Un caso inusuale di porpora crioglobulinemica in paziente anziano
Mauro Turrin 1
1 U.O.C. Medicina Interna, Azienda ULSS 17, Regione del Veneto, Ospedali Riuniti Padova Sud “Madre Teresa di Calcutta”, Monselice (Padova)
Abstract
Cryoglobulinemia is associated with infections, in particular chronic hepatitis C, autoimmune diseases, and lymphoproliferative disorders. Its frequency seems to be higher than is commonly considered, even in elderly patients.
We describe the case of an elderly patient with diabetes, nephroangiosclerosis and purpura who presented marked and persistent increase in rheumatoid factor, hypocomplementemia and cryoglobulinemia with nephrotic disagreement unrelated to HCV. A thirteen-month-follow-up showed neither immunorheumatologic nor neoplastic disorders. In literature, associations with hepatic pseudocyst is not described and a lack of association with HCV is very rare. Therefore, the hypothesis of “essential” mixed cryoglobulinemia (EMC) associated with nephrotic syndrome was formulated. Renal disease associated with EMC (unrelated to HCV) is characterized by the high prevalence of primary Sjögren syndrome and overt B-cell non-Hodgkin’s lymphoma for which repetitive clinical evaluation is necessary.
Keywords: Cryoglobulinemia; Rheumatoid Factor; Complement; Purpura; Nephrotic syndrome; Mixed essential cryoglobulinemia; Elderly
An unusual case of cryoglobulinemic purpura in elderly patient
CMI 2015; 9(1): 13-20
http://dx.doi.org/10.7175/cmi.v9i1.1165
Caso clinico
Disclosure
L’Autore dichiara di non avere conflitti di interesse di natura finanziaria in merito ai temi trattati nel presente articolo
Perché descriviamo questo caso
Alcune malattie definite “rare” non risultano tali se vengono approfonditi i criteri diagnostici. Pertanto è fondamentale eseguire un puntuale iter diagnostico anche nei soggetti anziani con molteplici comorbilità
Introduzione
La crioglobulinemia mista è associata a infezioni, malattie autoimmuni e disordini linfoproliferativi, in particolare a epatite cronica C. La sua frequenza sembra essere maggiore di quanto comunemente ritenuto per una malattia “rara”, anche in soggetti di età avanzata.
Caso clinico
Un paziente di 86 anni veniva ricoverato per scompenso cardiaco in cardiopatia ischemico-ipertensiva e bronchite acuta asmatiforme. Nell’anamnesi risultavano: pregressi episodi di scompenso cardiaco, diabete mellito di tipo 2 complicato da neuropatia periferica, insufficienza renale cronica, anemia sideropenica, ipertrofia prostatica, rallentamento motorio. Nel 2012 fu ricoverato in Diabetologia per ipoglicemia prolungata. Era seguita terapia con: repaglinide, furosemide, prednisone, aspirina, olmesartan, alfuzosina, cicli di terapia marziale per os. Da un anno lamentava artralgie alle mani e ai piedi. Presentava discromie cutanee di tipo petecchiale alle gambe. 9 mesi prima vennero riscontrati: aumento del fattore reumatoide (1.359; vn fino a 14 KU/L), VES = 44 mm/h, PCR = 13,53 mg/dl, creatininemia = 1,63 mg/dl, proteine = 0,54 g/l all’esame delle urine. Nel sospetto di artrite reumatoide lo specialista reumatologo consigliava terapia con idrossiclorochina (di breve durata) e cortisone a basso dosaggio. Da due settimane lamentava tosse e dispnea: da una settimana aveva ripreso la terapia cortisonica precedentemente sospesa.
L’obiettività all’ingresso dimostrava: broncospasmo diffuso, edemi declivi, lieve stasi polmonare, cute delle gambe e dei piedi di color rosso “vinoso” (porpora cutanea accentuata dall’ortostatismo), chiazze purpuriche alla radice degli arti superiori e alle cosce (Figura 1).

Figura 1. Le gambe del paziente al momento della sua presentazione: cute di color rosso “vinoso” (porpora cutanea accentuata dall’ortostatismo)
L’Rx torace indicava: campi polmonari poco espansi, cardiomegalia, dilatazione e sfumatura del disegno vasale iloperiilare, velatura pleurica bibasilare, lieve ispessimento della pleura margino-costale al terzo medio inferiore del campo polmonare destro. L’ecocardiogramma segnalava: ventricolo sinistro lievemente ipertrofico e dilatato, ipoacinesia medioapicale, insufficienza tricuspidale lieve, pressione arteriosa polmonare (PAP) calcolata = 60 mmHg.
