Operative Management of Cecal Volvulus Herniating Through the Foramen of Winslow
Ava Yap 1, Jonathan Freise 1, Beverly Bolinger 2, Ahmed Alkoraishi 2
1 Department of Surgery, University of California San Francisco, San Francisco, California, USA
2 Department of Surgery, Kaiser Permanente, San Francisco, California, USA
Abstract
Cecal volvulus is a surgical emergency which is associated with the risk for bowel ischemia and perforation. Occasionally, volvulus can be caused by an internal hernia.
We report the case of a 73-year-old woman with no prior surgical history who had abrupt onset abdominal pain, distension, bilious emesis, and obstipation. Computed tomographic imaging showed a twisted, dilated cecum within the lesser sac with the base of the volvulus at the foramen of Winslow and mass effect against a decompressed stomach. In the operating room, the patient underwent exploratory laparotomy, reduction of the cecal volvulus through the lesser sac, and right hemicolectomy with primary ileocolic anastomosis.
Given the substantial morbidity and mortality risk if a closed loop obstruction is left untreated, it is of paramount importance to consider internal hernias as a potential cause to allow an early diagnosis and an urgent surgical treatment.
Keywords: Cecal Volvulus; Internal Hernia; Foramen of Winslow
CMI 2022; 16(1): 1-5
http://dx.doi.org/10.7175/cmi.v16i1.1514
Case Report
Why Do we Describe This Case
In some rare cases, cecal volvulus has a highly unusual anatomy, i.e., with internal herniation through the foramen of Winslow. As it comes of a surgical emergency, a prompt diagnosis is mandatory. Successful surgical reduction of the cecum through the foramen of Winslow requires a combination of gentle and firm detorsion and decompression of the distended cecum
Introduction
Cecal volvulus, which is the torsion of the cecum and ascending large intestine, makes up 1-3% of all large bowel obstructions and has a greater prevalence in young females [1]. Mortality from cecal volvulus is approximately 6.6%, and is often caused by a closed loop obstruction leading to ischemia, gangrenous bowel, perforation, and peritonitis [2]. This condition usually arises from a spontaneous twist of redundant colon, though it can also be induced by colonic contents traversing through an internal hernia. Naturally occurring intra-abdominal spaces in which internal hernias can arise include paraduodenal, foramen of Winslow, transmesenteric, paracecal, intersigmoid, and paravesical [3]. Herniation through the foramen of Winslow is the rarest form of internal hernia, accounting for about 8% of all internal hernias and 0.1% of all abdominal hernias [4]. We report a case of cecal herniation through the foramen of Winslow.
Case Presentation
A 73-year-old woman with a history of hypothyroidism, obstructive sleep apnea, gastroesophageal reflux disease (GERD), inflammatory bowel syndrome (IBS), and no prior surgical history presented to the emergency department after one day of lower abdominal pain, bilious emesis, and nausea. A home bowel regimen did not relieve her pain, which she reported as radiating to the epigastric area. Her vitals on presentation were overall unremarkable (Table I).
|
Parameter |
Detected level |
Normal range |
|
Blood Pressure (mmHg) |
140/70 |
90–120/60–80 |
|
Temperature (°F) |
97.8 |
95.0–99.5 |
|
Heart rate (beats/min) |
61 |
60–100 |
|
Oxygen saturation (%) |
99 |
≥92 |
|
Respiratory rate (breaths/min) |
16 |
12–20 |
|
Body mass index (kg/m²) |
21.5 |
18.5–24.9 |
|
White blood cells (cells/µl) |
8700 |
4500–11,000 |
Table I. Objective quantitative patient’s data.

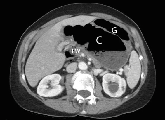
Figure 1. A computerized tomography in axial orientation shows the distended cecal loop (C) containing an air fluid level, situated inside the lesser sac behind the relatively decompressed gastric bubble (G). The foramen of Winslow is also visualized (FW) with colonic gas spanning either side.
