Listeria monocytogenes Brain Abscess Mimicking Ischemic Stroke in an Immunocompromised Patient: A Case Report
Angeliki Tsifi 1, Stavroula-Panagiota Lontou 2, Maria Triantafyllou 2, Sevastianos Chatzidavid 2, Dimitrios Theodoridis 3, Marina Skouloudi 2, Marina Mantzourani 2
1 Intensive Care Unit, General Hospital of Nea Ionia Konstantopouleio-Patision, Athens, Greece
2 First Department of Internal Medicine, Laiko General Hospital of Athens, Athens, Greece
3 Hematology Department, General Hospital of Nea Ionia Konstantopouleio-Patision, Athens, Greece
Abstract
Listeria monocytogenes (L. monocytogenes) is a Gram-positive bacillus that infects immunocompromised persons, neonates, pregnant women and, occasionally, previously healthy individuals. L. monocytogenes brain abscesses are particularly rare.
We present a 62-year-old female on corticosteroid treatment due to a recent diagnosis of autoimmune hepatitis, who suddenly developed right hemiparesis mimicking a stroke. A brain computerized tomography (CT) scan revealed a brain abscess and the blood cultures drawn yielded L. monocytogenes. A conservative treatment without surgical intervention was selected. The patient was commenced on intravenous ampicillin and gentamicin and showed remarkable improvement. She was successfully discharged on oral amoxicillin with probenecid. Since the subsequent magnetic resonance imaging (MRI) study and CT scans exhibited reduction in the size of the abscess, the antimicrobial treatment was discontinued after a three-month period. The patient underwent regular follow-up visits with no signs of relapse.
Keywords: Listeria monocytogenes; Brain Abscess; Stroke; Immunosuppression
CMI 2019; 13(1): 23-28
http://dx.doi.org/10.7175/cmi.v13i1.1420
Case Report
Why Do we Describe This Case
There are medical conditions that may mimic an ischemic stroke and lead the physician in charge to an erroneous diagnosis. L. monocytogenes brain abscesses are particularly rare, but should be considered, especially in cases of immunocompromised patients with central nervous system (CNS) involvement. Treatment can be challenging, requiring a prolonged antimicrobial therapy of uncertain optimal duration, with or without surgical intervention
Introduction
Listeria monocytogenes (L. monocytogenes) is a Gram-positive bacillus usually found in food and water, that rarely causes infection in immunocompetent individuals [1,2]. Hematogenous spreading is the main route of the infection, which mainly affects immunocompromised people, neonates, pregnant women and, occasionally, previously healthy persons [1,2].
When L. monocytogenes-contaminated food such as salads, meat or unpasteurized dairy products is ingested, the bacterium can penetrate the small bowel and it eventually enters the bloodstream via the mesenteric lymph nodes [2,3]. Bacteremia and meningitis are the most common manifestations of listeriosis, but focal infections such as endocarditis, arthritis, and osteomyelitis may also occur[3]. L. monocytogenes brain abscesses are particularly rare, representing 1-10% of all central nervous system (CNS) listeriosis [1,3-5]. They are usually found in the thalamus, pons, and medulla [1,2].
In acute context, when mimicking an ischemic stroke, L. monocytogenes brain abscesses may turn out difficult to be suspected [6]. Their diagnosis has to be based on the patient’s medical history in combination with adequate clinical, radiological, and microbiological findings. Blood cultures are especially useful, since they are positive for L. monocytogenes in 85-90% of the cases [6,7]. Lumbar puncture (LP) is less helpful and could therefore be omitted[6-8].
The optimal therapeutic regimen is the combination of an aminopenicillin with an aminoglycoside [4,5]. Alternatively, trimethoprim-sulfamethoxazole may be considered for those who are penicillin-allergic [1,5,7,8]. The exact duration of therapy remains unknown, although it is suggested that treatment should continue for at least 6 to 8 weeks [1,4,6,7,9]. Surgical interventionmay not be necessary [3,8,10].
