Colite pseudomembranosa e megacolon tossico da C. difficile in paziente ricoverato per trauma domestico
Piergiorgio Chiriacò 1
1 Direttore U.O. Malattie infettive, Ospedale A. Perrino, Brindisi
Abstract
Clostridium difficile infection (CDI) is the main cause of hospital-acquired diarrhea. It can result in symptoms ranging from moderate diarrhea to pseudomembranous colitis. Among the risk factors, there is antibiotic therapy, responsible for intestinal flora disruption.
A 72-year-old man presented to the Emergency Room for a home accident, a fall, that resulted in a cranio-facial trauma and tibio-tarsal fracture. He was administered cefazolin. Then he underwent surgery and the antibiotic therapy was switched to teicoplanin + levofloxacin; three days after, he started having diarrhea and mild fever. Rifaximin was added. A further exacerbation prompted the replacement of antibiotic therapy with tazobactam-piperacillin and metronidazole. Owing to the detection in fecal examination of CDI signs, tazobactam-piperacillin were replaced with vancomicin. Due to the persistence of symptoms, the worsening of physical conditions and the onset of pseudomembranous colitis and toxic megacolon, fidaxomicin therapy was started, with symptom resolution in few days. A patient’s follow-up at five months post-treatment showed no CDI recurrence.
Keywords: Pseudomembranous colitis; Toxic megacolon; Clostridium difficile; Trauma; Fidaxomicin
Pseudomembranous colitis and toxic megacolon due to C. difficile in an inpatient hospitalized for home accident
CMI 2015; 9(Suppl 1): 17-23
http://dx.doi.org/10.7175/cmi.v9i1s.1158
Caso clinico
Disclosure
Il presente supplemento è stato realizzato con il supporto di Astellas Pharma S.p.A.
Perché descriviamo questo caso
Dato il notevole impatto sulla salute dell’infezione da Clostridium difficile e la sua crescente incidenza, è importante conoscere le possibilità terapeutiche per la cura della patologia. Tra i pazienti maggiormente a rischio vi sono coloro che, come nel caso descritto, sono sottoposti a lunghi periodi di degenza e soggetti a plurime terapie antibiotiche
Introduzione
L’infezione da Clostridium difficile (CDI) rappresenta la più frequente causa di diarrea nosocomiale. La manifestazione clinica della CDI varia dalla forma asintomatica alla diarrea moderata fino alla colite pseudomembranosa [1]. I potenziali fattori di rischio di CDI includono fattori legati all’ospite [2], l’impiego di inibitori di pompa protonica gastrica e l’uso di antibiotici [3-7]. La terapia antibiotica altera le difese dell’ospite, garantite dalla flora batterica colica, aumentando il rischio di CDI [6]. Gli antibiotici maggiormente coinvolti sono clindamicina, penicillina, le cefalosporine e i chinolonici [4,6,7]. Tra i farmaci raccomandati in prima linea per il trattamento della CDI vi sono metronidazolo e vancomicina al dosaggio, rispettivamente, di 500 mg per os 3 volte/die e di 125 mg per os 4/die per 10-14 giorni [8]. Si è osservato, però, che alcuni pazienti non rispondono a queste terapie e altri ancora manifestano ricorrenza di infezione nonostante un’iniziale risposta clinica. Il tasso di ricorrenza dimostrato va dal 7 al 17% per vancomicina e dal 5 al 21% per metronidazolo [9]. Nel seguente caso clinico riportiamo il successo del trattamento con fidaxomicina in un paziente con CDI resistente a metronidazolo e vancomicina.
