cancer Control 2000; 7: 476-81; https://doi.org/10.1177/107327480000700512
11. Mcparland C, Cotton DJ, Gowda KS, et al. Miliary Mycobacterium bovis Induced by Intravesical Bacille Calmette-Guérin Immunotherapy. Am Rev Respir Dis 1992; 146: 1330-3; https://doi.org/10.1164/ajrccm/146.5_Pt_1.1330
12. Kristjansson M, Green P, Manning HL, et al. Molecular Confirmation of Bacillus Calmette-Guerin as the Cause of Pulmonary Infection Following Urinary Tract Instillation. Clin Infect Dis 1993; 17: 228-30; https://doi.org/10.1093/clinids/17.2.228
13. Soylu A, Ince AT, Polat H, et al. Peritoneal tuberculosis and granulomatous hepatitis secondary to treatment of bladder cancer with Bacillus Calmette-Guérin. Ann Clin Microbiol Antimicrob 2009; 8: 12; https://doi.org/10.1186/1476-0711-8-12
14. Fradet V, Gaudreau C, Perrotte P, et al. Management of hepatic granulomatous tuberculosis complicating intravesical BCG for superficial bladder cancer. Can Urol Assoc J 2007; 1: 269-72; https://doi.org/10.5489/cuaj.83
15. Álvarez-Múgica M, Gómez JM, Vázquez VB, et al. Pancreatic and psoas abscesses as a late complication of intravesical administration of bacillus Calmette-Guerin for bladder cancer: a case report and review of the literature. J Med Case Rep 2009; 3: 7323; https://doi.org/10.4076/1752-1947-3-7323
16. Hakim S, Heaney JA, Heinz T, et al. Psoas abscess following intravesical bacillus Calmette-Guerin for bladder cancer: a case report. J Urol 1993; 150: 188-9; https://doi.org/10.1016/S0022-5347(17)35432-0
17. Hellinger WC, Oldenburg WA, Alvarez S. Vascular and other serious infections with Mycobacterium bovis after bacillus of Calmette-Guérin therapy for bladder cancer. South Med J 1995; 88: 1212-6; https://doi.org/10.1097/00007611-199512000-00005
18. Rohailla S, Kitchlu A, Wheatcroft M, et al. Mycotic aneurysm formation after bacillus Calmette-Guérin instillation for recurrent bladder cancer. CMAJ 2018; 190: E467-E471; https://doi.org/10.1503/cmaj.171214
19. Viallard JF, Denis D, Texier-Maugein J, et al. Disseminated infection after bacille Calmette-Guérin instillation for treatment of bladder carcinoma. Clin Infect Dis 1999; 29: 451-2; https://doi.org/10.1086/520238
20. Han DP, Simons KB, Tarkanian CN, et al. Endophthalmitis from Mycobacterium bovis-bacille Calmette-Guérin after intravesicular bacille Calmette-Guérin injections for bladder carcinoma. Am J Ophthalmol 1999; 128: 648-50; https://doi.org/10.1016/S0002-9394(99)00206-8
21. Gerbrandy SJ, Schreuders LC, de Smet MD. Mycobacterium bovis endophthalmitis from BCG immunotherapy for bladder cancer. Ocul Immunol Inflamm 2008; 16: 95-7; https://doi.org/10.1080/09273940802056273
22. Golub V, Malhotra P, Patel S. Mycobacterial brain tuberculomas due to Bacille Calmette-Guérin intravesical chemotherapy for bladder cancer: A case report and literature review. Can J Infect Dis Med Microbiol 2011; 22: 104-6; https://doi.org/10.1155/2011/869286
23. Wolf YG, Wolf DG, Higginbottom PA, et al. Infection of a ruptured aortic aneurysm and an aortic graft with bacille Calmette-Guérin after intravesical administration for bladder cancer. J Vasc Surg 1995; 22: 80-4; https://doi.org/10.1016/S0741-5214(95)70092-7
24. Wansaula Z, Wortham JM, Mindra G, et al. Bacillus Calmette-Guérin Cases Reported to the National Tuberculosis Surveillance System, United States, 2004-2015. Emerg Infect Dis 2019; 25: 451-6; https://doi.org/10.3201/eid2503.180686
25. Lamm DL, van der Meijden PM, Morales A, et al. Incidence and treatment of complications of bacillus Calmette-Guerin intravesical therapy in superficial bladder cancer. J Urol 1992; 147: 596-600; https://doi.org/10.1016/S0022-5347(17)37316-0
26. Izes JK, Bihrle W 3rd, Thomas CB. Corticosteroid-associated fatal mycobacterial sepsis occurring 3 years after instillation of intravesical bacillus Calmette-Guerin. J Urol 1993; 150: 1498-500; https://doi.org/10.1016/S0022-5347(17)35824-X
