Un raro caso di sepsi da Citrobacter koseri nell’adulto
Matteo Pistoia 1, Mariella Ciola 1, Girolamo Sala 1, Fabrizio Foieni 1, Andrea Agostinelli 1, Beatrice Valvo 1, Lorenzo Bellintani 1, Paolo Ghiringhelli 1
1 Medicina Interna, Ospedale di Circolo di Busto Arsizio, ASST Valle Olona
Abstract
We describe the case of a 53-year-old man, recently diagnosed with decompensated type II diabetes mellitus, admitted to our Department for fever, asthenia, and detection of multiple lung abscesses and pulmonary embolism at chest tomography.
His clinical history revealed just a recent orthopedic surgery of osteosynthesis on the left wrist with normal clinical and instrumental post-surgical evolution. Empirical antibiotic therapy with piperacillin/tazobactam and clindamycin was initiated. During hospital stay, swelling and functional impotence in the right knee occurred. They were investigated by arthrocentesis and magnetic resonance, and diagnosed as septic arthritis.
Blood culture performed at admission tested positive for Citrobacter koseri on several samples where meropenem was added according to antibiogram. On the other hand, the cultures of bronchoaspirate, pulmonary fine needle aspiration, and arthrocentesis were negative.
Antibiotic therapy was administered up to two weeks after discharge and radiological and physical features progressively improved.
Keywords: Citrobacter koseri; Septic Arthritis; Fever
CMI 2021; 15(1):35-39
http://dx.doi.org/10.7175/cmi.v15i1.1501
Case Report
Perché descriviamo questo caso?
Nei pazienti sottoposti a interventi ortopedici e immunodepressi occorre valutare la possibilità di un’infezione da Citrobacter koseri come diagnosi differenziale di un’artrite settica. Tale patogeno può anche causare una grave infezione sistemica con localizzazioni ascessuali polmonari e muscolo-scheletrica in un’articolazione precedentemente non interessata da particolari patologie
Introduzione
L’artrite settica è una delle principali complicanze della chirurgia ortopedica e spesso è causata da germi Gram positivi, in particolar modo appartenenti alla categoria degli Staphylococcus spp [1,2]. Meno frequentemente sono coinvolti germi Gram negativi, che prediligono i pazienti anziani e i soggetti immunodepressi. I Citrobacter spp sono comunemente presenti nell’ambiente e nel tratto intestinale dei mammiferi e hanno maggior probabilità rispetto a Escherichia coli di dare origine a infezioni nosocomiali; tra i Citrobacter spp, Citrobacter freundii e Citrobacter koseri sono i più patogeni [3]. Inoltre Citrobacter koseri è una causa conosciuta di meningiti e ascessi cerebrali in epoca neonatale e l’isolamento colturale risulta spesso difficoltoso [4]. Solo pochissimi casi di artrite settica da Citrobacter koseri sono stati descritti in letteratura e tipicamente risultano coinvolte le articolazioni precedentemente sottoposte a un intervento chirurgico [5].