Caso clinico
Descriviamo il caso clinico di un uomo di 72 anni accolto presso il Pronto Soccorso della nostra struttura ospedaliera (Ospedale A. Perrino, Brindisi) il 17 ottobre 2013 alle ore 12:21 con codice giallo. Il paziente riferisce di essere caduto da uno scaleo nel giardino della propria abitazione. A seguito di tale incidente domestico, presenta: trauma cranio-facciale con frattura pluri-frammentaria delle ossa nasali, del setto e della parete superiore dell’orbita destra con modesto emoseno, frattura esposta tibio-tarsica e ferita lacero-contusa dell’arcata sopracciliare destra e piramide nasale. Dopo gli approfondimenti radiologici e le consulenze chirurgo-plastica e otorinolaringoiatrica, il paziente viene ricoverato presso l’U.O.C. di Ortopedia e Traumatologia, dove vengono impostate una terapia per la profilassi della trombosi venosa profonda (TVP) con eparine a basso peso molecolare, una terapia analgesica e una terapia antibiotica con cefazolina 2 g × 2 ev.
Nel reparto di Ortopedia, seguiti i comuni accertamenti preoperatori e ottenuto il nulla osta anestesiologico (ASA III), il 19 ottobre 2013 il paziente viene sottoposto a intervento chirurgico di riduzione della lussazione esposta della caviglia e sintesi dei malleoli con viti. Durante tale procedura si riscontrano un’importante sofferenza cutanea post-traumatica della faccia laterale della caviglia destra, perdita di sostanza del tendine tibiale posteriore, lesione dell’arteria tibiale, che viene suturata, e perdita di sostanza ossea del malleolo tibiale. Durante la seduta si applica un fissatore esterno in trazione e si esegue un ecocolordoppler di controllo dell’arteria tibiale con riscontro di buona perfusione. Alla luce di questa situazione clinica si ritiene opportuno sostituire la terapia antibiotica precedentemente impostata (cefazolina 2 g x 2 ev), con teicoplanina 400 mg/die ev + levofloxacina 500 mg/die per os.
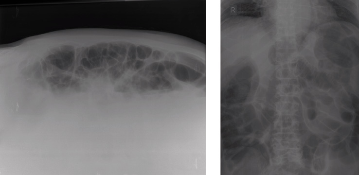
Nella terza giornata postoperatoria si rileva la comparsa di alvo diarroico accompagnato da febbricola. All’esame obiettivo si riscontra un addome globoso, trattabile ma dolente alla palpazione profonda con notevole meteorismo diffuso. Viene richiesta ed eseguita una consulenza geriatrica, a seguito della quale si effettuano un esame parassitologico e colturale delle feci, un Rx diretto addome (Figura 1) e un’ecografia addominale. Inoltre, viene consigliato di aggiungere alla terapia antibiotica rifaximina 2 compresse 2/die, oltre alla somministrazione di loperamide 1 compressa 3/die e all’assegnazione di una dieta povera di scorie.

Figura 1. Rx diretto addome in decubito supino che evidenzia una marcata iperdistensione delle anse tenuali e coliche con livelli idroaerei nel contesto. È presente una coprostasi colica
Successivamente, per l’esacerbazione della sintomatologia con forti algie addominali, si richiede, sempre in Ortopedia, una visita chirurgica in regime di urgenza. Il collega chirurgo, all’esame obiettivo, rileva un addome globoso, meteorico, non dolente alla palpazione, alvo canalizzato a feci diarroiche e a gas con ampolla vuota all’esplorazione rettale. Consiglia di continuare con la terapia in atto e di eseguire una rivalutazione internistica. Inoltre, segnala un’ipoalbuminemia (2,30 g/dl) e un’iponatriemia (130 mmol/l) da correggere.
Dall’ecografia addome si rilevano: colecisti completamente ripiena di fango biliare, minimo versamento liquido peri-epatico e peri-splenico e piccola falda liquida, in addome, inferiore di 40 × 60 mm.
Alla luce del quadro ecografico, viene effettuata una valutazione chirurgica che, nel sospetto di un’enterocolite batterica, porta al suggerimento di una coprocoltura e di una consulenza infettivologica. Si escludono, in questa fase, pertinenze chirurgiche.
