La difficile gestione del paziente con diabete tipo 2 e danno renale: dalla diagnosi alla terapia
Francesca Cappadona 1, Anna Solini 2, Roberto Pontremoli 1
1 Università degli Studi e IRCCS A.O.U. San Martino-IST, Genova
2 Dipartimento di Medicina Clinica e Sperimentale, Università di Pisa
Abstract
The prevalence of type 2 diabetes mellitus and arterial hypertension is on the rise in western countries and chronic kidney disease is certainly one of their most harmful complications. This condition greatly complicates patient management. The clinician needs to wisely identify the best diagnostic algorithm and carefully balance potential risks and benefits of each therapeutic decision. Even when recommended therapeutic targets can be achieved, often a challenging task in clinical practice, residual cardiovascular and renal risk remains unacceptably high for these patients.
Here we present the case of a 72-year old woman, with arterial hypertension and diabetes mellitus type 2. Despite the long clinical history of the patient, being treated for over 20 years, blood pressure and metabolic control were not satisfactory. The authors trace the patient’s treatment pathway, following the different clinical questions that led them to the modification of the patient’s therapy. The new therapy is based on chlorthalidone, sitagliptin, a combination therapy of ezetimibe / simvastatin, and metformin.
Keywords: Hypertension; Type 2 diabetes mellitus; Cardiovascular risk; Renal disease
The difficult management of patients with type 2 diabetes and renal disease: from diagnosis to treatment
CMI 2016; 10(1): 7-13
http://dx.doi.org/10.7175/cmi.v10i1.1213
Case report
Disclosure
Gli autori dichiarano di non avere conflitti di interesse di natura finanziaria in merito ai temi trattati nel presente articolo
Perché descriviamo questo caso
Introduzione
La prevalenza e l’incidenza di diabete mellito e ipertensione arteriosa, e delle loro complicanze micro- e macro-vascolari, sono in costante aumento e rappresentano una importante questione per i sistemi sanitari. A parte le complicanze cardiovascolari, il diabete mellito è associato anche a malattia renale cronica (CKD), che determina un drammatico aumento del rischio globale nel paziente con diabete e/o ipertensione arteriosa. La corretta gestione diagnostico-terapeutica di questa tipologia di pazienti richiede un’attenta valutazione del rapporto costo/beneficio a vari livelli, con l’identificazione di target terapeutici individualizzati sulla base delle caratteristiche cliniche del singolo paziente.
Il caso clinico descritto è oggi di comune riscontro sia per il medico di medicina generale che per lo specialista e la discussione del caso clinico offre l’opportunità di affrontare criticamente le varie problematiche relative all’ottimizzazione del controllo pressorio e glicometabolico. Nonostante il raggiungimento dei parametri consigliati dalle linee guida internazionali, il rischio residuo cardiovascolare e renale di questi pazienti rimane elevato.
|
Esami ematochimici e urinari |
Valori |
|
Glicemia |
145 mg/dl |
|
Creatinina |
1,11 mg/dl |
|
GFR (CKD-EPI) |
42 ml/min |
|
Potassio |
3,8 mEq/l |
|
Emoblogina |
12,3 g/dl |
|
VCM |
88 fl |
|
PCR |
3,2 mg/l |
|
Colesterolo totale |
262 mg/dl |
|
Colesterolo HDL |
41 mg/dl |
|
Trigliceridi |
188 mg/dl |
|
Acido urico |
7,8 mg/dl |
|
Emoglobina glicata |
7,9% |
|
Esame urine |
Proteinuria 0,5 g/l, Hb tracce, sedimento nn |
|
RAC urine |
451 mg/g |
Tabella I. Esami ematochimici e urinari portati in visione dalla paziente alla prima visita
GFR = tasso di filtrazione glomerulare; PCR = proteina C reattiva; RAC = rapporto albumina/creatinina; VCM = volume corpuscolare medio
Caso clinico
Una donna di 72 anni con ipertensione arteriosa, nota da circa 20 anni, e diabete mellito tipo 2, noto da circa 15 anni, presenta scarso controllo pressorio e metabolico.