Descrizione del caso
|
Parameter |
Detected level |
Normal range |
|
WBC (n × 103/µl) |
26,500 |
4,0-10,0 |
|
PMN (n × 103/µl) |
24,200 |
1,9-8,0 |
|
Linfociti (n × 103/µl) |
1,500 |
0,9-5,2 |
|
Monociti (n × 103/µl) |
8,00 |
0,16-1,00 |
|
Eosinofili (n × 103/µl) |
0 |
0-0,8 |
|
Basofili (n × 103/µl) |
0 |
0-0,2 |
|
PCR (mg/dl) |
10 |
<0,5 |
|
Hb (g/dl) |
8,5 |
12-16 |
|
MCV (fl) |
88 |
82-98 |
|
PLT (n/µl) |
164.000 |
150.000-450.000 |
|
Creatinina (mg/dl) |
0,95 |
0,51-0,95 |
|
AST (U/L) |
39 |
<34 |
|
ALT (U/L) |
57 |
8-41 |
|
Bilirubina totale (mg/dl) |
1,18 |
<1,2 |
|
CK (U/L) |
21 |
<145 |
|
LDH (U/L) |
200 |
125-220 |
|
Proteine totali (g/dl) |
5,4 |
6,0-8,0 |
|
Albumina (%) |
35,9 |
54-65 |
|
Ferro (µg) |
57 |
53-167 |
|
Ferritina (ng) |
838 |
20-120 (donna) |
|
Transferrina (mg/dl) |
224 |
240-360 |
Tabella I. Risultati degli esami di laboratorio
ALT = alanina aminotransferasi; AST = aspartato aminotransferasi; CK = creatina chinasi; Hb = emoglobina; LDH = lattato deidrogenasi; MCV = volume corpuscolare medio; PCR = proteina C reattiva; PLT = piastrine; PMN = polimorfonucleati; WBC = leucociti
Un uomo di 53 anni è stato ricoverato presso il nostro reparto per malessere generale e febbre persistenti da tre settimane, condizionanti un sostanziale allettamento e insorti a distanza di circa due settimane da un intervento ortopedico di osteosintesi del polso sinistro per frattura traumatica metaepifisaria e distacco dell’apice del processo stiloideo dell’ulna. Obiettivamente il polso operato non presentava segni di infiammazione e la ferita chirurgica mostrava una regolare evoluzione cicatriziale. In anamnesi emergeva anche una recente diagnosi di diabete mellito di tipo II scompensato per cui era stata avviata una terapia ipoglicemizzante orale con metformina.
In Pronto Soccorso il paziente si presentava emodinamicamente stabile in aria ambiente; negli esami ematochimici si riscontrava un netto rialzo degli indici di flogosi, come riportato nella Tabella I.
Inoltre il tempo di coagulazione, la vitamina B12 e i folati risultavano nei limiti della norma.
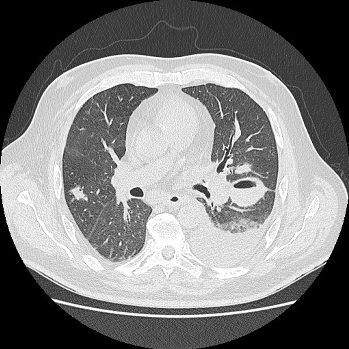
Alla luce di quanto evidenziato dalla radiografia del torace, veniva richiesta un’indagine di secondo livello con una TC del torace con mezzo di contrasto iodato che confermava la presenza di plurime alterazioni focali polmonari escavate con livelli idroaerei, di cui la maggiore di 45 mm al lobo inferiore sinistro, di significato ascessuale. In concomitanza si rilevavano tromboembolie polmonari che interessavano le diramazioni principali a cavaliere per i lobi superiori e i rami segmentari dei lobi inferiori e medio (Figura 1).
All’ecocolordoppler venoso degli arti inferiori è stata documentata una trombosi venosa profonda della vena poplitea destra. Venivano quindi eseguiti due set di emocolture e successivamente avviata una terapia antibiotica empirica con piperacillina/tazobactam e clindamicina. Veniva impostata inoltre una terapia parenterale con enoxaparina a dosaggio scoagulante in funzione del peso corporeo (70 kg, h 170 cm) e dei valori di funzionalità renale. In reparto il test di intradermoreazione per ipersensibilità alla tubercolina e il QuantiFERON-TB Gold test risultavano negativi, così come la ricerca di anticorpi anti-HIV1/HIV2 e di antigeni micotici aspergillari. Risultavano negative anche la sierologia per le epatiti, per la sifilide e le indagini autoimmunitarie e veniva esclusa una sindrome da anticorpi antifosfolipidi e una predisposizione trombofilica allo screening effettuato. I valori di emoglobina glicata HbA1c confermavano una malattia scompensata (10,8%, 95 mmol/mol).