Gli esami di laboratorio dimostravano: PCR = 32 mg/l (vn < 5), alfa2globuline = 14,3%, gammaglobuline = 23%, non anomalie monoclonali (all’elettroforesi capillare), normale il dosaggio di IgG, IgA, IgM (Figura 2).

Figura 2. Elettroforesi capillare delle proteine sieriche
All’esame delle urine era possibile rilevare proteine = 2,2 g/l, cilindri ialini e granulosi, batteri = 40.614/μl, e l’urinocoltura era positiva per Proteus mirabilis (1.000.000 UFC/ml).
Gli enzimi epatici, pancreatici, lattato deidrogenasi (LDH) e creatina fosfochinasi (CPK) erano normali. Sono state inoltre rilevate iperuricemia, anemia normocitica (Hb = 8,7 g/dl e MCV = 94 fl) con deficit di folati e carenza di vitamina D. I test di Coombs indiretto e diretto erano negativi, l’aptoglobina risultava aumentata. Si confermava l’aumento del fattore reumatoide con normali anticorpi anti-citrullina, ANA e anti-ENA negativi, ridotta complementemia e β2microglobulina sierica aumentata.
Si provvedeva pertanto al dosaggio delle crioglobuline, che risultavano positive con criocrito = 7% (Figura 3).

Figura 3. Dosaggio delle crioglobuline: positive con criocrito = 7%

Figura 4. Ecografia delle parotidi: ipertrofia bilaterale della ghiandola parotide, non alterazioni ecostrutturali, non alterazioni a carico delle ghiandole sottomandibolari; tiroide di dimensioni nei limiti con ecostruttura finemente e diffusamente disomogenea, vascolarizzazione parenchimale nei limiti; in sede laterocervicale linfonodi di tipo reattivo fino a 7 mm nelle regioni sottomandibolari
L’immunofissazione sul criocrito non permetteva di tipizzare con precisione una possibile iniziale reazione monoclonale delle catene leggere delle IgM. Normali risultavano inoltre: HBsAg, anti-HCV, marcatori neoplastici (CEA, alfafetoproteina, CA 19-9, PSA, ferritina), p- e c-ANCA, anticorpi anticardiolipina, antiβ-glicoproteina, autoanticorpi anti-muscolatura liscia, anticorpi antitireoglobulina, anticorpi anti-microsomi epatici-renali e anti-membrana basale glomerulare, anticorpi anticitomegalovirus IgM (elevata avidità).
L’anemia veniva corretta con due emotrasfusioni.
Per il rilievo di D-dimero aumentato (da 1.406, vn < 200 μg/l) si eseguiva un’ecografia Doppler venosa degli arti inferiori senza riscontro di segni di trombosi venosa profonda.
Per la presenza di ipertrofia biparotidea abbiamo eseguito l’ecografia del collo (Figura 4), che ha confermato l’ingrossamento delle parotidi senza alterazioni ecostrutturali.
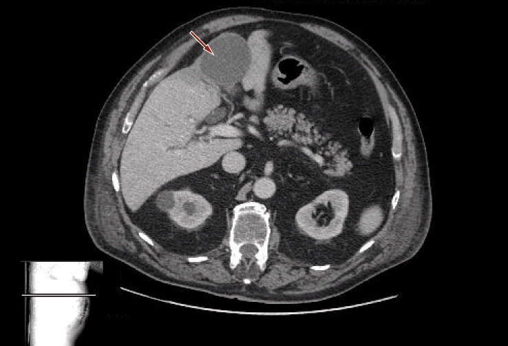
Esclusa la possibilità di una crioglobulinemia secondaria a HCV, a connetivopatie e a malattie autoimmuni (in particolare sindrome di Sjögren e lupus eritematoso sistemico), si procedeva, pertanto, alla ricerca di eventuali foci neoplastici, non rilevati dalla TC addome (Figura 5).
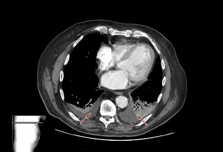
La TC torace mostrava versamento pleurico bilaterale (Figura 6).
Con la biopsia epatica si prelevava materiale brunastro di consistenza poltacea. L’esame istologico dimostrava materiale necrobiotico acellulato da pseudocisti; l’esame colturale e la ricerca di Entamoeba risultavano negativi.
Il paziente veniva trattato con terapia diuretica, cortisonica, broncodilatatrice e protezione antitrombotica con fondaparinux. L’infezione delle vie urinarie da Proteus mirabilis veniva eradicata, sulla base dell’antibiogramma, con cefepime.