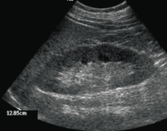
Al momento della visita presso la nostra struttura la paziente pesa 84 kg, con Body Mass Index (BMI) di 30,9 kg/m2 e una circonferenza vita di 93 cm. All’esame obiettivo (EO) la pressione arteriosa (PA) risulta di 145/95 mmHg, la frequenza cardiaca 68 bpm ritmica, con presenza di lievi edemi declivi agli arti inferiori. L’obiettività cardiaca, toracica e addominale è nei limiti di norma. La paziente porta in visione esami ematochimici (Tabella I) che evidenziano danno renale con proteinuria, scarso controllo glicemico e ipercolesterolemia (LDL 183 mg/dl). L’ECG effettuato poco tempo prima non mostra anomalie riconducibili a ipertrofia ventricolare sinistra, disturbi del ritmo o della conduzione né segni di ischemia miocardica (Figura 1). L’ecografia renale evidenzia reni di dimensioni normali, diametro longitudinale 12 cm bilateralmente, con corticale di normale spessore ma lievemente iperecogena (Figura 2). Al momento della visita la paziente assume terapia con ACE-inibitore, calcio antagonista, antiaggregante, statina e associazione di metformina e sulfanilurea. Inoltre, riferisce saltuario uso di FANS per osteoartrosi (Tabella II).

Figura 1. ECG con ritmo sinusale, senza alterazioni riconducibili a ipertrofia ventricolare o a ischemia cardiaca. Frequenza cardiaca 63 pbm
La situazione clinica della paziente in base ai dati acquisiti al momento della prima visita può essere così sintetizzata: ipertensione arteriosa, diabete mellito tipo 2 e malattia renale cronica stadio 3 NDD (G3b A3 secondo le linee guida KDIGO 2012) [1].

Figura 2. Ecografia renale: reni di normali dimensioni (diametro longitudinale di 12,5 cm), corticale con spessore conservato, ma iperecogena
|
Farmaco |
Dosaggio |
Orario |
|
Ramipril |
10 mg |
8.00 |
|
Amlodipina |
10 mg |
20.00 |
|
Acido acetilsalicilico |
100 mg |
13.00 |
|
Metformina/glibenclamide |
400/2,5 mg |
8.00 - 13.00 - 20.00 |
|
Atorvastatina |
20 mg |
22.00 |
Tabella II. Terapia riferita dalla paziente alla prima visita
|
Esami ematochimici e urinari |
Valori |
|
Glicemia |
128 mg/dl |
|
Creatinina |
1,32 mg/dl |
|
GFR (CKD-EPI) |
49,7 ml/min |
|
Potassio |
4,9 mEq/l |
|
Calcio |
9,1 mg/dl |
|
Fosforo |
3,6 mg/dl |
|
Paratormone (PTH) |
35 ng/l |
|
25 OH vitamina D |
21 ng/ml |
|
Emoglobina |
12,0 g/dl |
|
VCM |
88 fl |
|
PCR |
3,2 mg/l |
|
Colesterolo totale |
173 mg/dl |
|
Colesterolo HDL |
41 mg/dl |
|
Colesterolo LDL |
102 mg/dl |
|
Trigliceridi |
155 mg/dl |
|
Acido urico |
7,1 mg/dl |
|
Emoglobina glicata |
7,2% |
|
Esame urine |
Proteinuria 0,5 g/l, Hb tracce, sedimento nn |
|
RAC urine |
451 mg/g |
Tabella III. Risultati degli esami ematochimici richiesti nel corso della prima visita e portati in visione alla visita di controllo (dopo tre mesi)
GFR = tasso di filtrazione glomerulare; PCR = proteina C reattiva; RAC = rapporto albumina/creatinina; VCM = volume corpuscolare medio
Analisi ragionata e discussione
Questa condizione comporta senza dubbio un rischio renale e globale aumentato.
È opportuno valutare quali altri esami far eseguire alla paziente per definire meglio il profilo di rischio e ottimizzare la terapia. Si tratta di un aspetto cruciale per la gestione ottimale del caso. I test che si potrebbero prescrivere sono molti, ma occorre valutarne il rapporto costo/efficacia in questo specifico contesto clinico. Per quanto riguarda lo stato ipertensivo si potrebbe consigliare un monitoraggio pressorio ambulatorio delle 24 ore (ABPM) e/o si potrebbe valutare la presenza di danno d’organo subclinico con un’ecografia doppler cardiaca. Potrebbero, inoltre, essere eseguiti un doppler dei tronchi sovra-aortici e uno renale, e un esame del fundus oculi.