In settima giornata dalla comparsa della sintomatologia addominale si espleta la consulenza infettivologica. L’addome è globoso, trattabile ipertimpanico con un quadro compatibile con ileo paralitico. Si rileva la presenza di leucocitosi neutrofila (leucociti = 17.300/mm3; neutrofili = 87%). In attesa dell’esito dell’esame chimico, fisico e colturale delle feci per germi patogeni e Clostridium difficile si modifica la terapia antibiotica precedentemente impostata (teicoplanina e levofloxacina) con tazobactam-piperacillina 4,5 g × 3/die ev + metronidazolo 500 mg × 3/die ev.
Vengono richiesti, inoltre, Rx torace e Rx diretto dell’addome (Figura 2) che, confrontati con i precedenti, dimostrano un discreto incremento della marcata iperdistensione delle anse tenuali e coliche. Inoltre, l’esame fisico-chimico (presenza di muco e sangue), parassitologico e colturale delle feci per E. coli, Shigella, Salmonella, Clostridium difficile e ricerca di Rotavirus e Adenovirus risultano negativi.

Figura 2. Rx addome eseguito in proiezione frontale in clinostatismo e in proiezione laterolaterale con tubo a bandiera. Si osserva un discreto incremento della marcata iperdistensione delle anse tenuali e coliche. Nel radiogramma eseguito in proiezione laterolaterale con tubo a bandiera si evidenziano alcuni livelli idroaerei. Non falci di aria libera endoperitoneali
Il paziente viene, quindi, trasferito presso la nostra U.O.C. di Malattie Infettive. All’esame obiettivo il paziente si presenta vigile, collaborante, eupnoico, con cute calda non sudata e lingua asciutta e impaniata. Non sono presenti segni di sofferenza cardio-respiratoria; l’addome è disteso, timpanico, trattabile alla palpazione superficiale e profonda e l’alvo è diarroico. La pressione arteriosa è di 130/70 mmHg, la temperatura corporea di 38,9° con leucocitosi neutrofila (leucociti = 23.360/mm3; neutrofili = 91,40%) e incremento della creatinina (1,8 mg/dl).
Si provvede, pertanto, a incrementare la reidratazione endovenosa, a ripetere gli esami emato-chimici e quelli colturali con ricerca delle tossine A e B del Clostridium difficile nelle feci. Nelle ore successive si ha, però, un peggioramento delle condizioni generali e, in attesa dell’Rx addome di controllo (Figura 3) e di una rivalutazione chirurgica, si apprende telefonicamente dal Laboratorio di Microbiologia la positività per antigene e tossine A e B del Clostridium difficile. Pertanto viene prontamente sospesa la terapia con tazobactam-piperacillina e prescritta vancomicina per os 500 mg per 4/die lasciando invariata la posologia di metronidazolo.

Figura 3. Rx addome di controllo che, confrontato con la precedente indagine, presenta incremento della distensione meteorica delle anse del tenue, con presenza di multipli livelli idroaerei nel radiogramma eseguito in proiezione tangenziale. Non aria libera
Dopo 24 ore dal trasferimento, le condizioni cliniche del paziente peggiorano (pressione arteriosa = 110/70 mmHg; i risultati dell’emogasanalisi sono riportati nella Tabella I) tanto da dover ricorrere all’ossigenoterapia e, data la presenza di fratture nasali, alla fibroscopia flessibile per il posizionamento di un sondino naso-gastrico; l’alimentazione viene sospesa.
Inoltre viene eseguita una colonscopia (Figura 4) in regime di urgenza, con riscontro di un quadro endoscopico da colite pseudomembranosa.