27. Heiner JG, Terris MK. Effect of advanced age on the development of complications from intravesical bacillus Calmette-Guérin therapy. Urol Oncol 2008; 26: 137-40; https://doi.org/10.1016/j.urolonc.2007.04.005
28. Catalona WJ, Ratliff TL. Bacillus Calmette-Guérin and superficial bladder cancer. Clinical experience and mechanism of action. Surg Annu 1990; 22: 363-78
29. Ströck V, Dotevall L, Sandberg T, et al. Late bacille Calmette-Guérin infection with a large focal urinary bladder ulceration as a complication of bladder cancer treatment. BJU Int 2011; 107: 1592-7; https://doi.org/10.1111/j.1464-410X.2010.09923.x
30. Mavrogenis AF, Sakellariou VI, Tsiodras S, et al. Late Mycobacterium bovis spondylitis after intravesical BCG therapy. Joint Bone Spine 2009; 76: 296-300; https://doi.org/10.1016/j.jbspin.2008.10.011
31. Gonzalez OY, Musher DM, Brar I, et al. Spectrum of bacille Calmette-Guérin (BCG) infection after intravesical BCG immunotherapy. Clin Infect Dis 2003; 36: 140-4; https://doi.org/10.1086/344908
32. Yong C, Steinberg RL, O’Donnell MA. Severe Infectious Complications of Intravesical Bacillus Calmette-Guérin: A Case Series of 10 Patients. Urology 2020; 137: 79-83; https://doi.org/10.1016/j.urology.2019.10.013
33. Dammert P, Boujaoude Z, Rafferty W, et al. Fever of unknown origin and pancytopenia caused by culture-proven delayed onset disseminated bacillus Calmette-Guérin (BCG) infection after intravesical instillation. BMJ Case Rep 2013; 2013: bcr2013008949; https://doi.org/10.1136/bcr-2013-008949
34. Mehta AR, Mehta PR, Mehta RL. A cough conundrum in a patient with a previous history of BCG immunotherapy for bladder cancer. BMJ Case Rep 2012; 2012; bcr2012007327; https://doi.org/10.1136/bcr-2012-007327
35. Lamm DL, Stogdill VD, Stogdill BJ, et al. Complications of bacillus Calmette-Guerin immunotherapy in 1,278 patients with bladder cancer. J Urol 1986; 135: 272-4; https://doi.org/10.1016/S0022-5347(17)45606-0
36. Lamm DL. Complications of bacillus Calmette-Guérin immunotherapy. Urol Clin North Am 1992; 19: 565-72; https://doi.org/10.1016/S0094-0143(21)00423-7
37. French CG, Hickey L, Bell DG. Caseating granulomas on the glans penis as a complication of Bacille Calmette-Guérin intravesical therapy. Rev Urol 2001; 3: 36-8
38. Menke JJ, Heins JR. Epididymo-orchitis following intravesical bacillus Calmette-Guérin therapy. Ann Pharmacother 2000; 34: 479; https://doi.org/10.1345/aph.19212
39. Ceylan OM, Durukan AH, Uysal Y, et al. Ocular Complications of Intravesicular BCG Treatment for Bladder Carcinoma. Ocul Immunol Inflamm 2022; 30: 111-4; https://doi.org/10.1080/09273948.2020.1783323
40. Wittes R, Klotz L, Kosecka U. Severe bacillus Calmette-Guerin cystitis responds to systemic steroids when antituberculous drugs and local steroids fail. J Urol 1999; 161: 1568-9; https://doi.org/10.1016/S0022-5347(05)68961-6; https://doi.org/10.1097/00005392-199905000-00046
41. LaFontaine PD, Middleman BR, Graham SD Jr, et al. Incidence of granulomatous prostatitis and acid-fast bacilli after intravesical BCG therapy. Urology 1997; 49: 363-6; https://doi.org/10.1016/S0090-4295(96)00507-9
42. Rival G, Garot D, Mercier E, et al. [Acute respiratory failure and septic shock induced by Mycobacterium bovis. A rare side effect of intravesical BCG therapy]. Presse Med 2006; 35: 980-2; https://doi.org/10.1016/S0755-4982(06)74732-7
43. Ziegler J, Ho J, Gibson IW, et al. Disseminated Mycobacterium bovis infection post-kidney transplant following remote intravesical BCG therapy for bladder cancer. Transpl Infect Dis 2018; 20: e12931; https://doi.org/10.1111/tid.12931
44. Choi CH, Lee SO, Smith G. Subclinical miliary Mycobacterium bovis following BCG immunotherapy for transitional cell carcinoma of the bladder. BMJ Case Rep 2014; 2014: bcr2013201202; https://doi.org/10.1136/bcr-2013-201202