Veniva effettuata precocemente un’indagine endoscopica con raccolta di broncoaspirato ed esecuzione di agoaspirato a carico della lesione polmonare maggiore, i cui colturali risultavano, nei giorni a seguire, negativi. Risultava negativa anche la ricerca di cellule tumorali maligne in presenza, all’esame microscopico, di numerosi linfociti e macrofagi. Le emocolture, cinque giorni dopo la raccolta, diventavano positive per Citrobacter koseri mentre il paziente iniziava a manifestare, nonostante un iniziale miglioramento delle condizioni generali, senso di impotenza funzionale al ginocchio destro obiettivamente edematoso rispetto al controlaterale, arrossato e dolorabile alla palpazione. Veniva quindi sottoposto ad artrocentesi per riscontro ecografico di versamento articolare, anch’esso risultato negativo per isolamenti colturali in un quadro fortemente sospetto per artrite settica dopo esame microscopico e chimico-fisico del liquido sinoviale ed esecuzione di una risonanza magnetica con mezzo di contrasto mirata (Figura 2).

Figura 1. Sezione trasversale della tomografia computerizzata del torace con mezzo di contrasto effettuata al momento del ricovero che mostra una evidente lesione escavata al lobo inferiore sinistro di 45 mm con livello idroaereo riferibile a raccolta ascessuale. Concomita versamento pleurico omolaterale in sede antideclive in fase di organizzazione. Un’altra formazione più piccola si visualizza in questa scansione al lobo inferiore destro

Figura 2. Risonanza magnetica del ginocchio destro eseguita mediante sequenze multiplanari T1-T2 dipendenti senza e con soppressione del segnale adiposo, prima e dopo contrasto Gadovist® 0,1 ml/kg endovena. L’immagine ottenuta in sequenza T2 documenta versamento endoarticolare che distende il recesso sovrapatellare con aumentato enhancement sinoviale in un quadro compatibile con artrite settica.
Veniva quindi modificata la terapia antibiotica con l’avvio di meropenem 1 g e.v. ogni 8 ore. Il riscontro di sangue occulto nelle feci induceva a completare le indagini con esofagogastroduodenoscopia con riscontro di lieve candidosi esofagea e con colonscopia, negativa per lesioni organiche; nessun riscontro alla coprocoltura e all’esame coproparassitologico. Successivamente le emocolture di sorveglianza risultavano negative. Dopo due settimane di terapia antibiotica con meropenem gli esami mostravano una completa normalizzazione dell’emocromo e degli indici di flogosi. La tomografia del torace di controllo mostrava un regolare decorso dei reperti, ragion per cui veniva dimesso con indicazione a proseguire la terapia anticoagulante orale. La visita ortopedica a un mese dalla dimissione non poneva ulteriori indicazioni: proseguiva, pertanto, con la sola fisiochinesiterapia.
Gli errori più comuni
Discussione
L’artrite settica è un’infezione di un’articolazione di solito a eziologia batterica causata principalmente da germi appartenenti alle specie Neisseria, Staphylococcus e Streptococcus. Neisseria è il maggior responsabile nei pazienti giovani sessualmente attivi, mentre gli altri casi si verificano prevalentemente nei soggetti anziani o immunodepressi a seguito di un intervento chirurgico ortopedico. La diagnosi è fondamentalmente clinica anche se vengono in aiuto gli esami bioumorali e colturali; gli esami radiologici sono di grande importanza per la valutazione del danno articolare e osseo anche se in modo aspecifico. Il trattamento cardine è rappresentato dalla terapia antibiotica mirata e dall’eventuale revisione chirurgica [6,7].