In presenza di molteplici opzioni diagnostiche, consideriamo i risvolti clinici e le possibili ricadute terapeutiche delle nostre scelte. Sappiamo già che la PA della nostra paziente non è ben controllata, per cui prescrivere un ABPM verosimilmente non fornirà, in questa fase, informazioni aggiuntive utili. Alla luce delle evidenze emergenti in letteratura riguardo al ruolo predittivo cardiovascolare e renale dei parametri rilevabili con il Doppler renale [2], si opta per questo esame. Si decide inoltre di far eseguire alla paziente un fundus oculi. Sebbene solo circa il 30% dei pazienti diabetici con CKD mostri segni di retinopatia, la conoscenza di questa complicanza microvascolare è importante per la prognosi e la scelta degli obiettivi terapeutici. Infine, prescriviamo un doppler dei tronchi sovra-aortici, sebbene sia improbabile che il risultato di questo esame modifichi, nel complesso, il profilo di rischio globale della paziente e gli obiettivi terapeutici.
Sulla base delle linee guida internazionali KDIGO-ERBP [1], i target terapeutici da raggiungere nella nostra paziente relativamente alla PA, al controllo glicometabolico e al colesterolo LDL sono rispettivamente: PA office <130/80, emoglobina glicata (HbA1c) <7% e LDL < 100 mg/dl.
È necessario, quindi, modificare la terapia per raggiungere gli obiettivi terapeutici indicati, senza tralasciare l’importanza della terapia nutrizionale che, per molti pazienti, costituisce un presidio irrinunciabile. Pertanto, dopo aver raccomandato adeguate misure igienico-dietetiche, le scelte possono essere diverse. Per migliorare il controllo pressorio si potrebbe inserire un diuretico, oppure associare un secondo farmaco attivo sul sistema renina-angiotensina-aldosterone (RAAS), ad es. un inibitore recettoriale dell’angiotensina II (ARB) o un anti-aldosteronico. Tuttavia, l’associazione di ACE-inibitori e ARB è attualmente sconsigliata dalle linee guida ESH/ESC 2013 [3], e dovrebbe essere considerata solo in casi selezionati. La paziente presenta una potassiemia di 4,9 mEq/l e un tasso di filtrazione glomerulare (GFR) ridotto: agire sul RAAS potrebbe esporre al rischio di iperpotassiemia e/o di peggioramento della funzione renale. Inoltre la proteinuria è, tutto sommato, modesta e potrebbe giovarsi in primo luogo di un miglior controllo pressorio. Si decide pertanto per l’aggiunta di clortalidone al dosaggio di 25 mg/die.

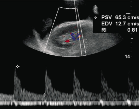
Figura 3. Ecodoppler renale con indici di resistenza intraparenchimali aumentati.
Nonostante, in generale, il diuretico non sia il farmaco antipertensivo di scelta nel paziente diabetico, in questo caso si è preferito privilegiare l’efficacia antipertensiva e il “fenotipo” renale della paziente (GFR lievemente ridotto) e quindi la possibilità di raggiungere il target terapeutico in tempi abbastanza rapidi. Indapamide sarebbe stata una scelta ugualmente valida, a nostro avviso, anche se clortalidone può vantare una maggiore “evidenza”, essendo stato impiegato su un vasto numero di pazienti nello studio ALLHAT [4], e mantiene la sua efficacia anche per valori di GFR compresi tra 40 e 60 ml/min [5].
Si opta per mantenere la metformina. Anche sulla base della recente letteratura [6], i valori di filtrato glomerulare della paziente (tra 60 e 45 ml/min) permettono, infatti, di continuare la somministrazione del farmaco, se ben tollerato. Viene invece sospesa la glibenclamide a favore di un inibitore di DPP4, il sitagliptin al dosaggio di 50 mg 1 volta al dì (posologia scelta sulla base del GFR stimato).
Per portare a target i valori di colesterolemia LDL viene inserita una terapia di associazione con ezetimibe/simvastatina al dosaggio di 10/40 mg.
Alla visita successiva (dopo circa 3 mesi) la paziente riferisce valori pressori a domicilio tra i 130-135/80-85 mmHg e valori glicemici automisurati di circa 130 mg/dl a digiuno, 160 mg/dl post-prandiali. La PA rilevata nel corso della visita è 128/80 mmHg, l’EO è sostanzialmente invariato.
La paziente porta in visione gli esami richiesti (Tabella III).