Her body mass index was 21.5 kg/m2. Physical examination demonstrated a very distended abdomen with mild tenderness at the epigastrium without rebound and guarding. Laboratory values were unremarkable, with normal white blood count (Table I). A computerized tomography (CT) scan of the abdomen and pelvis with intravenous contrast demonstrated apparent cecal displacement, with volvulus into the lesser sac without any bowel compromise or signs of ischemia (Figure 1).
Following nasogastric tube placement for decompression and antibiotic administration, she was brought to the operating room for an exploratory laparotomy.
After entry into the abdomen, the transverse colon was noted to be floppy and redundant. The length of the small bowel was run from the ligament of Trietz to the fold of Treves. At this point, it was noted the terminal ileum was tethered towards the posterior right upper quadrant. After exposing the right paracolic gutter, the ascending colon was noted to be floppy and recoiling back up behind the stomach through the foramen of Winslow. After further dissection, it was noted the cecum, appendix, terminal ileum, and proximal ascending colon traveled through the foramen of Winslow and volvulized around its mesentery into the lesser sac, consistent with an internal hernia with closed loop obstruction.
The lesser sac was entered at the location of the transverse mesocolon as well as above the lesser curvature of the stomach, where the dilated cecum was delivered through the newly created defect (Figure 2).
After multiple rounds of manual decompression of obvious stool and gas of the involved intestine, we were able to decompress the cecum into a size that could be reduced through the foramen of Winslow (Figure 3).

Figure 2. The lesser sac (arrow) was opened to externalize the entrapped and congested cecal volvulus (arrowhead) before its detorsion and decompression.

Figure 3. The decompressed and reduced cecum with appendix and terminal ileum, once reduced through the foramen of Winslow.
The right colon, terminal ileum with appendix were resected and a side-to-side stapled anastomosis was made between the transverse colon and ileum, and the foramen of Winslow was approximated with a Vicryl stitch. The abdomen was then closed in standard fashion.
The patient’s postoperative course was remarkable only for Clostridium difficile infection, which was detected on postoperative day 5 and was treated with oral vancomycin. She tolerated stepwise diet advancement and, by the day of discharge on postoperative day 9, she was ambulating independently, had pain controlled with oral medications, and was tolerating a regular diet. Pathology demonstrated attenuation of bowel wall with vascular dilation and congestion compatible with volvulus, along with four benign lymph nodes and an appendix notable for a low grade appendiceal mucinous neoplasm.
What should the clinician ask him/herself or the patient?
Discussion
Cecal volvulus requires a timely diagnosis due to its significant potential morbidity and mortality from the resulting closed loop obstruction. Occasionally, internal hernias can become the lead points to a cecal volvulus. Here we report the case of a patient with the cecum herniated through the foramen of Winslow, causing a volvulus and closed loop obstruction requiring urgent laparotomy. Herniation through the foramen of Winslow is a rare cause of cecal volvulus, with risk factors including a dilated foramen, an intraperitoneal right colon, and a surplus of mesentery [5].
Cecal herniation presents uncommonly and can occur in patients with prior abdominal surgeries and ventral hernias due to adhesive disease or abdominal wall hernias. When the mobile cecum herniates through an inguinal hernia with involvement of the appendix in the hernia sac, it is known as an “Amyand’s hernia” [6]. Several cases of cecal herniation through the foramen of Winslow have been reported in the literature dating back to 1973, some with a Bascule formation of the cecal volvulus, where the cecum folds anteriorly on itself to create an obstruction, rather than twisting at its mesenteric axis. Multiple organs have been reported as internal hernia contents through the foramen of Winslow including the small bowel, ascending and transverse colon, omentum, gallbladder, Meckel’s and small diverticulum [7-9].