Dopo 3 giorni dall’inizio della somministrazione di vancomicina, le condizioni del paziente non tendono a migliorare e il quadro si complica ulteriormente con un’infezione delle vie urinarie da Pseudomonas aeruginosa (100.000 UFC/ml) e da un modesto deficit respiratorio. Si decide di non trattare l’infezione delle vie urinarie per non aggravare ulteriormente la situazione intestinale.
|
Parametro |
Valore riscontrato |
Valori normali |
|
pH |
7,49 |
7,38-7,42 |
|
pCO2 (mmHg) |
28,9 |
35-45 |
|
pO2 (mmHg) |
57 |
80-100 |
|
HCO3- (mEq/l) |
23,7 |
21-30 |
|
Eccesso di basi (mmol/l) |
1,6 |
Tra -2 e +2 |
Tabella I. Risultati dell’emogasanalisi

Figura 4. Colonscopia condotta d’urgenza fino al colon discendente in paziente non preparato. Il viscere esplorato si presenta dilatato e atonico, ricoperto in tutti i segmenti esplorati da pseudomembrane biancastre. Si esegue l’aspirazione di una notevole quantità di aria e feci con detensione addominale e miglioramento della sintomatologia. Impossibile proseguire oltre il colon discendente per la presenza di feci semisolide che impediscono la progressione dello strumento. Quadro endoscopico come da colite pseudomembranosa
Viene, pertanto, sottoposto a Rx del torace e Rx addome (Figura 5), che conferma la marcata distensione meteorica delle anse enterocoliche, successivamente confermata dalla TC addome.

Figura 5. Rx torace tecnicamente limitato in urgenza. Ombra cardiaca affondata negli emidiaframmi. Non evidente falce di aria libera subfrenica. Marcata distensione meteorica delle anse enterocoliche
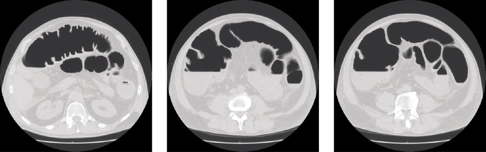
Dalla TC addome (Figura 6), eseguita successivamente, si riscontrano una sovradistensione enterocolica con multipli livelli idro-aerei, una sottile falda di versamento in corrispondenza della doccia parieto-colica di destra e di sinistra e anche nello scavo pelvico. Accessoriamente, si osserva una falda di versamento pleurico bilaterale con consensuale area disventilatoria bilaterale.

Figura 6. TC addome eseguita senza mdc ev, per alterata funzionalità renale. Non aria libera. Sovradistensione entero-colica con multipli livelli idroaerei. Sottile falda di versamento in corrispondenza della doccia parietocolica di destra e di sinistra e nello scavo pelvico. Ispessita la fascia lateroconale bilaterale. Imbibita la radice del mesentere. Per quanto dato valutare non alterazioni tomodensitometriche del parenchima epatico, pancreatico, splenico e renale. Accessoriamente si segnala falda di versamento pleurico bilaterale con consensuale area disventilatoria bilaterale
Preso atto della scarsa o nulla risposta terapeutica a vancomicina per os e a metronidazolo ev si reimposta una terapia con fidaxomicina compresse da 200 mg per 2/die con continuo monitoraggio dei parametri emato-chimici e vitali unitamente alla correzione elettrolitica. Dopo 24 ore dalla nuova terapia si rimuove il sondino naso-gastrico e si dà inizio alla rialimentazione con yogurt e omogeneizzati.
Dopo 4 giorni dall’inizio della somministrazione di fidaxomicina, il paziente migliora, è apiretico, normoteso e le feci tendono alla formazione.
Dopo una settimana l’addome è trattabile, non dolente né dolorabile alla palpazione e la ricerca nelle feci della tossina A e B del Clostridium difficile risulta negativa.
Il paziente inizia, dopo consulenza fisiatrica e ortopedica, un piano riabilitativo di fisioterapia.
Il paziente viene trattenuto, ancora, in Malattie Infettive per problematiche riabilitative e ortopediche e viene dimesso l’11 dicembre 2013 con la seguente diagnosi: colite pseudomembranosa e megacolon tossico da Clostridium difficile in paziente con frattura esposta di tibia e perone destro con lussazione posteriore tibio-perone-astragalica; trauma cranio-facciale non commotivo con frattura pluri-frammentaria delle ossa nasali e del setto nasale; frattura della parete superiore dell’orbita destra con modesto emoseno frontale destro; ferite lacero-contuse del volto e del cuoio capelluto; infezione delle vie urinarie da Pseudomonas aeruginosa Multi-Drug Resistant.