Case Presentation
We present a 62-year-old female on corticosteroid treatment with oral methylprednisolone (16 mg/day) for three months due to a recent diagnosis of autoimmune hepatitis who suddenly developed right hemiparesis mimicking a stroke. The patient was immediately admitted to our department for further management. At admission she was afebrile. Her laboratory analysis as depicted in Table I revealed leukocytosis with a mildly elevated C-reactive protein.
|
Parameter |
Detected level |
Normal range |
|
Hct (%) |
41.8 |
36-47 |
|
Hb (g/dl) |
14.8 |
12-16 |
|
WBC (n/l) |
18,310 |
4500-11,000 |
|
Neutrophils (n/l) |
12,700 |
1500-6600 |
|
Lymphocytes (n/l) |
4420 |
1200-3400 |
|
PLTs (n/l) |
188,000 |
140,000-440,000 |
|
CRP (mg/l) |
13.9 |
0-5 |
|
ESR (mm) |
20 |
0-20 |
Table I. Laboratory analyses at hospital admission
CRP = C-reactive protein; ESR = erythrocyte sedimentation rate; Hb = hemoglobin; Hct = hematocrit; PLTs = platelets; WBC = white blood cells
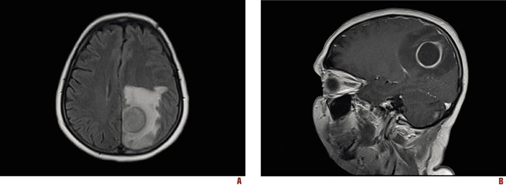
A brain computerized tomography (CT) scan revealed an intracranial mass in the left hemisphere with surrounding edema resembling an abscess. An additional brain magnetic resonance imaging (MRI) study was performed, which corroborated the diagnosis depicting a 3×2.7 cm brain abscess (Figure 1).

Figure 1. Brain MRI at admission. Axial view (A), sagittal view (B)
Other neuroimaging diagnoses such as a subacute hemorrhagic stroke, a demyelinating lesion, a cerebral metastasis, or radiation necrosis were also to be ruled out. Two consecutive blood cultures, that were collected before initiating antimicrobial therapy, were positive for L. monocytogenes and the patient was commenced on intravenous ampicillin (a total 12 grams per day q4h) in combination with gentamicin (240 mg per day for 14 days divided in two doses). Intravenous dexamethasone 4 mg q6h and mannitol i.v. 1g/kg body weight were added for the first few days and, after a neurosurgeon was consulted, a conservative treatment without surgical intervention was suggested, mainly due to the location and the singular nature of the abscess.
The patient exhibited remarkable improvement and gradually became fully functional. Regular CT and MRI scans, performed alternately every two weeks, showed considerable decrease in the size of the abscess and eventually the patient was discharged on the previous dosage of methylprednisolone (16 mg/day) required for her diagnosis of autoimmune hepatitis and on oral amoxicillin 1 g q6h with probenecid 500 mg q8h in order to enhance the concentration of amoxicillin. The MRI that was performed at discharge exhibited gradual resolution of the brain abscess (2.3×2.2 cm).
The patient received a total of three months of antimicrobial therapy before treatment discontinuation. Her following evaluation showed further improvement with no sign of relapse and without neurological deficits.
What should the clinician ask him/herself or the patient?
Discussion
L. monocytogenes is a Gram-positive bacillus that can cause severe infections to immunocompromised individuals, neonates, and pregnant women. Ingestion of L. monocytogenes-contaminated food, such as raw salads, inadequately cooked meat, and unpasteurized dairy products is the cause of all human L. monocytogenes infections [1,2]. In immunocompetent persons L. monocytogenes rarely causes infections after ingestion of contaminated food, since the host’s neutrophils, monocytes, and macrophages will eventually kill it. However, if ingested by individuals with impaired immunity, it penetrates the Peyer’s patches of the small intestine but not via the phagocytic microfold or M cells [1,3]. More often the organism enters the bloodstream via the mesenteric nodes [1,3]. When attached to epithelial cells in the choroid plexus it may cause meningitis [1-3]. L. monocytogenes can, therefore, invade the CNS and it seems to display a tropism for the CNS. Nonmeningitic cerebritis, meningoencephalitis, rhomboencephalitis, brain abscesses are examples of its CNS manifestations. Other manifestations of a L. monocytogenes infection include endocarditis, osteomyelitis, arthritis, endophthalmitis, and pneumonia [3].