Figura 5. TC addome: fegato nei limiti con multiple areole focali ipodense, avascolari, di natura cistica; formazione espansiva rotondeggiante, del diametro di 6 cm, a densitometria omogenea, fluida, delimitata da sottile pseudocapsula periferica tenuemente vascolarizzata e con presenza di puntiformi calcificazioni parietali in sede superiore; colecisti ipodistesa, completamente occupata da formazioni litiasiche con diametro massimo di 17 mm; milza e pancreas nei limiti; mielolipoma a carico del surrene destro; reni di ridotte dimensioni con spessore corticale marcatamente ridotto e con alcune formazioni cistiche corticali; all’ilo epatico alcuni linfonodi, di cui il maggiore con diametro di 2 cm; al retroperitoneo lombo-aortico e in sede lombo-iliaca alcuni linfonodi con diametro massimo di 12 mm; prostata molto ingrandita e disomogenea; in sede iliaco-inguinale sinistra alcuni linfonodi vascolarizzati del diametro massimo di 11 mm

Figura 6. TC torace: versamento pleurico bilaterale
Non si è proceduto con ulteriori indagini perché il paziente rifiutava biopsie linfonodali e l’aspirato midollare.
Il paziente veniva poi dimesso con terapia: prednisone 12,5 mg/die, colchicina 1 mg/die, allopurinolo 100 mg/die, aspirina 100 mg/die, acido folico 10 mg/die, dieta ipoallergenica [1].
Un controllo degli esami di laboratorio dopo un anno dimostrava: VES = 39 mm/h, fattore reumatoide = 329,5 KU/l, crioglobuline positive, criocrito = 6%, all’elettroforesi delle sieroproteine in gel di agarosio (Figura 7) presenza di una componente monoclonale in zona gamma pari a 2,87 g/l, all’immunofissazione iniziale reazione monoclonale di IgM montanti catene λ; creatinina = 2.10 mg/dl, beta2microglobulina sierica = 6,48 mg/l, uricemia e calcemia nella norma; proteinuria delle 24 ore = 2,51 g/die.

Figura 7. Elettroforesi su gel di agarosio delle proteine sieriche, controllo dopo tredici mesi. La componente monoclonale in zona gamma era pari a 2,87 g/l. All’immunofissazione si rilevava un’iniziale reazione monoclonale di IgM montanti catene leggere λ
È possibile effettuare un confronto tra i parametri di laboratorio rilevati nel paziente a gennaio 2014 e quelli riscontrati a febbraio 2015 mediante la Tabella I.
|
Parametro |
Gen 2014 |
Feb 2015 |
Valori normali |
|
Colesterolemia totale (mg/dl) |
122 |
< 200 |
|
|
Uricemia (mg/dl) |
11 |
3,7 |
3,5-7,2 |
|
Ferritina (μg/l) |
193 |
22-322 |
|
|
Vitamina D 25(OH)(nmol/l) |
17,2 |
Carenza: < 25 |
|
|
Acido folico (ng/ml) |
6,7 |
54 |
Carenza: < 7,0 |
|
Vitamina B12 (pmol/l) |
155 |
156-672 |
|
|
D-dimero (μg/l) |
1.406 |
0-200 |
|
|
VES (mm/h) |
39 |
2,0-37 |
|
|
Proteina C reattiva (mg/l) |
32 |
< 5 |
|
|
Aptoglobina (g/l) |
3,19 |
0,3-2,0 |
|
|
Creatinina (mg/dl) |
2,27 → 1,7 |
2,1 |
0,72-1,18 |
|
ALP (U/l) |
65 |
30-120 |
|
|
LDH (U/l ) |
331 |
< 480 |
|
|
γGT (U/l ) |
56 |
< 55 |
|
|
CPK (U/l) |
32 |
31 |
0-171 |
|
Anticorpi anti-cardiolipina IgG (GPL) |
2,84 |
< 15 |
|
|
Anticorpi anti-cardiolipina IgM (MPL) |
19,25* |
< 12,5 |
|
|
Anticorpi anti-cardiolipina IgG (GPL) |
1,6 |
< 20,0 |
|
|
Anticorpi antiβ2-glicoproteina IgM (SMU) |
2,7 |
< 20,0 |
|
|
Autoanticorpi anti-muscolatura liscia (titolo) |
< 1:20 |
Negativo: < 1:20 |
|
|
Autoanticorpi microsomi epatici-renali (titolo) |