45. Mignon F, Chevrière A, Mesurolle B, et al. [Miliary induced by intravesical BCG immunotherapy for carcinoma of the bladder: CT Findings]. J Radiol 2002; 83: 368-71
46. Rachakonda T, Kendall B, Spivak AM, et al. Pleural Effusion Caused by Bacillus Calmette-Guérin Immunotherapy for Bladder Cancer. Open Forum Infect Dis 2017; 4: ofx126; https://doi.org/10.1093/ofid/ofx126
47. Proctor DD, Chopra S, Rubenstein SC, et al. Mycobacteremia and granulomatous hepatitis following initial intravesical bacillus Calmette-Guerin instillation for bladder carcinoma. Am J Gastroenterol 1993; 88: 1112-5
48. Thompson D, Cumming J. Granulomatous hepatitis following intravesical BCG therapy. Br J Urol 1990; 66: 432-3; https://doi.org/10.1111/j.1464-410X.1990.tb14971.x
49. Modesto A, Marty L, Suc JM, et al. Renal complications of intravesical bacillus Calmette-Guérin therapy. Am J Nephrol 1991; 11: 501-4; https://doi.org/10.1159/000168368
50. Kamphuis JT, Buiting AG, Miseré JF, et al. BCG immunotherapy: be cautious of granulomas. Disseminated BCG infection and mycotic aneurysm as late complications of intravesical BCG instillations. Neth J Med 2001; 58: 71-5; https://doi.org/10.1016/S0300-2977(00)00098-X
51. Katz DS, Wogalter H, D’Esposito RF, et al. Mycobacterium bovis vertebral osteomyelitis and psoas abscess after intravesical BCG therapy for bladder carcinoma. Urology 1992; 40: 63-6; https://doi.org/10.1016/0090-4295(92)90439-4
52. Fishman JR, Walton DT, Flynn NM, et al. Tuberculous spondylitis as a complication of intravesical bacillus Calmette-Guerin therapy. J Urol 1993; 149: 584-7; https://doi.org/10.1016/S0022-5347(17)36155-4
53. Aljada IS, Crane JK, Corriere N, et al. Mycobacterium bovis BCG causing vertebral osteomyelitis (Pott's disease) following intravesical BCG therapy. J Clin Microbiol 1999; 37: 2106-8; https://doi.org/10.1128/JCM.37.6.2106-2108.1999
54. Kusakabe T, Endo K, Nakamura I, et al. Bacille Calmette-Guérin (BCG) spondylitis with adjacent mycotic aortic aneurysm after intravesical BCG therapy: a case report and literature review. BMC Infect Dis 2018; 18: 290; https://doi.org/10.1186/s12879-018-3205-7
55. Clavel G, Grados F, Lefauveau P, et al. Osteoarticular side effects of BCG therapy. Joint Bone Spine 2006; 73: 24-8; https://doi.org/10.1016/j.jbspin.2004.12.003
56. Tinazzi E, Ficarra V, Simeoni S, et al. Reactive arthritis following BCG immunotherapy for urinary bladder carcinoma: a systematic review. Rheumatol Int 2006; 26: 481-8; https://doi.org/10.1007/s00296-005-0059-2
57. Miranda S, Verdet M, Héron F, et al. [Acute reactive arthritis after intravesical instillation of bacillus Calmette-Guérin. Two case reports and literature review]. Rev Med Interne 2010; 31: 558-61; https://doi.org/10.1016/j.revmed.2010.01.010
58. Ng KL, Chua CB. Reiter’s syndrome postintravesical Bacillus Calmette-Guérin instillations. Asian J Surg 2017; 40: 163-5; https://doi.org/10.1016/j.asjsur.2014.01.016
59. Guerra CE, Betts RF, O’Keefe RJ, et al. Mycobacterium bovis osteomyelitis involving a hip arthroplasty after intravesicular bacille Calmette-Guérin for bladder cancer. Clin Infect Dis 1998; 27: 639-40; https://doi.org/10.1086/514714
60. Segal A, Krauss ES. Infected total hip arthroplasty after intravesical bacillus Calmette-Guérin therapy. J Arthroplasty 2007; 22: 759-62; https://doi.org/10.1016/j.arth.2006.07.010
61. Reigstad O, Siewers P. A total hip replacement infected with mycobacterium bovis after intravesicular treatment with Bacille-Calmette-Guérin for bladder cancer. J Bone Joint Surg Br 2008; 90-B: 225-7; https://doi.org/10.1302/0301-620X.90B2.20038
62. Rosevear HM, Lightfoot AJ, Nepple KG, et al. Safety and efficacy of intravesical bacillus Calmette-Guérin plus interferon α-2b therapy for nonmuscle invasive bladder cancer in patients with prosthetic devices. J Urol 2010; 184: 1920-4; https://doi.org/10.1016/j.juro.2010.06.149