In this particular case, it is notable that final surgical pathology demonstrated a low-grade appendiceal mucinous neoplasm. There have been a few reports that appendiceal tumors may be present as cecal volvuli and serve as a potential lead point [10,11]. However, no prior reports have associated an appendiceal neoplasm with a cecal volvulus complicated by an internal hernia through the foramen of Winslow. Appendiceal mucinous neoplasms are very uncommon and are present only in 0.2–0.3% of appendectomy specimens [12]. Nevertheless, it is possible that this was a presentation of a rare entity.
Abdominal plain films can demonstrate a “coffee bean” sign with concomitant pneumoperitoneum or pneumatosis consistent with complications such bowel perforation and ischemia [13]. However, plain film is unable to confirm diagnosis in up to 85% of cases [1]. CT scan is the diagnostic imaging of choice, given its high sensitivity (96%) and specificity (93%) for large bowel obstruction, and is also able to identify important anatomy and concurrent incidental findings [14]. In this scenario, the decompressed stomach and the large retrogastric airspace containing a colonic conformation were telling signs that the colon had entered into and became obstructed in the lesser sac.
Frequently, laparotomy is required to decompress the volvulus and reduce the hernia, given the sizable distension of the bowel. Nevertheless, there has been successful reports of a laparoscopic approach. We opted for a laparotomy given the markedly dilated cecum of over 12 centimeters in diameter, and the possibility of bowel wall compromise. Notably during exploration, the cecal volvulus was surprisingly hard to identify given its posterior location in the lesser sac behind the stomach, though running the bowel, tracing the terminal ileum distally, and the transverse colon proximally towards the hepatic flexure can help triangulate the volvulus’ lead point. The duodenum can also be Kocherized to further mobilize the hepatoduodenal ligament, and the pars flaccida of the gastrohepatic ligament can be divided to exteriorize the volvulus.
Reduction of the cecal volvulus hernia back through the foramen of Winslow remains a challenging aspect of the surgical treatment. The foramen of Winslow is only approximately an inch in diameter. It is not possible to enlarge this space to free incarcerated bowel, given the critical biliary and vascular structures contained within the hepatoduodenal ligament abutting the foramen. Additionally, the massive cecal distension from the closed loop obstruction further prevents easy bowel reduction through this diminutive foramen. If bowel viability is not immediately compromised, one can enter the lesser sac through the pars flaccida and detorse the volvulus to decompress the cecum while it remains obstructed within the lesser sac. Once the cecum has been unwound from the mesenteric twist, gentle manual decompression of the cecum can release its gas and contents into the distal or proximal limbs of bowel to improve the cecal distension.
Common management of the redundant colon involves resection of the affected portion of bowel to prevent recurrent volvulus. Risk for anastomotic leak in the general population after resection and primary anastomosis is approximately 4% [15]. Nevertheless, there have been reports of cecopexy, which can be an alternative option in patients who are frailer with multiple medical comorbidities, albeit with inferior results in terms of preventing future recurrence. Surgeons should weigh the risk of an anastomotic leak of a colectomy with the higher potential recurrence of a cecopexy, which can range from 0% to 16% [16].
Closing the foramen of Winslow is not necessary, and this maneuver should be performed with an abundance caution given the proximity and potential grievous injury to the crucial structures of the biliary tree, portal vein, or hepatic artery [17].
Conclusion
The presentation of a cecal volvulus through the foramen of Winslow is a rare and ambiguous case. Patients may describe vague abdominal pain and gastrointestinal obstructive symptoms and may not initially have an impressive abdominal exam besides distension. Most definitive diagnosis can be made via axial CT imaging, and prompt work-up and surgical management are indicated to avoid grave complications such as bowel ischemia and perforation from closed-loop obstruction.
Recommendations
Consent
We confirm that informed consent was obtained from the patient, who has given full permission to publish this case and the accompanying images.
Funding
This article has been published without the support of sponsors.
Conflicts of interests
The authors declare they have no competing financial interests concerning the topics of this article.