< 1:20 |
Negativo: < 1:20 |
|
|
Autoanticorpi anti-membrana basale glomerulare (titolo) |
< 1:20 |
Negativo: < 1:20 |
|
|
p-ANCA (titolo) |
< 1:20 |
Negativo: < 1:20 |
|
|
c-ANCA (titolo) |
< 1:20 |
Negativo: < 1:20 |
|
|
Test di Coombs indiretto e diretto |
Negativi |
||
|
IgG (g/l) |
7,48 |
7,0-16,0 |
|
|
IgA (g/l) |
1,19 |
0,7-4,0 |
|
|
IgM (g/l) |
1,31 |
0,4-2,30 |
|
|
Complemento frazione C3c (g/l) |
0,77 |
0,9-1,8 |
|
|
Complemento frazione C4 (g/l) |
0,01 |
0,1-0,4 |
|
|
Crioglobuline (crioprecipitazione a 4°C) |
Positivo |
Positivo |
Negativo |
|
Criocrito |
7% |
6% |
|
|
β2microglobulina sierica (mg/l) |
6,11 |
6,48 |
< 3,0 |
|
Fattore reumatoide (KU/l) |
1.068 |
329,5 |
fino a 14 |
|
Anticorpi anti-citrullina (U/ml) |
2,1 |
0,0-20,0 |
|
|
ANA (titolo) |
< 1:40 |
< 1:40 |
|
|
ENA (screening) |
Negativo |
||
|
HBsAg |
Negativo |
||
|
Anti-HCV |
Negativo |
||
|
HCV-RNA |
Non rilevabile |
||
|
CEA (μg/l) |
2,5 |
0,0-4,0 |
|
|
αFP (KIU/l) |
3,6 |
0,0-6,0 |
|
|
CA 19-9 (KU/l) |
27,3 |
< 31 |
|
|
PSA (μg/l ) |
1,78 |
0,0-4,0 |
|
|
Proteinuria 24 ore (g/die) |
1,13 |
2,51 |
0,0-0,14 |
|
Urinocoltura (UFC/ml) |
Positiva per Proteus mirabilis (1.000.000) |
< 100.000 |
|
|
Proteinuria di Bence Jones |
Negativa |
Tabella I. Parametri di laboratorio gennaio 2014-febbraio 2015
*Lieve aumento aspecifico, non significativo
αFP = alfafetoproteina; ALP = fosfatasi alcalina; ANA = anticorpi anti-nucleo; c-ANCA = anticorpi anti-citoplasma dei neutrofili citoplasmatici; CEA = antigene carcino-embrionario; CPK = creatinafosfochinasi; ENA = antigeni nucleari estraibili; γGT = gamma glutamil-transpeptidasi; HBsAg = antigene di superficie dell’epatite B; LDH = lattato deidrogenasi; p-ANCA = anticorpi anti-citoplasma dei neutrofili perinucleari; PSA = antigene prostatico specifico; VES = velocità di eritrosedimentazione
Discussione
Abbiamo descritto il caso clinico di un paziente anziano, diabetico con neuropatia periferica e con nefroangiosclerosi, che ha presentato persistente e marcato aumento del fattore reumatoide, ipocomplementemia, screzio nefrosico, iniziale gammopatia monoclonale e crioglobulinemia senza positività per HCV.
Nel follow-up a tredici mesi non abbiamo riscontrato patologia autoimmune né neoplastica. In letteratura non vengono descritte associazioni con pseudocisti epatiche (Tabella II).
|
Frequenza elevata |
Frequenza media |
Frequenza bassa |
|
|
Infezioni |
|
|
|
|
Malattie autoimmuni |
|
|
|
|
Cancro |
|
|
|
|
Altre cause |
|
|
Tabella II. Principali cause associate alla crioglobulinemia sin dal 1990. Adattata dal lavoro pubblicato da Ramos-Casals sulla rivista Lupus [2]
*associato a esacerbazione di crioglobulinemia
Nell’ambito delle crioglobulinemie la prevalenza della forma mista (MC) HCV-negativa è risultata compresa tra il 4% e il 16% [3-9]. In questo ristretto ambito le forme definite “essenziali” sembrano incidere per circa un quarto dei casi [10,11].
Il nostro caso clinico presenta molte analogie con quanto descritto da autori olandesi nel 2007 e da autori giapponesi e francesi nel 2009: in particolare, un paziente di 81 anni con glomerulonefrite membranoproliferativa [12], sette [13] e dieci casi con altrettanta sindrome nefrosica [14], tutti senza evidenza di HCV.