L’ecodoppler dei vasi renali evidenzia indici di resistenza intra-parenchimali marcatamente aumentati (RRI 0,81-0,84) (Figura 3); all’ecografia dei vasi epiaortici emergono diffusi ispessimenti con placche non emodinamicamente significative (<30%) alla biforcazione carotidea bilateralmente.
L’esame del fundus oculi mostra segni di background retinopathy.
Keypoint
Conclusioni
Sebbene in questa paziente si possa registrare un netto miglioramento relativo agli obiettivi terapeutici considerati, la maggioranza dei pazienti diabetici con danno renale è esposta a un elevato rischio residuo (renale e cardiovascolare) anche dopo l’ottimizzazione del trattamento. Non a caso, i progressi registrati negli ultimi 20 anni nella prevenzione della nefropatia sono molto più modesti rispetto a quelli delle altre complicanze micro- e macro-vascolari del diabete (Figura 4) [7].

Figura 4. Variazioni dell’incidenza delle complicanze del diabete negli Stati Uniti tra il 1990 e il 2010. Modificato da [7]

Figura 5. Possibili associazioni tra le diverse classi di farmaci antipertensivi. Linee verdi continue: associazioni da preferire; linea verde tratteggiata: associazioni utili (con alcuni limiti); linee nere tratteggiate: associazioni possibili ma con meno evidenze; linea rossa continua: associazione non raccomandata. Modificato da [3]
Il caso clinico presentato testimonia le criticità che il medico deve fronteggiare nella gestione del paziente con diabete. Il raggiungimento degli obiettivi terapeutici della pressione arteriosa, della colesterolemia LDL e del compenso glicemico rimane ad oggi lo strumento prioritario per la prevenzione del danno renale.
Bibliografia
1. Kidney Disease: Improving Global Outcomes (KDIGO) Work Group. KDIGO 2012 clinical practice guideline for the evaluation and management of chronic kidney disease. Kidney Int Suppl 2013; 3: 1-150; http://dx.doi.org/10.1038/kisup.2012.77
2. Viazzi F, Leoncini G, Derchi LE, et al. Ultrasound Doppler renal resistive index: a useful tool for the management of the hypertensive patient. J Hypertens 2014 Jan;32(1):149-53; http://dx.doi.org/10.1097/HJH.0b013e328365b29c
3. Mancia G, Fagard R, Narkiewicz K, et al. 2013 ESH/ESC Practice Guidelines for the Management of Arterial Hypertension. Blood Press 2014; 23: 3-16; http://dx.doi.org/10.3109/08037051.2014.868629
4. Davis BR, Cutler JA, Gordon DJ, et al. Rationale and design for the Antihypertensive and Lipid Lowering Treatment to Prevent Heart Attack Trial (ALLHAT). ALLHAT Research Group. Am J Hypertens 1996; 9(4 Pt 1): 342-60
5. Cirillo M, Marcarelli F, Mele AA, et al. Parallel-group 8-week study on chlorthalidone effects in hypertensives with low kidney function. Hypertension 2014; 63: 692-7; http://dx.doi.org/10.1161/HYPERTENSIONAHA.113.02793
6. Inzucchi SE, Lipska KJ, Mayo H, et al. Metformin in patients with type 2 diabetes and kidney disease: a systematic review. JAMA 2014; 312: 2668-75; http://dx.doi.org/10.1001/jama.2014.15298
7. Gregg EW, Li Y, Wang J, et al. Changes in diabetes-related complications in the United States, 1990-2010. N Engl J Med 2014; 370: 1514-23; http://dx.doi.org/10.1056/NEJMoa1310799
8. Associazione Medici Diabetologi. La personalizzazione della terapia nel diabete di tipo 2. http://www.aemmedi.it/algoritmi_it_2014 [ultimo accesso marzo 2016]
9. Leoncini G, Viazzi F, Pontremoli R. Chronic kidney disease and albuminuria in arterial hypertension. Curr Hypertens Rep 2010; 12: 335-41; http://dx.doi.org/10.1007/s11906-010-0141-3
Algoritmo di gestione per paziente con diabete mellito 2, malattia cronica renale e valori elevati di emoglobina glicata (7-9%). Modificata da [8]

Trattamento dell’ipertensione in pazienti ad alto rischio. Modificata da [9]
* Inclusi gli antialdosteronici