References
1. Swenson BR, Kwaan MR, Burkart NE, et al. Colonic Volvulus: Presentation and Management in Metropolitan Minnesota, United States. Dis Colon Rectum 2012; 55: 444-9; https://doi.org/10.1097/DCR.0b013e3182404b3d
2. Halabi WJ, Jafari MD, Kang CY, et al. Colonic Volvulus in the United States: Trends, Outcomes, and Predictors of Mortality. Ann Surg 2014; 259: 293-301; https://doi.org/10.1097/SLA.0b013e31828c88ac
3. Ghahremani GG. Internal Abdominal Hernias. Hernias 1984; 64: 393-406;https://doi.org/10.1016/S0039-6109(16)43293-7
4. Valenziano C, Howard W, Criado F. Hernia through the foramen of Winslow: a complication of cholecystectomy. A case report. Am Surg 1987; 53: 254-7
5. Cho YM, Behrenbruch C, Tartaglia C, et al. Caecal herniation and volvulus through the foramen of Winslow: a rare presentation. ANZ J Surg 2020; 90: 930-2; https://doi.org/10.1111/ans.15434
6. Maeda K, Kunieda K, Kawai M, et al. Giant left-sided inguinoscrotal hernia containing the cecum and appendix (giant left-sided Amyand’s hernia). Clin Case Rep 2014; 2: 254-7; https://doi.org/10.1002/ccr3.104
7. Erskine JM. Hernia through the foramen of Winslow: A case report of the cecum incarcerated in the lesser omental cavity. Am J Surg 1967; 114: 941-7; https://doi.org/10.1016/0002-9610(67)90422-9
8. McGrea AN. Herniation of the gall-bladder through the foramen of Winslow. Br J Surg 1951; 38: 386-7; https://doi.org/10.1002/bjs.18003815113
9. Cullen T. Herniation of an acutely inflamed Meckel’s diverticulum through the foramen of winslow. Arch Middx Hosp 1954; 4: 278-9
10. Peng H. Low-Grade Appendiceal Mucinous Neoplasm Presenting as a Volvulus of the Cecum: A Rare Presentation of a Rare Disease. Adv Case Stud 2019; 2; https://doi.org/10.31031/AICS.2019.02.000530
11. Costa V, DeMuro JP. Low-grade appendiceal neoplasm presenting as a volvulus of the cecum. Gastroenterol Rep 2013; 1: 207-10; https://doi.org/10.1093/gastro/got026
12. Smeenk RM, van Velthuysen MLF, Verwaal VJ, et al. Appendiceal neoplasms and pseudomyxoma peritonei: A population based study. Eur J Surg Oncol EJSO 2008; 34: 196-201; https://doi.org/10.1016/j.ejso.2007.04.002
13. Somwaru AS, Philips S. Imaging of Uncommon Causes of Large-Bowel Obstruction. Am J Roentgenol 2017; 209: W277-W286; https://doi.org/10.2214/AJR.16.17621
14. Jaffe T, Thompson WM. Large-Bowel Obstruction in the Adult: Classic Radiographic and CT Findings, Etiology, and Mimics. Radiology 2015; 275: 651-63; https://doi.org/10.1148/radiol.2015140916
15. Althans AR, Aiello A, Steele SR, et al. Colectomy for caecal and sigmoid volvulus: a national analysis of outcomes and risk factors for postoperative complications. Colorectal Dis 2019; 21: 1445-52; https://doi.org/10.1111/codi.14747
16. Vogel JD, Feingold DL, Stewart DB, et al. Clinical Practice Guidelines for Colon Volvulus and Acute Colonic Pseudo-Obstruction. Dis Colon Rectum 2016; 59: 589-600; https://doi.org/10.1097/DCR.0000000000000602
17. Williams AM, Pickell Z, Shen MR, et al. Cecal bascule herniation through the foramen of Winslow. Autopsy Case Rep 2021; 11(e2020236); https://doi.org/dx.doi.org/10.4322/acr.2020.236