63. Coscas R, Arlet JB, Belhomme D, et al. Multiple mycotic aneurysms due to Mycobacterium bovis after intravesical bacillus Calmette-Guérin therapy. J Vasc Surg 2009; 50: 1185-90; https://doi.org/10.1016/j.jvs.2009.06.004
64. Granel B, Serratrice J, Morange PE, et al. Cryoglobulinemia vasculitis following intravesical instillations of bacillus Calmette-Guerin. Clin Exp Rheumatol 2004; 22: 481-2
65. Misra S, Gupta A, Symes A, et al. Haemophagocytic syndrome after intravesical bacille Calmette-Guérin instillation. Scand J Urol 2014; 48: 328-30; https://doi.org/10.3109/21681805.2013.836724
66. Sheron MW, Holt SL, Ingram CW. Mycobacterium bovis Cerebellar Abscess Following Treatment With Bacillus Calmette-Guérin. J Pharm Pract 2017; 30: 378-80; https://doi.org/10.1177/0897190016636533
67. Parent ME, Richer M, Liang P. The first case of bacillus Calmette-Guérin-induced small-vessel central nervous system vasculitis. Clin Rheumatol 2018; 37: 2297-302; https://doi.org/10.1007/s10067-018-4136-9
68. Rock RB, Olin M, Baker CA, et al. Central nervous system tuberculosis: pathogenesis and clinical aspects. Clin Microbiol Rev 2008; 21: 243-61; https://doi.org/10.1128/CMR.00042-07
69. Lowther C, Miedler JD, Cockerell CJ. Id-like reaction to BCG therapy for bladder cancer. Cutis 2013; 91: 145-6
70. Larsen ES, Joensen UN, Poulsen AM, et al. Bacillus Calmette-Guérin immunotherapy for bladder cancer: a review of immunological aspects, clinical effects and BCG infections. APMIS 2020; 128: 92-103; https://doi.org/10.1111/apm.13011
71. Smith JA Jr, Labasky RF, Cockett AT, et al. Bladder cancer clinical guidelines panel summary report on the management of nonmuscle invasive bladder cancer (stages Ta, T1 and TIS). The American Urological Association. J Urol 1999; 162: 1697; https://doi.org/10.1097/00005392-199911000-00040
72. Silverman MS, Reynolds D, Kavsak PA, et al. Use of an interferon-gamma based assay to assess bladder cancer patients treated with intravesical BCG and exposed to tuberculosis. Clin Biochem 2007; 40: 913-5; https://doi.org/10.1016/j.clinbiochem.2007.04.006
73. Durek C, Rüsch-Gerdes S, Jocham D, et al. Sensitivity of BCG to modern antibiotics. Eur Urol 2000; 37 Suppl 1: 21-5; https://doi.org/10.1159/000052378
74. Steg A, Leleu C, Debré B, et al. Systemic bacillus Calmette-Guerin infection in patients treated by intravesical BCG therapy for superficial bladder cancer. Prog Clin Biol Res 1989; 310: 325-34
75. Molina JM, Rabian C, D’Agay MF, et al. Hypersensitivity systemic reaction following intravesical bacillus Calmette-Guerin: successful treatment with steroids. J Urol 1992; 147: 695-7; https://doi.org/10.1016/S0022-5347(17)37354-8
76. Lamm DL. Efficacy and safety of bacille Calmette-Guérin immunotherapy in superficial bladder cancer. Clin Infect Dis 2000; 31 Suppl 3: S86-S90; https://doi.org/10.1086/314064
77. Zhao LC, Meeks JJ, Helfand BT, et al. Screening urine analysis before bacille Calmette-Guérin instillation does not reduce the rate of infectious complications. BJU Int 2012; 109: 1819-21; https://doi.org/10.1111/j.1464-410X.2011.10735.x
78. Herr HW. Outpatient urological procedures in antibiotic-naive patients with bladder cancer with asymptomatic bacteriuria. BJU Int 2012; 110: E658-E660; https://doi.org/10.1111/j.1464-410X.2012.11405.x
79. Van der Meijden AP, Brausi M, Zambon V, et al. Intravesical instillation of epirubicin, bacillus Calmette-Guerin and bacillus Calmette-Guerin plus isoniazid for intermediate and high risk Ta, T1 papillary carcinoma of the bladder: a European Organization for Research and Treatment of Cancer genito-urinary group randomized phase III trial. J Urol 2001; 166: 476-81; https://doi.org/10.1016/S0022-5347(05)65966-6; https://doi.org/10.1097/00005392-200108000-00016