Citrobacter koseri è un bacillo Gram negativo, aerobio, appartenente alla famiglia delle Enterobacteriaceae, presenti nell’ambiente e nella flora di molte specie animali, tra cui l’uomo. Citrobacter freundii e Citrobacter koseri sono i principali patogeni nell’uomo [8,9]. Oltre il 70% delle infezioni da Citrobacter è nosocomiale. Talora queste infezioni sono polimicrobiche e frequentemente risultano correlabili a procedure invasive: le condizioni più comuni sono rappresentate dalle infezioni del tratto urinario, seguite dalle infezioni intraddominali, talora post-chirurgiche, e dalle infezioni dei tessuti molli e del tratto respiratorio [10]. Citrobacter koseri in epoca neonatale è in grado di determinare osteomieliti e gravi infezioni del sistema nervoso centrale con un alto tasso di mortalità e postumi neurologici [11-13].
Le infezioni muscolo-scheletriche da Citrobacter koseri nell’adulto sono estremamente rare, con pochi casi descritti in letteratura a partire dal 1980 e quasi tutti correlabili a interventi ortopedici. In questi casi l’insorgenza dei sintomi da artrite settica può risultare tardiva, anche dopo alcune settimane dall’intervento, e la terapia antibiotica è stata protratta per 6-8 settimane. Non sorprende come queste condizioni siano state evidenziate più frequentemente nei soggetti anziani o a maggior rischio infettivo come i pazienti affetti da diabete mellito scompensato e alcolismo [14], anche se in un’occasione è stato descritto un caso di osteomielite vertebrale, diagnosticata un mese dopo una sepsi da Citrobacter koseri a partenza dalle vie aeree inferiori in un soggetto senza apparenti gravi condizioni predisponenti [15]. Inoltre può essere molto difficile isolare questo bacillo agli esami colturali, che spesso diventano positivi solo tardivamente. Viene frequentemente riscontrata una resistenza alla penicillina e sono stati riportati casi di resistenza agli antibiotici più moderni. Nonostante la sua aggressività in individui predisposti, Citrobacter koseri risponde bene alle cefalosporine e ai beta-lattamici più moderni come i carbapenemi qualora non venga ritardata eccessivamente la diagnosi [5].
Il nostro paziente non ha mostrato una complicanza infettiva in sede del recente intervento ortopedico di osteosintesi al polso, bensì una grave setticemia, a distanza di circa cinque settimane dall’intervento, da Citrobacter koseri con plurime localizzazioni ascessuali polmonari e una localizzazione settica a carico dell’articolazione del ginocchio antecedentemente non patologica. L’isolamento colturale sul sangue è avvenuto abbastanza tardivamente rispetto alla raccolta delle emocolture e ciò ha comunque permesso di modificare la terapia antibiotica in modo mirato avviando la somministrazione di meropenem. Nessun isolamento colturale è avvenuto invece con il broncoaspirato, con l’agoaspirato delle lesioni polmonari o con l’artrocentesi nonostante siano stati eseguiti precocemente rispetto alla presentazione della sintomatologia. Dopo due settimane dall’avvio del carbapenemico si è verificata una pronta risoluzione del quadro infettivo sistemico con netto miglioramento radiologico del quadro polmonare e ripresa funzionale dell’articolazione per cui è stata interrotta la terapia antibiotica e il paziente è stato avviato a follow up ortopedico con buon recupero articolare a distanza di un mese. Questo risultato, dopo due settimane di terapia con meropenem, inferiore in durata a quanto descritto in letteratura per le artriti da Citrobacter koseri, può essere spiegato dal fatto che la plausibile embolizzazione settica articolare sia avvenuta su una articolazione in precedenza normale.
Conclusioni
Questo caso vuole sottolineare l’importanza di considerare un’infezione da Citrobacter koseri nella diagnosi differenziale di una artrite settica, in particolar modo nell’ambito delle infezioni nosocomiali in pazienti anziani o immunodepressi come i soggetti affetti da diabete mellito in scarso controllo glicemico. Inoltre si pone in evidenza come in casi simili questo bacillo possa dimostrarsi molto aggressivo determinando un grave stato settico a distanza di tempo dall’intervento con possibili localizzazioni ascessuali sistemiche, nel nostro caso polmonari e muscolo-scheletriche, anche in presenza di una normale guarigione locale post-chirurgica.