L. monocytogenes brain abscess is a rare manifestation of listeriosis and accounts for approximately 10% of CNS manifestations [2,6,8]. Since impaired cellular immunity is a risk factor for the infection, most of the patients concerned—as was the patient presented—are either immunocompromised due to an underlying disease or receiving immunosuppressive therapy [1,3,8,9].
The diagnosis is based on the combination of neuroimaging with positive blood cultures yielding L. monocytogenes. The former helps distinguish a L. monocytogenes brain abscess from an alternative diagnosis with similar clinical expression, such as an ischemic stroke [1,6]. The latter reveals the causative pathogen in approximately 85% of the cases [8,9]. This is not the case with brain abscesses caused by other organisms where bacteremia is not so frequent [1].
As a result, when dealing with a L. monocytogenes brain abscess, positive blood cultures should suffice and should render a lumbar puncture unnecessary. It should be noted that L. monocytogenes is more often isolated in blood cultures than in cerebrospinal fluid (CSF) and that CSF cultures are frequently negative [6,8]. Additionally, it should be mentioned that the decision to avoid a lumbar puncture decreases the risk of the procedure itself and its complications, especially in cases where a CT scan or an MRI study is not previously performed. Nevertheless, there are cases in the literature where the diagnosis of a L. monocytogenes brain abscess was based on positive CSF cultures [7,9].
In our patient the diagnosis was based on the combination of several factors. Firstly, the clinical CNS manifestations of the patient, the leukocytosis, and the mildly elevated C-reactive protein in her laboratory analyses hinted the possibility of an infectious disease. The fact that the patient was under corticosteroid treatment meant that the absence of fever was anticipated and that specific pathogens should be addressed. Secondly, the CT scan and subsequently the MRI study, that were performed, demonstrated a brain abscess and not an ischemic stroke. In consequence, it was made clear right from the start that the diagnosis was a brain abscess of infectious origin in an immunocompromised patient. Finally, the blood cultures drawn yielded L. monocytogenes directing us towards the final diagnosis and the implementation of the optimal treatment.
Treatment options for L. monocytogenes brain abscesses include ampicillin or trimethoprim-sulfamethoxazole for penicillin-allergic patients [1,5,7,8]. The addition of an aminoglycoside, preferably gentamicin, is encouraged on the basis of synergy [1,5]. Vancomycin also possesses good in vitro activity against L. monocytogenes. [3]. However, the in vivo efficacy of the drug remains questionable by certain physicians [7]. In our case the treatment that was selected consisted of high doses of ampicillin (12 grams per day divided in six doses) and gentamicin (240 mg per day for 14 days divided in two doses) intravenously. Gentamicin was only given for a two-week period in order to avoid its adverse effects, especially its nephrotoxicity. After the discontinuation of gentamicin, the question of the optimal duration of treatment arose.
There seems to be a lack of explicit data in the literature involving the duration of treatment for L. monocytogenes brain abscesses. Most authorities propose six to eight weeks of antimicrobial therapy and others even longer, as indicated by each patient’s successive clinical and radiological evaluations [5,7]. It was in that spirit that we chose to administer intravenous ampicillin for a total of 10 weeks as indicated by the monthly radiological evaluation of the abscess (with a brain CT scan), which demonstrated a decrease in size. Afterwards, we opted to continue the treatment orally for two additional weeks, with high doses of amoxicillin (1g q6h) and probenecid (500 mg q8h) in order to enhance the concentration of amoxicillin. The antimicrobial treatment was discontinued upon completion of three months, after which the patient exhibited no signs of deterioration or relapse, even though there was still a smaller residual lesion in the brain CT scan. However, it is suggested that complete resolution of the radiographic abnormalities is not a prerequisite for the discontinuation of treatment [5,11].
As concluded by several case reports on L. monocytogenes brain abscesses published over the past decade, the antimicrobial treatment is effective. Therefore, surgical intervention is often unnecessary [8]. Our patient was evaluated at admission by a neurosurgeon, who in turn proposed the administration of intravenous antibiotics as the treatment of choice.
As far as concomitant immunosuppressive therapy is concerned, a dose reduction—if possible—is suggested [5]. The patient was already under corticosteroid treatment due to her recent diagnosis of autoimmune hepatitis. The diagnosis of a L. monocytogenes brain abscess with surrounding edema at first led to the commencement of intravenous dexamethasone (4 mg/day-q6h) for a few days, but eventually led to the administration of the lowest required dose of methylprednisolone (16 mg/day), as suggested by the patient’s hepatologist.