Il paziente viene seguito in follow-up presso il nostro ambulatorio, dapprima settimanalmente, poi con cadenza quindicinale e infine mensile sino al mese di aprile del 2014. Durante il follow-up, basato sull’esame clinico del paziente e sull’esecuzione di coprocolture per la ricerca di Clostridium difficile nonché della ricerca delle tossine A e B specifiche, non abbiamo evidenziato alcuna positività o ricaduta. Inoltre al paziente è stato richiesto di mettersi in contatto con l’ambulatorio in caso di manifestazione di alvo dispeptico o diarroico.
La successione di antibiotici somministrati per la CDI e la loro efficacia sono riportate nella Tabella II.
|
Farmaco usato |
Tempo in terapia |
Risoluzione diarrea |
|
Metronidazolo |
4 giorni |
No |
|
Metronidazolo + vancomicina |
9 giorni |
No |
|
Fidaxomicina |
10 giorni |
Sì, dopo 6 giorni |
Tabella II. Riassunto schematico delle risposte cliniche del paziente alle terapie somministrate contro il Clostridium difficile
Discussione e conclusioni
L’infezione da Clostridium difficile pone una serie di problematiche per l’incidenza crescente nei reparti di Terapia Intensiva e di degenza, ma anche nelle residenze sanitarie assistenziali e nelle case di riposo, per la difficoltà del trattamento e, non ultima, per la frequenza delle recidive.
Il caso in oggetto dimostra come un’infezione contratta in ambito ospedaliero possa risultare estremamente grave, arrivando a mettere a repentaglio la vita stessa del paziente. Un ruolo determinante è stato svolto, in questo caso, da scelte poco appropriate in tema di antibioticoterapia da parte degli specialisti che si sono susseguiti al capezzale del paziente, quali ad esempio la sostituzione di una cefalosporina (cefazolina 2 g per due/die) dopo 48 ore senza un valido razionale scientifico da una terapia con teicoplanina 400 mg/die ev associata a levofloxacina 500 mg per due/die. Nonostante la comparsa di alvo dispeptico e, successivamente, diarroico con un peggioramento ingravescente delle condizioni cliniche generali, non è stata subito ipotizzata la presenza di un’infezione da Clostridium difficile quale complicanza terapeutica. Dopo diciannove giorni è stato cominciato un nuovo trattamento, questa volta con tazobactam/piperacillina 4,5 g per tre/die ev associato a metronidazolo 500 mg per tre/die ev. Ma solo quando il Laboratorio di Microbiologia ha segnalato la positività delle tossine A e B del Clostridium, nonostante un esame coprocolturale in tal senso di qualche giorno prima avesse dato esito negativo, verosimilmente da correlare a una cattiva conservazione del campione o a un ritardo della consegna al Laboratorio dello stesso, si sostituisce tazobactam/piperacillina con vancomicina 500 mg per 4/die per os, mantenendo metronidazolo. Questa terapia è specifica per l’infezione da Clostridium difficile ma, nel nostro caso, si è rivelata inefficace, tanto da dover impiegare fidaxomicina 200 mg per due/die per dieci giorni. L’uso e l’abuso di antibiotici, soprattutto quelli a largo spettro utilizzati, hanno alterato profondamente la flora batterica intestinale, generando le condizioni per l’instaurarsi dell’infezione, che successivamente ha determinato l’insorgenza il megacolon tossico.
A nostro avviso, l’impiego di fidaxomicina può essere risolutivo, come dimostrato dal caso qui descritto.