Punti chiave
Fonti di finanziamento
Questo articolo è stato pubblicato senza il supporto di sponsor.
Conflitti d’interesse
Gli autori dichiarano di non avere conflitti d’interesse nella stesura di questo articolo.
Consenso alla pubblicazione
Il consenso alla pubblicazione è stato ottenuto dal paziente descritto in questo articolo.
Bibliografia
1. Sharff KA, Richards EP, Townes JM. Clinical management of septic arthritis. Curr Rheumatol Rep 2013; 15: 332; https://doi.org/10.1007/s11926-013-0332-4
2. Bauer T, Boisrenoult P, Jenny JY. Post-arthroscopy septic arthritis: current data and practical recommendations. Ortop Traumatol Surg Res 2015; 101 (8 Suppl): S347-S350
3. Drelichman V, Band JD. Bacteremias due to Citrobacter diversus and Citrobacter freundii. Incidence, risk factors and clinical outcome. Arch Intern Med 1985; 145: 1808-10
4. Doran TI. The role of Citrobacter in clinical disease of children: review. Clin Infect Dis 1999; 28: 384-94; https://doi.org/10.1086/515106
5. Kwaees TA, Hakim Z, Weerasinghe C, et al. Muscoloskeletal infections associated with Citrobacter koseri. Coll Surg Engl 2016; 98: 446-9; https://doi.org/10.1308/rcsann.2016.0209
6. Shirtliff ME, Mader JT. Acute septic arthritis. Clin Microbiol Rev 2002; 15: 527-44;
https://doi.org/10.1128/cmr.15.4.527-544.2002
7. Mathews CJ, Weston VC, Jones A, et al. Bacterial septic arthritis in adults. Lancet 2010; 375: 846-55; https://doi.org/10.1016/S0140-6736(09)61595-6.
8. Drinka PJ, Gauerke C, Miller J, et al. Apparent transmission of Citrobacter koseri in catheterized residents on a 17-bed nursing home wing. J Am Geriatr Soc 2003; 51: 140-1; https://doi.org/10.1034/j.1601-5215.2002.51031.x
9. Lipsky BA, Hook EW 3rd, Smith AA, et al. Citrobacter infections in humans: experience at the Seattle Veterans Administration Medical Center and a review of the literature. Rev Infect Dis 1980; 2: 746-60; https://doi.org/10.1093/clinids/2.5.746
10. Samonis G, Karageorgopoulos DE, Kofteridis DP, et al. Citrobacter infections in a general hospital: characteristics and outcomes. Eur J Clin Microbiol Infect Dis 2009; 28: 61-8; https://doi.org/10.1007/s10096-008-0598-z
11. Vaz Marecos C, Ferreira M, Ferreira MM, et al. Sepsis, meningitis and cerebral abscesses caused by Citrobacter koseri. BMJ Case Rep 2012; 2012: bcr1020114941; https://doi.org/10.1136/bcr.10.2011.4941
12. Jansen RD, Meadow WL, Schwartz IK, et al. “Bacteriological bit”: Citrobacter diversus osteomyelitis in a neonate. Clin Pediatr (Phila) 1981; 20: 791
13. Rodrigues J, Rocha D, Santos F, et al. Neonatal Citrobacter koseri Meningitis: Report of Four Cases. Case Rep Pediatr 2014; 2014: 195204; https://doi.org/10.1155/2014/195204
14. Yagci S, Arslan K, Kocak Tufanet Z, et al. Osteomyelitis due to Citrobacter koseri infection in a diabetic patient. J Endocrinol Metab 2011; 1: 146-8
15. Müllner GF, Keller H. Spondylitis due to Citrobacter diversus. Case report and review of Citrobacter diversus infections. Schweiz Med Wochenschr 1992; 122: 1173-7