Over the last decade, a respectable number of case reports involving L. monocytogenes brain abscesses has begun to surface in the literature. Most of them underline the importance of blood cultures and neuroimaging for the diagnosis of the abscess and the commencement of intravenous ampicillin in combination with gentamicin as the treatment of choice, but fail to indicate the optimal duration of therapy. The rareness of L. monocytogenes brain abscesses is the main reason for this gap in literature, that needs to be addressed as soon as possible.
Conclusion
In an era where immunosuppressive therapy is common, a L. monocytogenes brain abscess should be considered in patients with impaired immunity, unusual neurological findings, and CNS manifestations, and treated promptly. The physician in charge should not rush to unnecessary interventions, either concerning the diagnosis or the patient’s treatment, especially since a more conservative approach may yield the same results [3]. Since blood cultures are more useful than CSF cultures for the diagnosis, the performance of an LP can be avoided. The same applies for the implementation of a surgical intervention, since it has been shown that intravenous antimicrobial therapy in most cases may suffice.
Key points
Funding
This article has been published without the support of sponsors.
Conflicts of Interest
The authors declare they have not competing financial interests concerning the topics of this article.
References
1. Limmahakhun S, Chayakulkeeree M. Listeria monocytogenes brain abscess: two cases and review of the literature. Southeast Asian J Trop Med Public Health 2013; 44: 468-78
2. Sakarunchai I, Saeheng S, Oearsakul T, et al. Listeria monocytogenes brain abscess on MR imaging mimicking the track of a migrating worm like a sparganum: A case report. Interdisciplinary Neurosurgery: Advanced Techniques and Case Management 2016; 5: 9-11; https://doi.org/10.1016/j.inat.2016.03.008
3. Cone LA, Leung MM, Byrd RG, et al. Multiple cerebral abscesses because of Listeria monocytogenes: three case reports and a literature review of supratentorial listerial brain abscess(es). Surg Neurol 2003; 59: 320-8; https://doi.org/10.1016/S0090-3019(03)00056-9
4. Tiri B, Priante G, Saraca LM, et al. Listeria monocytogenes Brain Abscess: Controversial Issues for the Treatment- Two Cases and Literature Review. Case Rep Infect Dis 2018; 2018: 6549496; https://doi.org/10.1155/2018/6549496
5. Al-Khatti AA, Al-Tawfiq JA. Listeria monocytogenes brain abscess in a patient with multiple myeloma. J Infect Dev Ctries 2010; 4: 849-51; https://doi.org/10.3855/jidc.898
6. Marini S, Caruso A, Falcini M, et al. Listeria monocytogenes brainstem infection (rhomboencephalitis) mimicking ischemic stroke. J Clin Neurosci 2014; 21: 2006-8; https://doi.org/10.1016/j.jocn.2014.03
7. Moragas M, Martinez-Yelamos S, Murillo O, et al. Brain abscess due to Listeria monocytogenes in adults: Six cases and review of the literature. Enferm Infecc Microbiol Clin 2010; 28: 87-94; https://doi.org/10.1016/j.eimc.2009.01.011
8. Tseng J, Strasfeld LM, Orloff SL. An Unusual Presentation of Altered Mental Status After Orthotopic Liver Transplantation: Listeria Brain Abscess. Transplantation 2013; 95: e72-e73; https://doi.org/10.1097/TP.0b013e318292d20
9. Coste JF, Duval V, Nguyen Y, et al. Unusual location of a brain abscess due to Listeria monocytogenes. Pathol Biol (Paris) 2012; 60: e45-8; https://doi.org/10.1016/j.patbio.2011.05.006
10. Clauss HE, Lorber B. Central nervous system infection with Listeria monocytogenes. Curr Infect Dis Rep 2008; 10: 300; https://doi.org/10.1007/s11908-008-0049-0
11. Dee RR, Lorber B. Brain abscess due to Listeria monocytogenes: case report and literature review. Rev Infect Dis 1986; 8: 968-77; http://www.jstor.org/stable/4453988