Pur con il limite della mancata tipizzazzione del criocrito, abbiamo formulato l’ipotesi diagnostica di sindrome crioglobulinemica, con associata nefropatia nefrosica, da verosimile crioglobulinemia mista di tipo “essenziale” (EMC). La malattia renale associata alla MC non correlata a HCV è caratterizzata, come peraltro nell’epatite C, da elevato rischio di sviluppare sindrome di Sjögren primaria e linfoma non-Hodgkin (NHL) [9,13,14]. Livelli elevati di crioglobuline, la presenza di vasculite e di ipogammaglobulinemia sono risultati fattori indipendenti di progressione verso il NHL.
Risulta pertanto necessario in questi pazienti un prolungato monitoraggio clinico/laboratoristico per poter cogliere l’eventuale comparsa di tali patologie.
Punti chiave
Bibliografia
1. Pietrogrande M, De Vita S, Zignego AL et al. Recommendations for the management of mixed cryoglobulinemia syndrome in hepatitis C virus-infected patients. Autoimmun Rev 2011; 10: 444-54; http://dx.doi.org/10.1016/j.autrev.2011.01.008
2. Ramos-Casals M, Trejo O, García-Carrasco M, et al. Mixed cryoglobulinemia: new concepts. Lupus 2000; 9: 83-91; http://dx.doi.org/10.1191/096120300678828127
3. Shihabi ZK. Cryoglobulins: an important but neglected clinical test. Ann Clin Lab Sci 2006; 36: 395-408
4. Gorevic PD. Rheumatoid factor, complement, and mixed cryoglobulinemia. Clin Dev Immunol 2012; ID439018; http://dx.doi.org/10.1155/2012/439018
5. De Vita S, Soldano F, Isola M, et al. Preliminary classification criteria for the cryoglobulinaemic vasculitis. Ann Rheum Dis 2011; 70: 1183-90; http://dx.doi.org/10.1136/ard.2011.150755
6. Ramos-Casals M, Stone JH, Cid MC, et al. The cryoglobulinaemias. Lancet 2012; 379: 348-60; http://dx.doi.org/10.1016/S0140-6736(11)60242-0
7. Monti G, Saccardo F, Castelnovo L et al. Prevalence of mixed cryoglobulinaemia syndrome and circulating cryoglobulins in a population-based survey: the Origgio study. Autoimmun Rev 2014; 13; 609-14; http://dx.doi.org/10.1016/j.autrev.2013.11.005
8. Trejo O, Ramos-Casals M, Garcia-Carrasco A, et al. Hematologic malignancies in patients with cryoglobulinemia: association with autoimmune and chronic viral diseases. Semin Arthritis Rheum 2003; 33: 19-28; http://dx.doi.org/10.1053/sarh.2003.50020
9. Saadoun D, Sellam J, Ghillani-Dalbin P, et al. Increased risk of lymphoma and death among patients with non-hepatitis C virus-related mixed cryoglobulinemia. Arch Intern Med 2006; 166: 2101-8; http://dx.doi.org/10.1001/archinte.166.19.2101
10. Mascia MT, Ferrari D, Campioli D, et al. Non HCV-related mixed cryoglobulinemia. Dig Liver Dis 2007; 39: S61-S64; http://dx.doi.org/10.1016/S1590-8658(07)80013-2
11. Ferri C. Mixed cryoglobulinemia. Orphanet J Rare Dis 2008; 3: 25; http://dx.doi.org/10.1186/1750-1172-3-25
12. Okura T, Jotoku M, Miyoshi K, et al. Case of membranoproliferative glomerulonephritis due to essential cryoglobulinaemia without hepatitis C virus infection. Geriatr Geronto Int 2009; 9: 92; http://dx.doi.org/10.1111/j.1447-0594.2008.00493.x
13. Cohen Tervaert JW, Van Paassen P, Damoiseaux J. Type II cryoglobulinemia is not associated with hepatitis C infection: the Dutch experience. Ann N Y Acad Sci 2007; 1107: 251-8; http://dx.doi.org/10.1196/annals.1381.027
14. Matignon M, Cacoub P, Colombat M, et al. Clinical and morphologic spectrum of renal involvement in patients with mixed cryoglobulinemia without evidence of hepatitis C virus infection. Medicine 2009; 88: 341-8
15. Allegato 1 al D.M. N° 279/2001 (elenco malattie rare esentate dalla partecipazione al costo) Gazzetta Ufficiale, supplemento ordinario, serie generale n.160 del 12/07/2001