Fidaxomicina appartiene alla classe degli antibatterici macrociclici e inibisce la sintesi dell’RNA da parte della RNA-polimerasi batterica. Si tratta di un farmaco a esclusivo uso ospedaliero o in strutture assimilabili. La posologia raccomandata è quella somministrata al nostro paziente, una compressa da 200 mg per due volte al dì per dieci giorni. Un netto miglioramento sia delle condizioni generali sia dell’alvo è stato ottenuto già al quarto giorno di terapia, mentre la risoluzione è avvenuta al sesto-settimo giorno con la terapia ancora in atto. Inoltre, studi controllati presenti in letteratura hanno dimostrato pari efficacia rispetto a vancomicina [10]. Fidaxomicina si distingue soprattutto per l’assenza o la netta riduzione delle recidive [11], a loro volta causa di ulteriore diffusione e contaminazione ambientale, che nel nostro paziente non si sono verificate.
Punti chiave
Bibliografia
1. Elliott B, Chang BJ, Golledge CL, et al. Clostridium difficile-associated diarrhoea. Intern Med J 2007; 37: 561-8; http://dx.doi.org/10.1111/j.1445-5994.2007.01403.x
2. McFarland LV. Update on the changing epidemiology of Clostridium difficile-associated disease. Nat Clin Pract Gastroenterol Hepatol 2008; 5: 40-8; http://dx.doi.org/10.1038/ncpgasthep1029
3. Aldeyab MA, Harbarth S, Vernaz N, et al. Quasi experimental study of the effects of antibiotic use, gastric acid-suppressive agents, and infection control practices on the incidence of Clostridium difficile-associated diarrhea in hospitalized patients. Antimicrob Agents Chemother 2009; 53: 2082-8; http://dx.doi.org/10.1128/AAC.01214-08
4. Thomas C, Stevenson M, Riley TV. Antibiotics and hospital-acquired Clostridium difficile-associated diarrhoea: a systematic review. J Antimicrob Chemother 2003; 51: 1339-50; http://dx.doi.org/10.1093/jac/dkg254
5. Vernaz N, Hill K, Leggeat S, et al. Temporal effects of antibiotic use and Clostridium difficile infections. J Antimicrob Chemother 2009; 63: 1272-5; http://dx.doi.org/10.1093/jac/dkp128
6. Owens RC Jr, Donskey CJ, Gaynes RP, et al. Anti-microbial-associated risk factors for Clostridium difficile infection. Clin Infect Dis 2008; 46 (Suppl. 1): S19-S31; http://dx.doi.org/10.1086/521859
7. Pépin J, Saheb N, Coulombe MA, et al. Emergence of fluoroquinolones as the pre-dominant risk factor for Clostridium difficile-associated diarrhea: a cohort study during an epidemic in Quebec. Clin Infect Dis 2005; 41: 1254-60; http://dx.doi.org/10.1086/496986
8. Debast SB, Bauer MP, Kuijper EJ. European Society of Clinical Microbiology and Infectious Diseases: update of the treatment guidance document for Clostridium difficile infection. European Society of Clinical Microbiology and Infectious Diseases. Clin Microbiol Infect 2014; 20 (Suppl 2): 1-26; http://dx.doi.org/10.1111/1469-0691.12418; http://dx.doi.org/10.1111/1469-0691.12418
9. Drekonja DM, Butler M, MacDonald R, et al. Comparative effectiveness of Clostridium difficile treatments: a systematic review. Ann Intern Med 2011; 155: 839-47; http://dx.doi.org/10.7326/0003-4819-155-12-201112200-00007
10. Cornely OA, Crook DW, Esposito R, et al; OPT-80-004 Clinical Study Group. Fidaxomicin versus vancomycin for infection with Clostridium difficile in Europe, Canada, and the USA: a double-blind, non-inferiority, randomised controlled trial. Lancet Infect Dis 2012; 1-9; http://dx.doi.org/10.1016/S1473-3099(11)70374-7
11. Wilcox MH. Progress with a difficult infection. Lancet Infect Dis 2012; 12: 256-7; http://dx.doi.org/10.1016/S1473-3099(12)70013-0